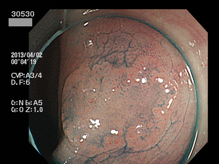
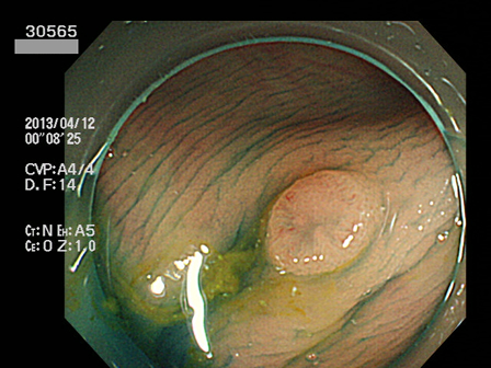
腺腫発見率 52%
当院のカルテ番号30500〜30599の100名の方のうち、以下の52名のカルテ番号の方に腺腫(Adenoma,Group3〜4)が見つかりました

30500 30502 30504 30506 30510 30512 30513 30519 30520 30521 30523 30524 30526 30529 30530 30532 30533 30534 30535 30540 30543 30545 30546 30548 30551 30552 30554 30555 30558 30560 30561 30562 30564 30565 30568 30571 30572 30573 30574 30575 30576 30583 30584 30585 30586 30587 30588 30591 30592 30593 30596 30597・・・・・・の52名

   
   
上記100名より抽出した平坦・陥凹型腺腫(=癌化の危険が高いが見落としやすい病変)の内視鏡写真
 前の100名  次の100名

大腸癌検診最新情報

大腸癌検診最新情報