腺腫発見率 53% (カルテ番号33100〜33199の100名の方の検査結果で集計)
以下のカルテ番号の方に腺腫(Adenoma,Group3〜5)が見つかりました
33103 33104 33108 33111(SSA/Pのみ) 33112 33113(SSA/Pのみ) 33114 33115 33116 33120(SSA/Pのみ) 33121 33122 33125 33127 33129 33130 33131 33135 33136 33139 33142 33143
33145 33147 33149 33150 33151(SSA/Pのみ) 33152 33155 33157 33159 33160(SSA/Pのみ) 33161 33163 33164(SSA/Pのみ) 33165 33167 33168 33170 33171 33172 33173 33174 33175 33176 33181 33183 33188 33189 33190 33194 33197 33198 ・・・・・・の53名

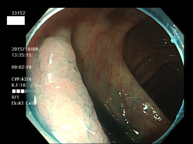
上記100名より抽出した平坦・陥凹型腺腫(=癌化の危険が高いが見落としやすい病変)の内視鏡写真
集計法 当院での新患の方(=当院で大腸内視鏡が始めての方)だけに限定するために当院の最新のカルテ番号の方、100人を母集団にします(通常、腺腫発見率はこのような方法で集計されます)。これは当院で2ヶ月間に行われる検査の約6分の1です。病理検査で腺腫(Gruoup3〜5)が確定した方のみを集計します。鋸歯状病変については病理報告書で「Serrated
Adenoma」「 SSAP(Sessile Serrated Adenoma)」と明記されたものは集計に入れ、「serraated lesion、serraated
type」としか書かれてていないものは除外します。通常の腺腫と区別するために「SAのみ」「SSAPのみ」の場合はカルテ番号を青で表記。
大腸癌検診最新情報
大腸癌検診最新情報