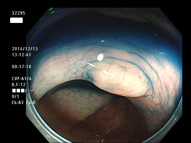
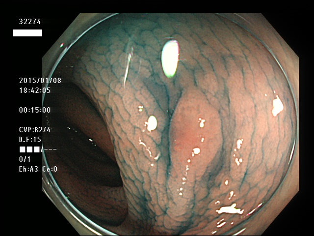
腺腫発見率 61 % (最新のカルテ番号 32200〜32299 の100名の新患の方で集計)
以下のカルテ番号の方に腺腫(Adenoma,Group3〜5)が見つかりました

32200 32204 32205 32206 32207 32209 32211 32212 32213 32215 32216 32217 32219 32220 32221 32222 32225 32226 32228 32229 32230 32231 32233 32235 32238 32240 32241 32242 32247 32248 32249 32251 32252 32253 32254 32255 32256 32258 32261 32265 32266 32269 32271 32272 32274 32276 32277 32278 32279 32280 32282 32283 32284 32285 32287 32291 32292 32296 32297 32298
・・・・の61名

 
 
カルチノイド
上記100名より抽出した平坦・陥凹型腺腫(=癌化の危険が高いが見落としやすい病変)の内視鏡写真

大腸癌検診最新情報

大腸癌検診最新情報