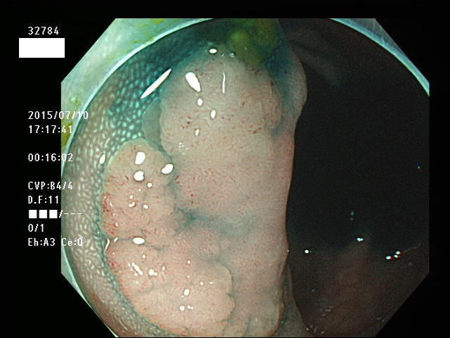
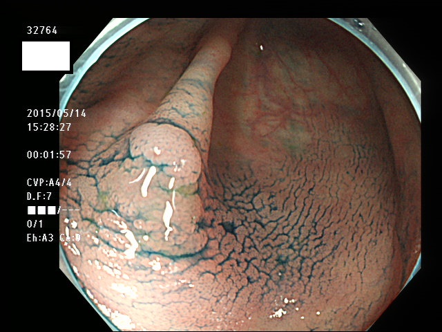
腺腫発見率 57% (カルテ番号32700〜32799の100名の方の検査結果で集計)
以下のカルテ番号の方に腺腫(Adenoma,Group3〜5)が見つかりました
32700 32707 32709 32710 32712 32713 32714 32715 32716 32717 32718 32720
32723 32725 32726 32728 32734 32735 32737 32738 32739 32742 32743 32745
32749 32750 32751 32753 32757 32759 32760 32761 32763 32764 32765 32766
32768 32770 32771 32772 32773 32774 32775 32777 32778 32780 32782 32783
32784 32787 32788 32790 32794 32795 32796 32798 32799・・・・・・の57名

上記100名より抽出した平坦・陥凹型腺腫(=癌化の危険が高いが見落としやすい病変)の内視鏡写真
大腸癌検診最新情報
大腸癌検診最新情報