腺腫発見率 54% (カルテ番号 35500-35599の100名の方の検査結果で集計)

以下のカルテ番号の方に腺腫(Adenoma,Group3〜5)が見つかりました

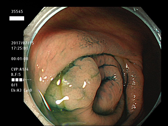
35500 35501 35502 35506 35508 35509 35511 35514 35515 35516 35517 35520 35521 35522 35523 35524 35525 35526 35528 35532 35535 35536 35539 35542 35544 35545 35547 35548 35550 35553 35556 35559 35560 35561 35562 35563 35564 35567 35569 35570 35571 35578 35581 35584 35585 35587 35588 35589 35590 35592 35593 35594 35598 35599・・・・・の54名

   
 
   
上記100名より抽出した平坦・陥凹型腺腫・SSAP(=癌化の危険が高いが見落としやすい病変)の内視鏡写真
集計法 当院での新患の方(=当院で大腸内視鏡が始めての方)だけに限定するために当院の最新のカルテ番号の方、100人を母集団にします(通常、腺腫発見率はこのような方法で集計されます)。これは当院で2ヶ月間に行われる検査の約6分の1です。病理検査で腺腫(Gruoup3〜5)が確定した方のみを集計します。鋸歯状病変については病理報告書で「Serrated Adenoma」「 SSAP(Sessile Serrated Adenoma)」と明記されたものは集計に入れ、「serraated lesion、serraated type」としか書かれてていないものは除外します。通常の腺腫と区別するために「SAのみ」「SSAPのみ」の場合はカルテ番号をで表記。



大腸癌検診最新情報

大腸癌検診最新情報