腺腫発見率 55% (カルテ番号35300〜35399の100名の方の検査結果で集計)

以下のカルテ番号の方に腺腫(Adenoma,Group3〜5)が見つかりました

35301 35304 35305 35306 35308 35310 35312 35313 35316 35317 35319 35320 35322 35324 35325 35328 35329 35334 35335 35338 35340 35341 35343 35344 35346 35347 35350 35352 35353 35354 35355 35356 35358 35359 35360 35362 35364 35366 35367 35370 35371 35373 35374 35375 35377 35379 35381 35382 35384 35385 35390 35391 35392 35395 35398
・・・・・・の55名

   
 
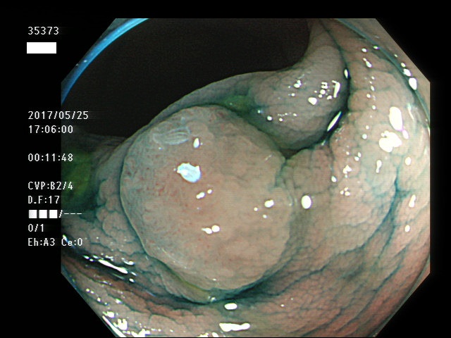
上記100名より抽出した平坦・陥凹型腺腫・SSAP(=癌化の危険が高いが見落としやすい病変)の内視鏡写真

大腸癌検診最新情報

大腸癌検診最新情報