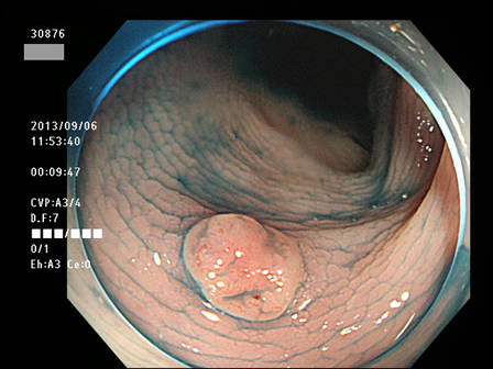
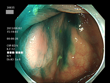
腺腫発見率 52% (カルテ番号30800〜30899の100名の方の検査結果で集計)
以下のカルテ番号の方に腺腫(Adenoma,Group3〜5)が見つかりました

30801 30804 30805 30814 30819 30822 30823 30825 30827 30828 30829 30830 30833 30834 30835 30837 30838 30839 30840 30841 30843 30846 30848 30850 30853 30854 30855 30857 30858 30860 30862 30863 30867 30868 30870 30872 30873 30874 30875 30876 30882 30884 30886 30887 30891 30892 30893 30894 30895 30897 30898・・・・・・の52名

   
   
上記100名より抽出した平坦・陥凹型腺腫(=癌化の危険が高いが見落としやすい病変)の内視鏡写真

大腸癌検診最新情報

大腸癌検診最新情報