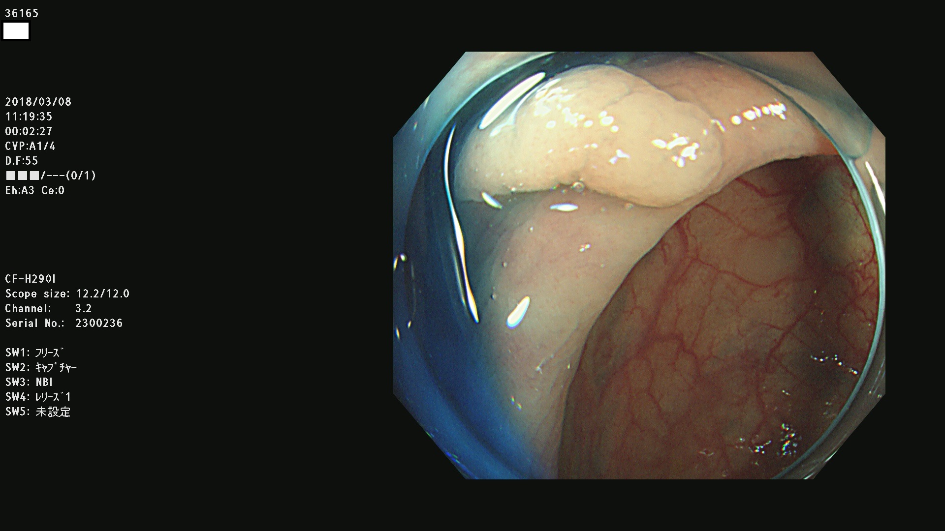
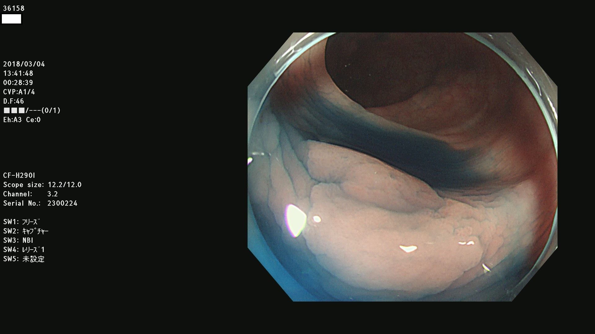
腺腫発見率57 % (カルテ番号 36100〜36199の100名の方の検査結果で集計)大腸癌検診最新情報
以下のカルテ番号の方に腺腫(Adenoma,Group3〜5)が見つかりました(集計法)
36100 36101 36102 36103 36104 36105 36107 36108 36110 36111 36114 36115 36117 36119 36120 36122 36125 36127 36129(SSA/Pのみ) 36133 36135 36137 36138 36139 36143 36144 36146 36147 36152 36153 36154 36155 36157(SSA/Pのみ) 36158 36162 36163 36165 36167 36169 36170 36173 36174 36176 36177 36178 36179 36180 36183 36185 36187 36189 36190(SSA/Pのみ) 36191 36193 36195(SSA/Pのみ) 36197(SSA/Pのみ) 36199(SSA/Pのみ)
発見困難で危険性の高い平坦型病変(上記100名より抽出) ![]()
![]()
![]()
![]()
![]()
![]()
![]()
![]()
![]()
![]()
![]()
![]()
![]()