腺腫発見率 58% (カルテ番号35000〜35099の100名の方の検査結果で集計)
以下のカルテ番号の方に腺腫(Adenoma,Group3〜5)が見つかりました
35000 35002 35004 35005 35006 35008 35009 35010 35015 35018 35019 35021
35022 35023 35025 35027 35028 35029 35030 35033 35035 35036 35038 35042
35043 35044 35045 35046 35049 35054 35056 35057 35058 35059 35060 35061
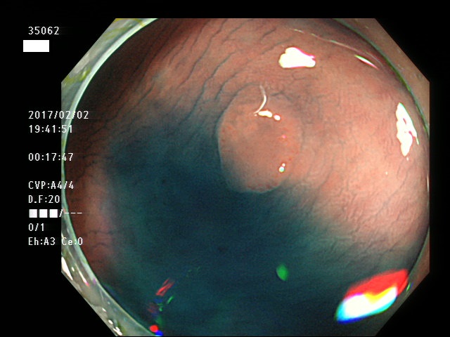
35063 35064 35065 35066 35067 35068 35069 35071 35074 35076 35079 35081
35083 35084 35085 35087 35088 35091 35092 35096 35098・・・・・・の58名

上記100名より抽出した平坦・陥凹型腺腫・SSAP(=癌化の危険が高いが見落としやすい病変)の内視鏡写真
大腸癌検診最新情報
大腸癌検診最新情報