腺腫発見率 48% (カルテ番号33300〜33399の100名の方の検査結果で集計)
以下のカルテ番号の方に腺腫(Adenoma,Group3〜5)が見つかりました
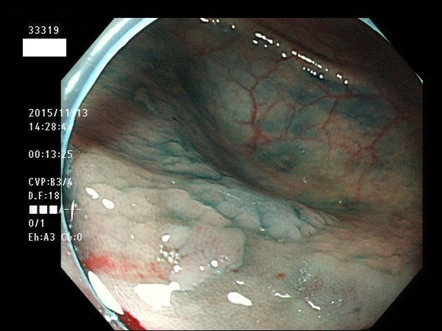
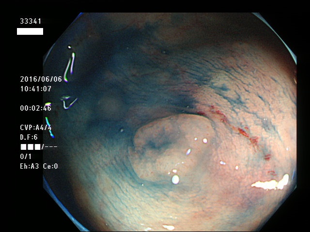
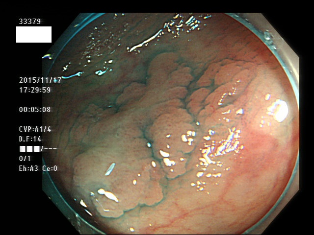
33300 33301(SSA/Pのみ) 33304 33306 33308 33311 33312(SSA/Pのみ) 33315 33319 33320 33321 33323 33324 33326 33327 33329 33330 33334 33338 33340 33341 33342 33345 33346 33350 33351 33355 33360 33361 33362(SSA/Pのみ) 33363 33366 33368 33372 33373(SSA/Pのみ) 33376 33377 33379 33382 33385 33386 33389 33392 33393 33394 33395 33396
33398 ・・・・・・の48名

上記100名より抽出した平坦・陥凹型腺腫(=癌化の危険が高いが見落としやすい病変)の内視鏡写真
集計法 当院での新患の方(=当院で大腸内視鏡が始めての方)だけに限定するために当院の最新のカルテ番号の方、100人を母集団にします(通常、腺腫発見率はこのような方法で集計されます)。これは当院で2ヶ月間に行われる検査の約6分の1です。病理検査で腺腫(Gruoup3〜5)が確定した方のみを集計します。鋸歯状病変については病理報告書で「Serrated
Adenoma」「 SSAP(Sessile Serrated Adenoma)」と明記されたものは集計に入れ、「serraated lesion、serraated
type」としか書かれてていないものは除外します。通常の腺腫と区別するために「SAのみ」「SSAPのみ」の場合はカルテ番号を青で表記。
大腸癌検診最新情報
大腸癌検診最新情報