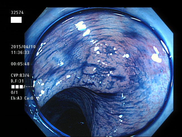
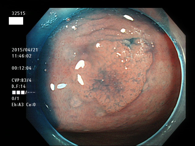
腺腫発見率 63% (カルテ番号32500〜32599の100名の方の検査結果で集計)
以下のカルテ番号の方に腺腫(Adenoma,Group3〜5)が見つかりました
32500 32502 32506 32508 32509 32510 32512 32515 32517 32520 32521 32522
32523 32524 32526 32527 32528 32531 32532 32533 32534 32535 32536 32537
32538 32539 32540 32541 32542 32543 32544 32545 32548 32549 32550 32551
32550 32553 32555 32556 32558 32559 32560 32562 32563 32564 32568 32569
32573 32574 32575 32576 32577 32582 32583 32584 32585 32588 32593 32594
32595 32597 32599・・・・・・の63名

上記100名より抽出した平坦・陥凹型腺腫(=癌化の危険が高いが見落としやすい病変)の内視鏡写真
大腸癌検診最新情報
大腸癌検診最新情報