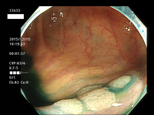
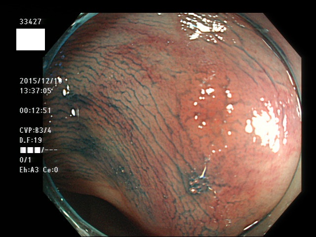
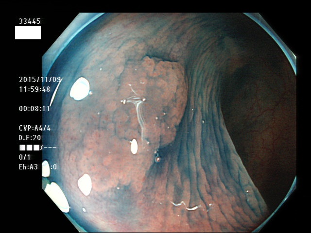
腺腫発見率 55% (カルテ番号33400〜33499の100名の方の検査結果で集計)
以下のカルテ番号の方に腺腫(Adenoma,Group3〜5)が見つかりました
33400 33401 33405 33406 33407 33408 33409 33410 33417 33418 33419(SSA/Pのみ) 33420 33421 33422 33424 33425 33426 33427 33428 33429 33431 33433 33434 33435 33437 33440 33442 33445 33447 33449(SSA/Pのみ) 33451 33453 33455 33457 33459(SSA/Pのみ) 33460 33461 33462 33464 33467 33468 33472 33475 33476 33477 33478 33480
33481 33482 33483 33485 33487 33492 33493 33494 ・・・・・・の55名

上記100名より抽出した平坦・陥凹型腺腫(=癌化の危険が高いが見落としやすい病変)の内視鏡写真
集計法 当院での新患の方(=当院で大腸内視鏡が始めての方)だけに限定するために当院の最新のカルテ番号の方、100人を母集団にします(通常、腺腫発見率はこのような方法で集計されます)。これは当院で2ヶ月間に行われる検査の約6分の1です。病理検査で腺腫(Gruoup3〜5)が確定した方のみを集計します。鋸歯状病変については病理報告書で「Serrated
Adenoma」「 SSAP(Sessile Serrated Adenoma)」と明記されたものは集計に入れ、「serraated lesion、serraated
type」としか書かれてていないものは除外します。通常の腺腫と区別するために「SAのみ」「SSAPのみ」の場合はカルテ番号を青で表記。
大腸癌検診最新情報
大腸癌検診最新情報