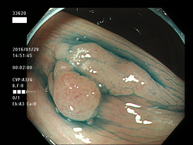
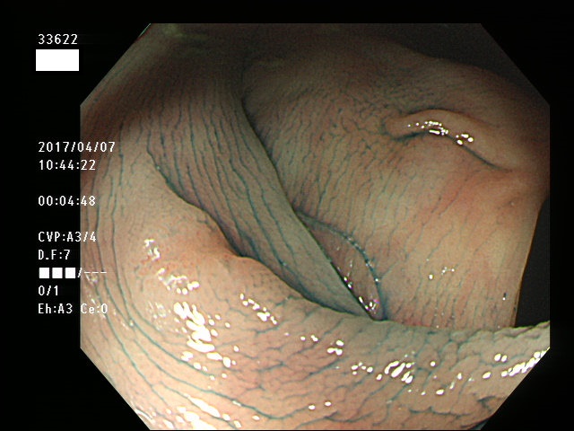
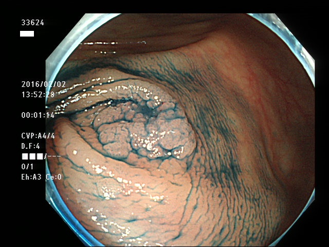
腺腫発見率 56% (カルテ番号 33600-33699の100名の方の検査結果で集計)
以下のカルテ番号の方に腺腫(Adenoma,Group3〜5)が見つかりました
33600 33603 33606 33607(SSA/Pのみ) 33608 33609 33610 33613 33616 33617 33618 33620 33622 33624 33625 33626
33627 33628 33629 33630 33631 33633 33635(SSA/Pのみ) 33638 33640 33641 33642 33643 33649 33653 33654 33656 33657 33660 33662
33664 33665 33666 33669 33671 33672 33673 33675 33677 33679 33681 33683
33684 33685 33686 33687(SSA/Pのみ) 33688 33693 33694 33695 33698・・・・・・の56名

上記100名より抽出した平坦・陥凹型腺腫(=癌化の危険が高いが見落としやすい病変)の内視鏡写真
集計法 当院での新患の方(=当院で大腸内視鏡が始めての方)だけに限定するために当院の最新のカルテ番号の方、100人を母集団にします(通常、腺腫発見率はこのような方法で集計されます)。これは当院で2ヶ月間に行われる検査の約6分の1です。病理検査で腺腫(Gruoup3〜5)が確定した方のみを集計します。鋸歯状病変については病理報告書で「Serrated
Adenoma」「 SSAP(Sessile Serrated Adenoma)」と明記されたものは集計に入れ、「serraated lesion、serraated
type」としか書かれてていないものは除外します。通常の腺腫と区別するために「SAのみ」「SSAPのみ」の場合はカルテ番号を青で表記。
大腸癌検診最新情報
大腸癌検診最新情報