腺腫発見率 50%

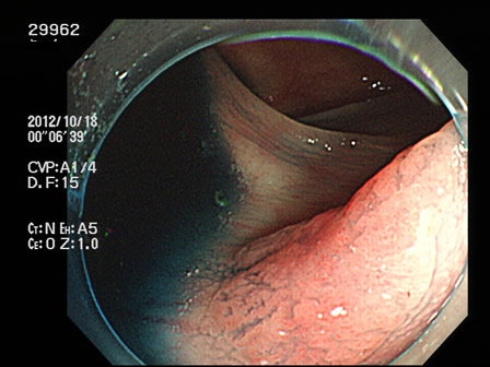
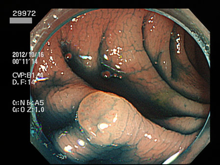
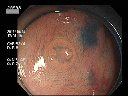
当院のカルテ番号29900〜29999の100名の方のうち、以下の50名のカルテ番号の方に腺腫(Adenoma,Group3〜4)が見つかりました

29901 29904 29905 29906 29907 29908 29909 29913 29915 29917 29918 29921 29925 29926 29927 29928 29930 29934 29936 29938 29939 29940 29941 29942 29943 29944 29945 29947 29948 29949 29955 29959 29961 29962 29965 29968 29972 29975 29979 29980 29981 29983 29985 29986 29987 29989 29993 29996 29998 29999・・・・・・・の50名



   
   
上記100名より抽出した平坦・陥凹型腺腫(=癌化の危険が高いが見落としやすい病変)の内視鏡写真
大腸癌検診最新情報

大腸癌検診最新情報