腺腫発見率 59 % (最新のカルテ番号 32000〜32099 の100名の新患の方で集計)
以下のカルテ番号の方に腺腫(Adenoma,Group3〜5)が見つかりました
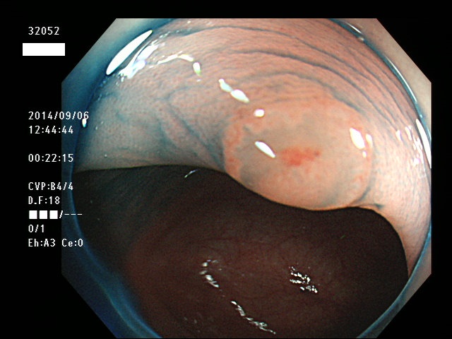
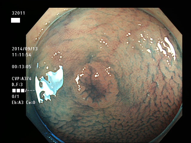
32000 32001 32002 32003 32004 32007 32008 32009 32011 32014 32018 32019 32021 32024 32026 32027 32028 32029 32030 32031 32035 32039 32040 32041 32042 32045 32046 32049 32050 32052 32055 32058 32059 32060 32061 32062 32063 32064 32065 32066 32067 32069 32071 32072 32074 32075 32076 32079 32080 32081 32083 32084 32085 32087 32092 32093 32096 32097 32098
・・・・の59名

上記100名より抽出した平坦・陥凹型腺腫(=癌化の危険が高いが見落としやすい病変)の内視鏡写真
| 集計法 腺腫発見率の公表は非常に重いものです。次のように集計に「水増し」が不可能な公明正大な方法で集計しています。当院での新患の方(=当院で大腸内視鏡が始めての方)だけに限定するために当院の最新のカルテ番号の方、100人を母集団にします。これは当院で2ヶ月間に行われる検査の約6分の1です。当院での大腸内視鏡が2度目以降の再診の方は、様々なバイアス(つまり過去に腺腫を切除した方が多い)がかかりますから集計から除外します。そして病理検査で腺腫が確定した方のみを集計します(通常、腺腫発見率はこのような方法で集計されます。参考:大腸検査が再検査の方のデータはこちらにあります)。患者さん以外に病理検査センターや健康保険組合も自由に、このページを閲覧できますからカルテ番号を公開することで「水増し」があれば直ちに「誇大広告」が明白になります |