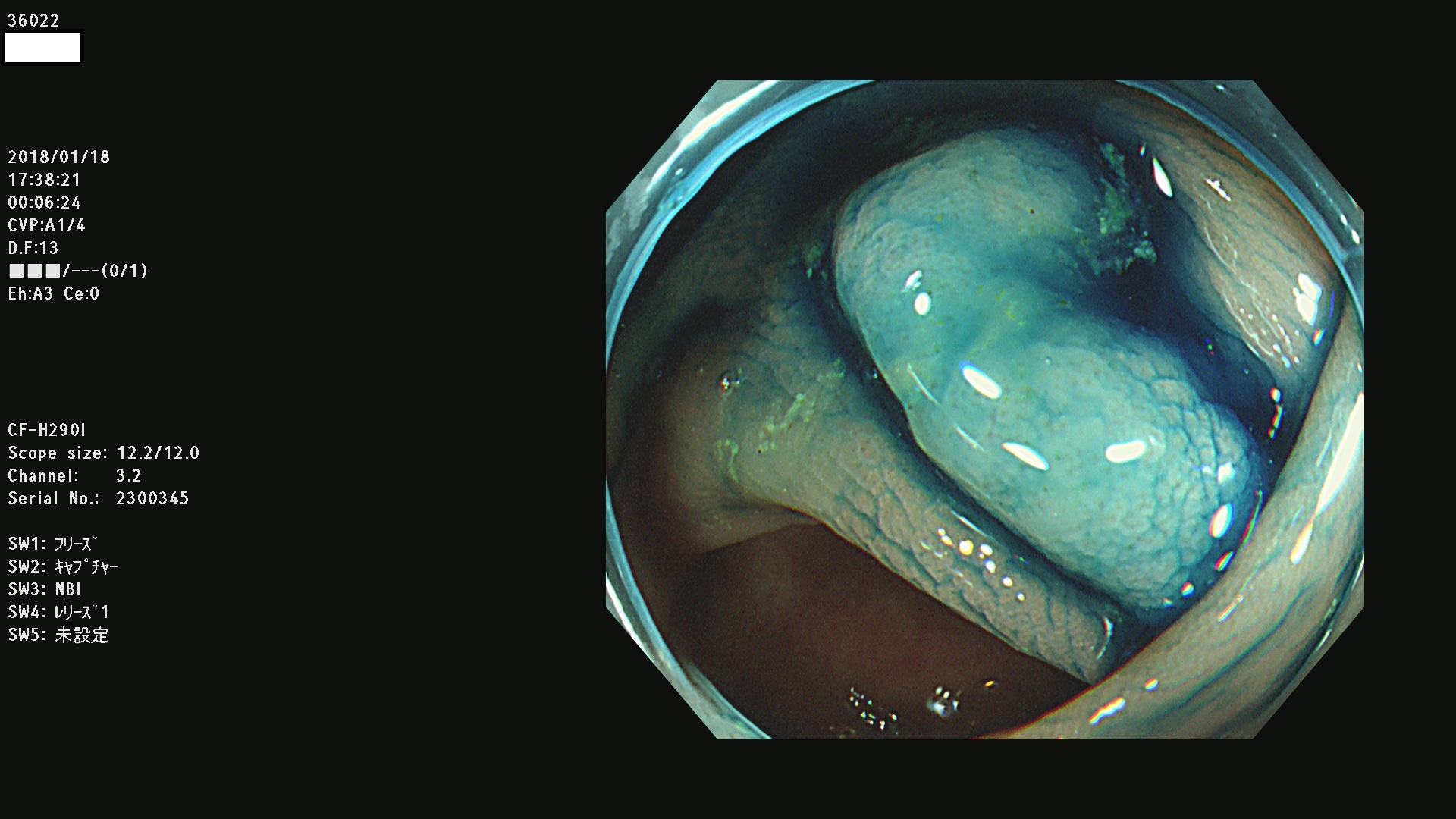
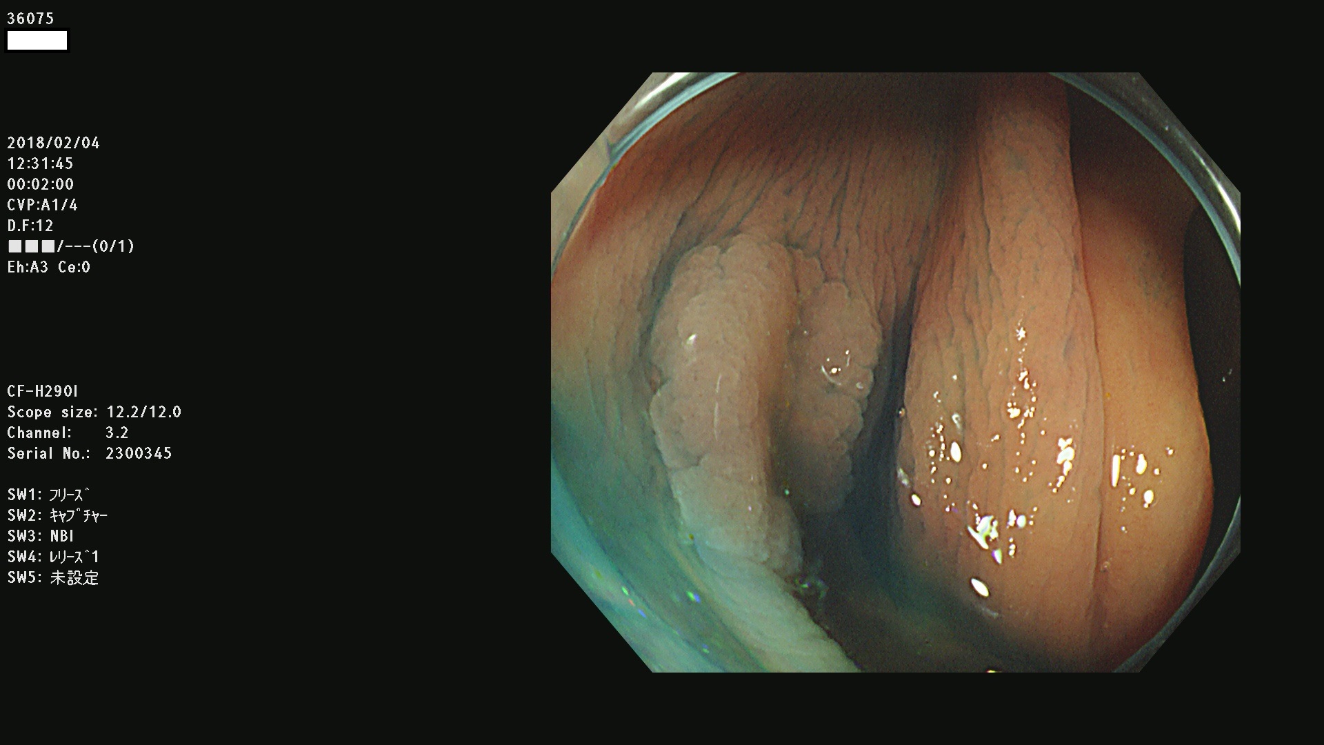
腺腫発見率47 % (カルテ番号 36000〜36099の100名の方の検査結果で集計)

以下のカルテ番号の方に腺腫(Adenoma,Group3〜5)が見つかりました(集計法

36000 36001 36003 36004 36008 36009 36012 36013(SSA/Pのみ) 36015 36016 36017 36021 36022 36023 36027 36030 36033(SSA/Pのみ) 36036 36037 36042 36044 36045 36046 36047 36051 36053 36054 36055 36056 36057 36058 36059 36060 36061 36062 36073(SSA/Pのみ) 36074 36075 36076 36078 36081 36082 36083 36089 36090(SSA/Pのみ) 36094 36096

発見困難で危険性の高い平坦型病変(上記100名より抽出)   
 
 
 
 
 
 
 
 
 
 
 
 
 
 
 
 
 
 




大腸癌検診最新情報

大腸癌検診最新情報