腺腫発見率 58% (カルテ番号 33900-33999の100名の方の検査結果で集計)
以下のカルテ番号の方に腺腫(Adenoma,Group3〜5)が見つかりました
33900 33901 33902 33904 33905 33906 33907 33915 33916 33917(SSA/Pのみ) 33921 33923 33924 33926 33927 33929 33930 33933 33935 33939 33940 33942
33944 33946 33947 33948 33950 33951 33952 33954 33955 33956 33961 33962(SSA/Pのみ) 33963 33964 33966 33967 33968 33969 33970 33971 33973 33976 33977 33978
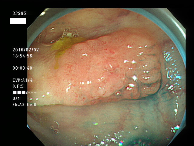
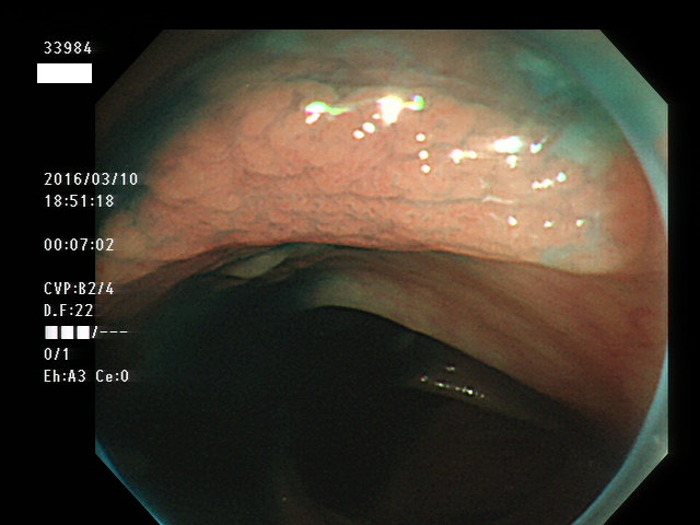
33983 33984 33985 33986 33989 33990 33991 33992 33993 33996 33997 33998
・・・・・・の58名

上記100名より抽出した平坦・陥凹型腺腫(=癌化の危険が高いが見落としやすい病変)の内視鏡写真
集計法 当院での新患の方(=当院で大腸内視鏡が始めての方)だけに限定するために当院の最新のカルテ番号の方、100人を母集団にします(通常、腺腫発見率はこのような方法で集計されます)。これは当院で2ヶ月間に行われる検査の約6分の1です。病理検査で腺腫(Gruoup3〜5)が確定した方のみを集計します。鋸歯状病変については病理報告書で「Serrated
Adenoma」「 SSAP(Sessile Serrated Adenoma)」と明記されたものは集計に入れ、「serraated lesion、serraated
type」としか書かれてていないものは除外します。通常の腺腫と区別するために「SAのみ」「SSAPのみ」の場合はカルテ番号を青で表記。
大腸癌検診最新情報
大腸癌検診最新情報