腺腫発見率 56% (カルテ番号33000〜33099の100名の方の検査結果で集計)

以下のカルテ番号の方に腺腫(Adenoma,Group3〜5)が見つかりました

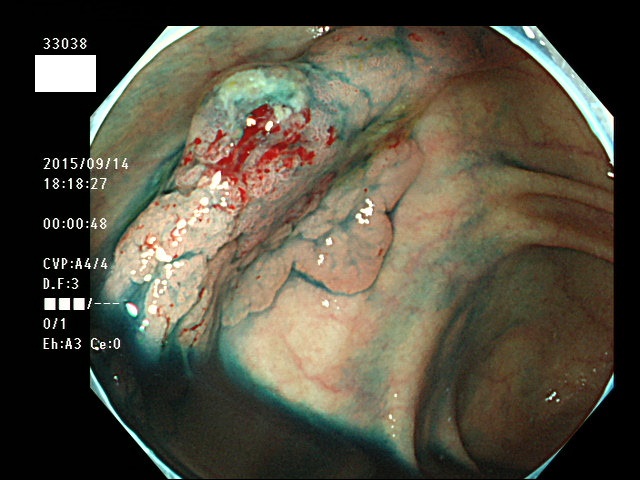
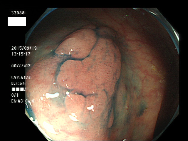
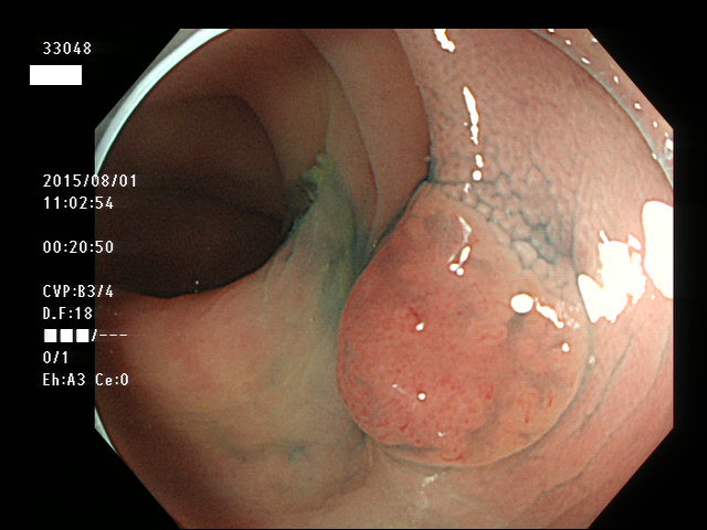
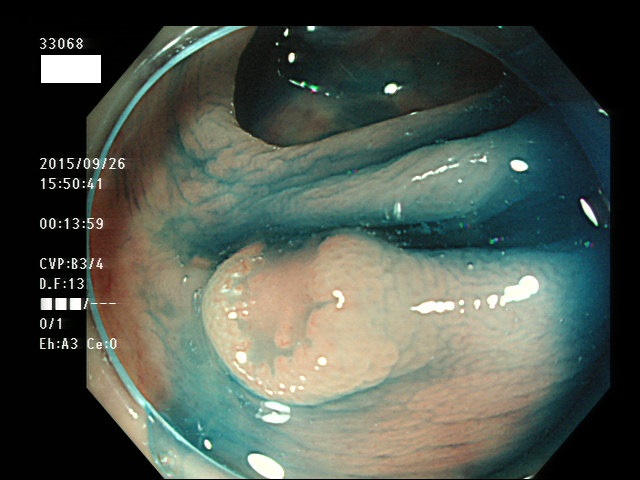
33003 33004 33005 33006 33007 33008 33009 33010 33011 33012 33013 33014 33015 13306 33018 33021 33024 33025 33026 33029 33030 33031 33032 33033 33036 33038 33039 33041 33042 33045 33046 33048 33051 33053 33054 33055 33057 33060 33063 33066 33068 33069 33071 33072 33074 33077 33078 33080 33086 33088 33089 33090 33091 33093 33095 33096 ・・・・・・の56名

   
 
   
上記100名より抽出した平坦・陥凹型腺腫(=癌化の危険が高いが見落としやすい病変)の内視鏡写真

大腸癌検診最新情報

大腸癌検診最新情報