腺腫発見率 54% (カルテ番号 35400-35499の100名の方の検査結果で集計)

以下のカルテ番号の方に腺腫(Adenoma,Group3〜5)が見つかりました

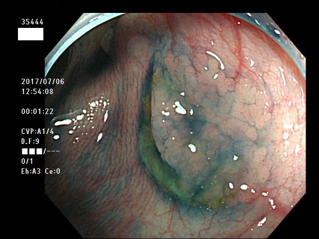
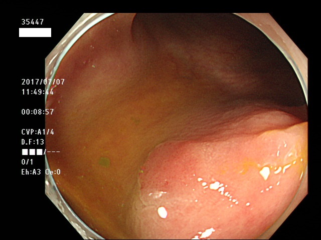
35403 35404 35405 35409 35410 35412 35413 35414 35416 35417 35418 35419 35420 35421 35426 35429 35430 35433 35434 35435 35438 35439 35440 35444 35445 35447 35449 35450 35451 35452 35453 35454 35458 35460 35463 35464 35466 35468 35469 35470 35472 35473 35478 35479 35481 35483 35485 35489 35490 35491 35492 35493 35498 ・・・・・の54名

   
 
   
上記100名より抽出した平坦・陥凹型腺腫・SSAP(=癌化の危険が高いが見落としやすい病変)の内視鏡写真
集計法 当院での新患の方(=当院で大腸内視鏡が始めての方)だけに限定するために当院の最新のカルテ番号の方、100人を母集団にします(通常、腺腫発見率はこのような方法で集計されます)。これは当院で2ヶ月間に行われる検査の約6分の1です。病理検査で腺腫(Gruoup3〜5)が確定した方のみを集計します。鋸歯状病変については病理報告書で「Serrated Adenoma」「 SSAP(Sessile Serrated Adenoma)」と明記されたものは集計に入れ、「serraated lesion、serraated type」としか書かれてていないものは除外します。通常の腺腫と区別するために「SAのみ」「SSAPのみ」の場合はカルテ番号をで表記。



大腸癌検診最新情報

大腸癌検診最新情報