腺腫発見率 65% (カルテ番号 34000-34099の100名の方の検査結果で集計)
以下のカルテ番号の方に腺腫(Adenoma,Group3〜5)が見つかりました
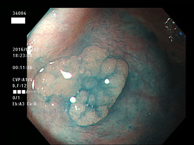
34000 34001 34002 34003 34004 34005 34006 34007 34011 34012 34013 34014
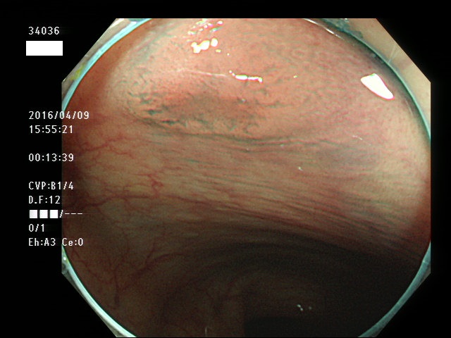
34016 34017 34020 34022 34021 34023 34024 34026 34027 34028 34029 34031
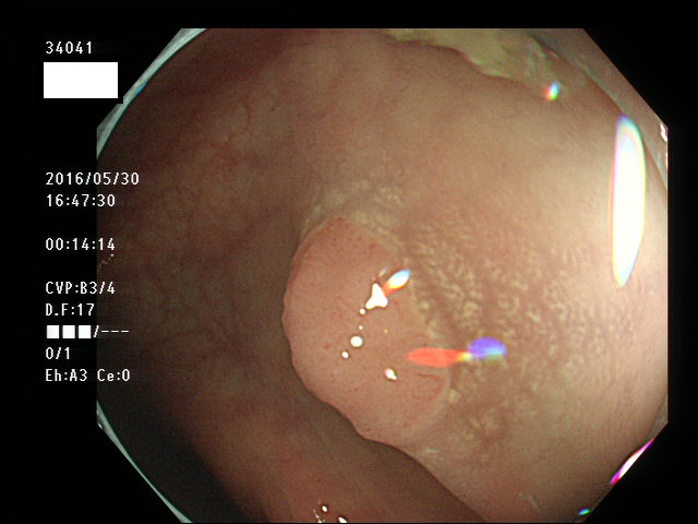
34032 34033 34034 34036 34038 34039 34040 34041 34042 34044 34045 34046
34050 34051 34053 34054 34056 34059 34060 34061 34062 34063 34065 34066
34067 34068 34069 34071 34074 34075 34077 34078 34079 34080 34085 34086
34090 34092 34093 34094 34096・・・・・の65名

上記100名より抽出した平坦・陥凹型腺腫(=癌化の危険が高いが見落としやすい病変)の内視鏡写真
集計法 当院での新患の方(=当院で大腸内視鏡が始めての方)だけに限定するために当院の最新のカルテ番号の方、100人を母集団にします(通常、腺腫発見率はこのような方法で集計されます)。これは当院で2ヶ月間に行われる検査の約6分の1です。病理検査で腺腫(Gruoup3〜5)が確定した方のみを集計します。鋸歯状病変については病理報告書で「Serrated
Adenoma」「 SSAP(Sessile Serrated Adenoma)」と明記されたものは集計に入れ、「serraated lesion、serraated
type」としか書かれてていないものは除外します。通常の腺腫と区別するために「SAのみ」「SSAPのみ」の場合はカルテ番号を青で表記。
大腸癌検診最新情報
大腸癌検診最新情報