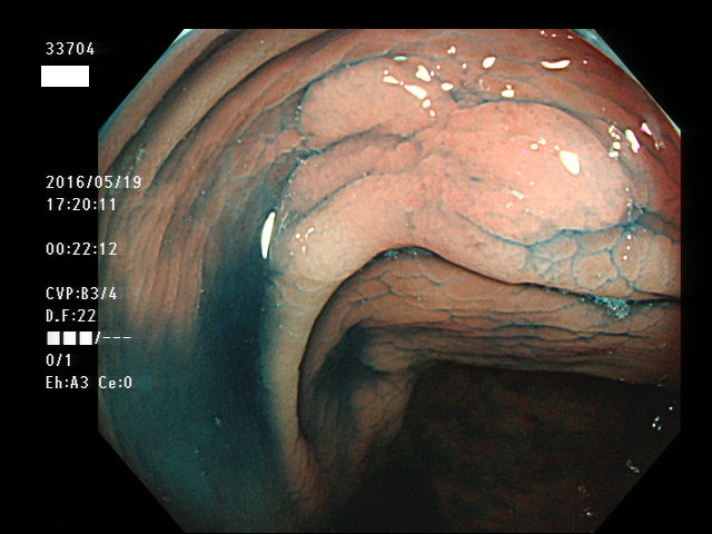
腺腫発見率 66% (カルテ番号 33700-33799の100名の方の検査結果で集計)
以下のカルテ番号の方に腺腫(Adenoma,Group3〜5)が見つかりました
33701 33703 33704 33705 33707 33708 33709 33710 33711 33712(SSA/Pのみ) 33713 33715 33717 33718 33719 33720 33721 33724 33725 33726 33727 33729
33730 33735 33736 33738 33739 33740 33741 33742 33745 33746 33747(SSA/Pのみ) 33748 33749 33750 33752 33759 33760 33761 33762 33763 33767 33769 33770(SSA/Pのみ) 33771 33772 33773 33775 33778 33779 33780(SSA/Pのみ) 33782 33783 33785 33787 33788 33789 33790 33791 33792 33794 33795(SSA/Pのみ) 33796 33798 33799・・・・・・の66名

上記100名より抽出した平坦・陥凹型腺腫(=癌化の危険が高いが見落としやすい病変)の内視鏡写真
集計法 当院での新患の方(=当院で大腸内視鏡が始めての方)だけに限定するために当院の最新のカルテ番号の方、100人を母集団にします(通常、腺腫発見率はこのような方法で集計されます)。これは当院で2ヶ月間に行われる検査の約6分の1です。病理検査で腺腫(Gruoup3〜5)が確定した方のみを集計します。鋸歯状病変については病理報告書で「Serrated
Adenoma」「 SSAP(Sessile Serrated Adenoma)」と明記されたものは集計に入れ、「serraated lesion、serraated
type」としか書かれてていないものは除外します。通常の腺腫と区別するために「SAのみ」「SSAPのみ」の場合はカルテ番号を青で表記。
大腸癌検診最新情報
大腸癌検診最新情報