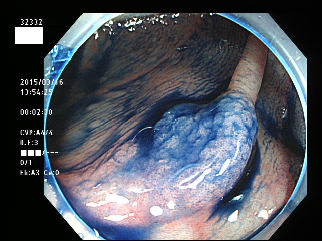
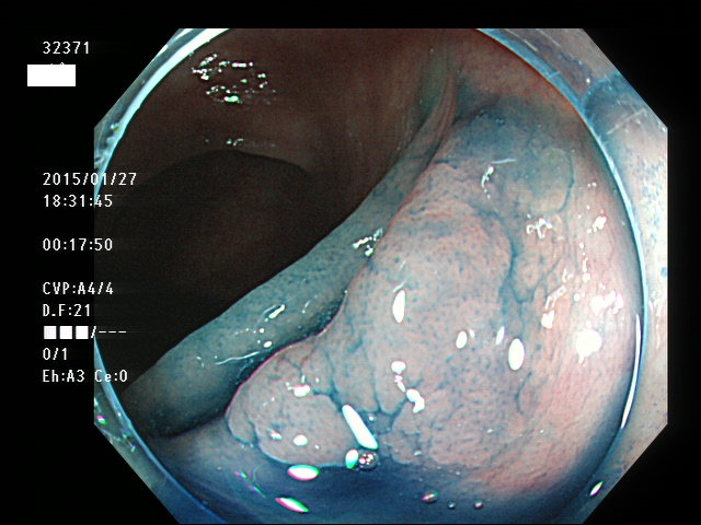
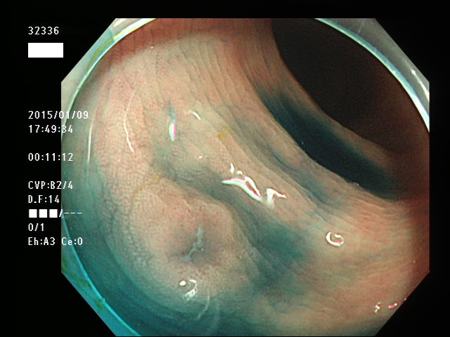
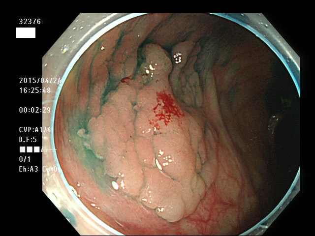
腺腫発見率 68% (カルテ番号32300〜32399の100名の方の検査結果で集計)
以下のカルテ番号の方に腺腫(Adenoma,Group3〜5)が見つかりました
32300 32301(SSA/Pのみ) 32302(SSA/Pのみ) 32304 32306 32308 32309 32310 32311 32312 32313 32314 32316 32317 32318 32321 32322 32325 32327 32328 32332(SSA/Pのみ) 32334 32335 32336 32338 32339 32341 32342 32343 32345 32348 32349 32350
32354 32357 32359 32362 32363 32364 32365 32366(SSA/Pのみ) 32368 32369 32370 32371 32372 32373 32374 32375 32376 32378 32379 32380(SSA/Pのみ) 32381 32382 32383 32384 32385 32386 32388 32389(SSA/Pのみ) 32390 32391(SSA/Pのみ) 32392 32395 32396 32397 32398
・・・・・・の68名

上記100名より抽出した平坦・陥凹型腺腫(=癌化の危険が高いが見落としやすい病変)の内視鏡写真
大腸癌検診最新情報
大腸癌検診最新情報