腺腫発見率43 % (カルテ番号 35900〜35999の100名の方の検査結果で集計)大腸癌検診最新情報
以下のカルテ番号の方に腺腫(Adenoma,Group3〜5)が見つかりました(集計法)
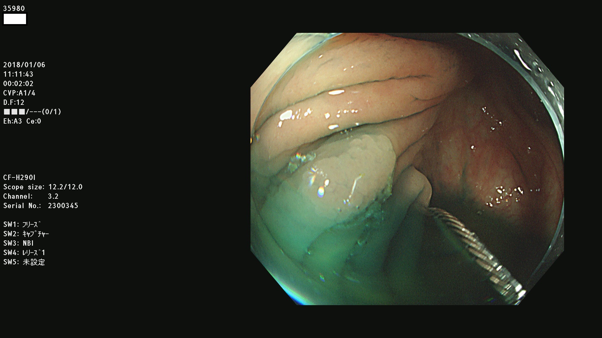
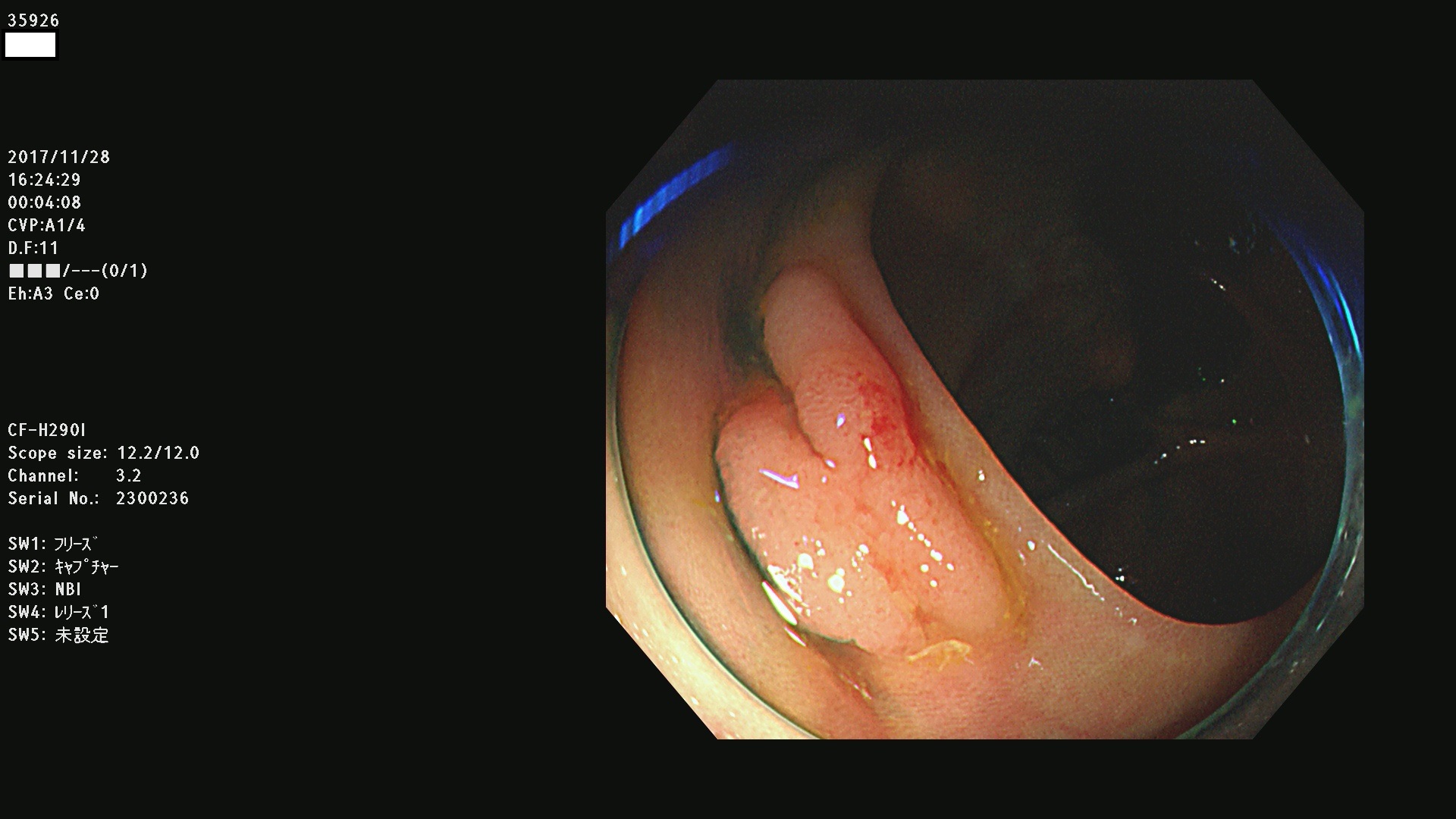
35900 35901 35904 35908 35912(SSA/Pのみ) 35914 35918 35922 35925 35926 35928 35931 35932 35933 35934 35937 35939 35943 35945 35947 35949 35951(SSA/Pのみ) 35952 35958 35959 35963 35964(SSA/Pのみ) 35965 35970 35972 35976(SSA/Pのみ) 35977 35978 35979(SSA/Pのみ) 35980(SSA/Pのみ) 35982 35983 35985 35991 35993 35995 35997 35999
発見困難で危険性の高い平坦型病変(上記100名より抽出) ![]()
![]()
![]()
![]()
![]()
![]()
![]()