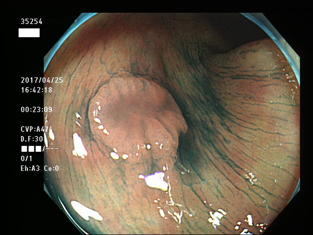
腺腫発見率 54% (カルテ番号35200〜35299の100名の方の検査結果で集計)

以下のカルテ番号の方に腺腫(Adenoma,Group3〜5)が見つかりました

35200 35201 35206 35207 35208 35209 35211 35213 35215 35217 35218 35219 35221 35223 35224 35225 35227 35231 35232 35233 35234 35235 35237 35238 35245 35249 35254 35255 35256 35257 35258 35264 35265 35266 35270 35271 35275 35276 35277 35280 35281 35283 35284 35285 35286 35287 35289 35290 35291 35292 35293 35294 35295 35298
・・・・・・の54名

   
   
上記100名より抽出した平坦・陥凹型腺腫・SSAP(=癌化の危険が高いが見落としやすい病変)の内視鏡写真

大腸癌検診最新情報

大腸癌検診最新情報