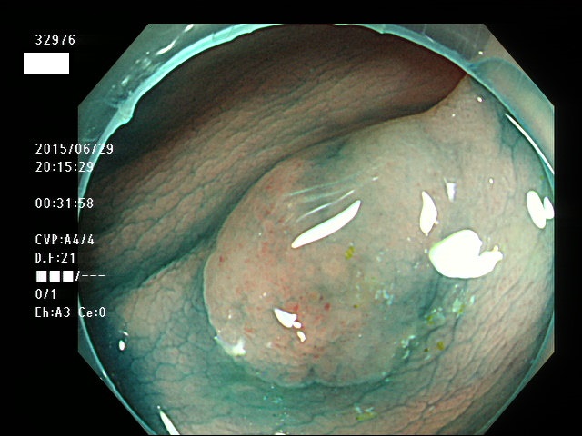
腺腫発見率 55% (カルテ番号32900〜32999の100名の方の検査結果で集計)

以下のカルテ番号の方に腺腫(Adenoma,Group3〜5)が見つかりました

32901 32902 32903 32904 32905 32906 32907 32910 32911 32912 32915 32916 32918 32919 32920 32921 32922 32923 32924 32925 32926 32927 32928 32929 32931 32933 32935 32939 32941 32951 32953 32956 32957 32959 32961 32963 32964 32965 32967 32968 32971 32972 32973 32976 32978 32980 32981 32982 32986 32988 32989 32990 32994 32995 32998・・・・・・の55名

   
 
   
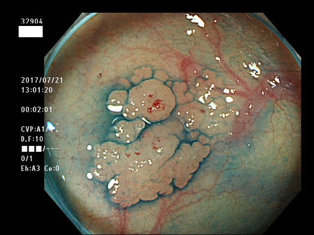
上記100名より抽出した平坦・陥凹型腺腫(=癌化の危険が高いが見落としやすい病変)の内視鏡写真

大腸癌検診最新情報

大腸癌検診最新情報