腺腫発見率 52% (カルテ番号 33800-33899の100名の方の検査結果で集計)
以下のカルテ番号の方に腺腫(Adenoma,Group3〜5)が見つかりました
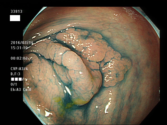
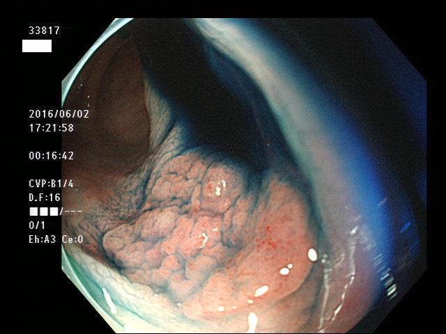
・33804 33805 33806 33807(SSA/Pのみ) 33810 33813 33815 33816 33817 33818 33819 33820 33821(SSA/Pのみ) 33825 33827 33828 33829 33839(SSA/Pのみ) 33840 33841 33843 33845 33846 33848 33849 33850 33851(SSA/Pのみ) 33852 33853 33856 33859 33860 33865 33870 33871 33872 33876 33877 33880 33882 33883 33887 33888 33889 33891 33892 33893 33894 33895 33896 33898 33899 ・・・・・の52名

上記100名より抽出した平坦・陥凹型腺腫(=癌化の危険が高いが見落としやすい病変)の内視鏡写真
集計法 当院での新患の方(=当院で大腸内視鏡が始めての方)だけに限定するために当院の最新のカルテ番号の方、100人を母集団にします(通常、腺腫発見率はこのような方法で集計されます)。これは当院で2ヶ月間に行われる検査の約6分の1です。病理検査で腺腫(Gruoup3〜5)が確定した方のみを集計します。鋸歯状病変については病理報告書で「Serrated
Adenoma」「 SSAP(Sessile Serrated Adenoma)」と明記されたものは集計に入れ、「serraated lesion、serraated
type」としか書かれてていないものは除外します。通常の腺腫と区別するために「SAのみ」「SSAPのみ」の場合はカルテ番号を青で表記。
大腸癌検診最新情報
大腸癌検診最新情報