腺腫発見率 66  % (カルテ番号 36200〜36299の100名の方の検査結果で集計)
以下のカルテ番号の方に腺腫(Adenoma,Group3〜5)が見つかりました(集計法
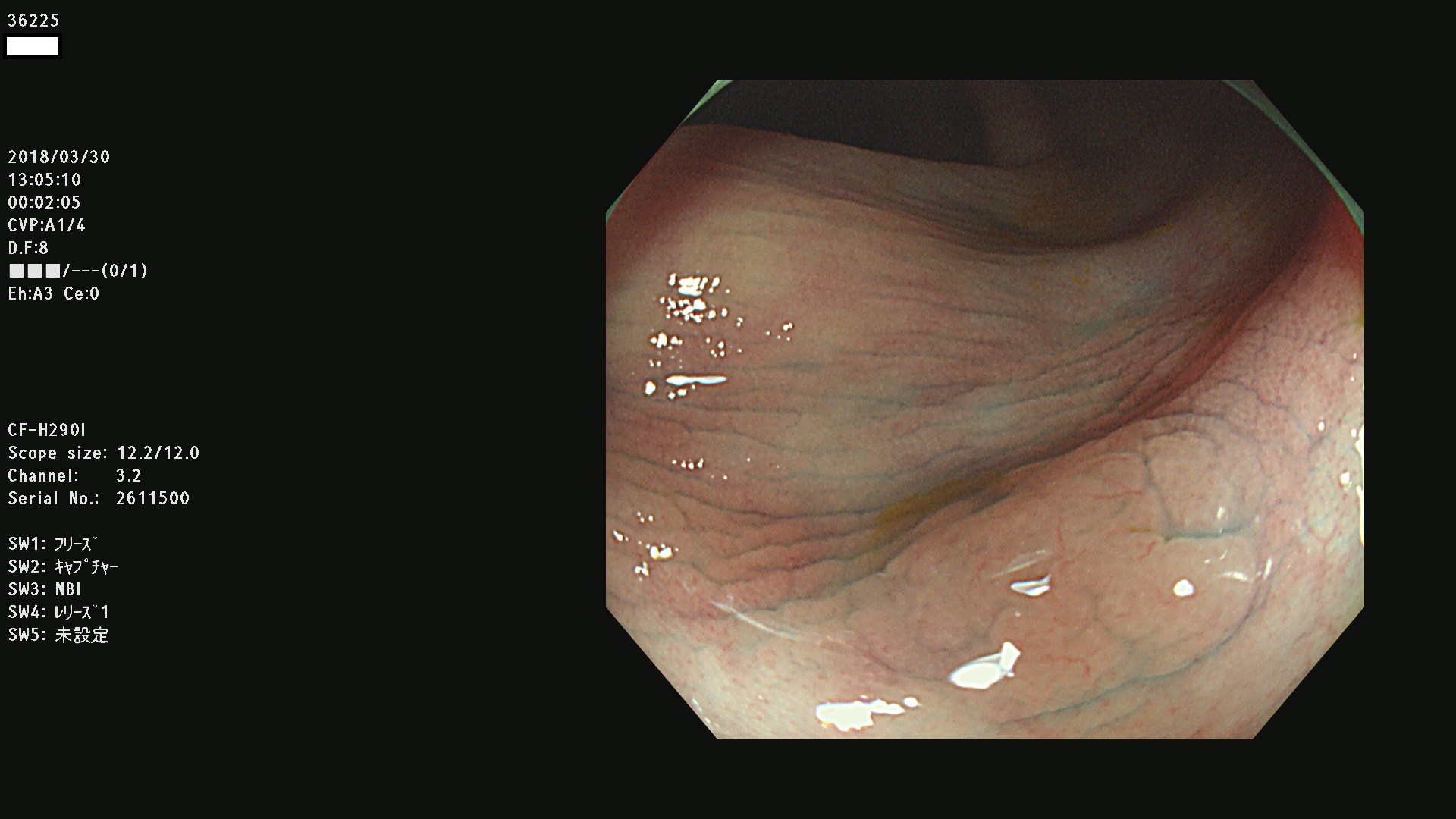
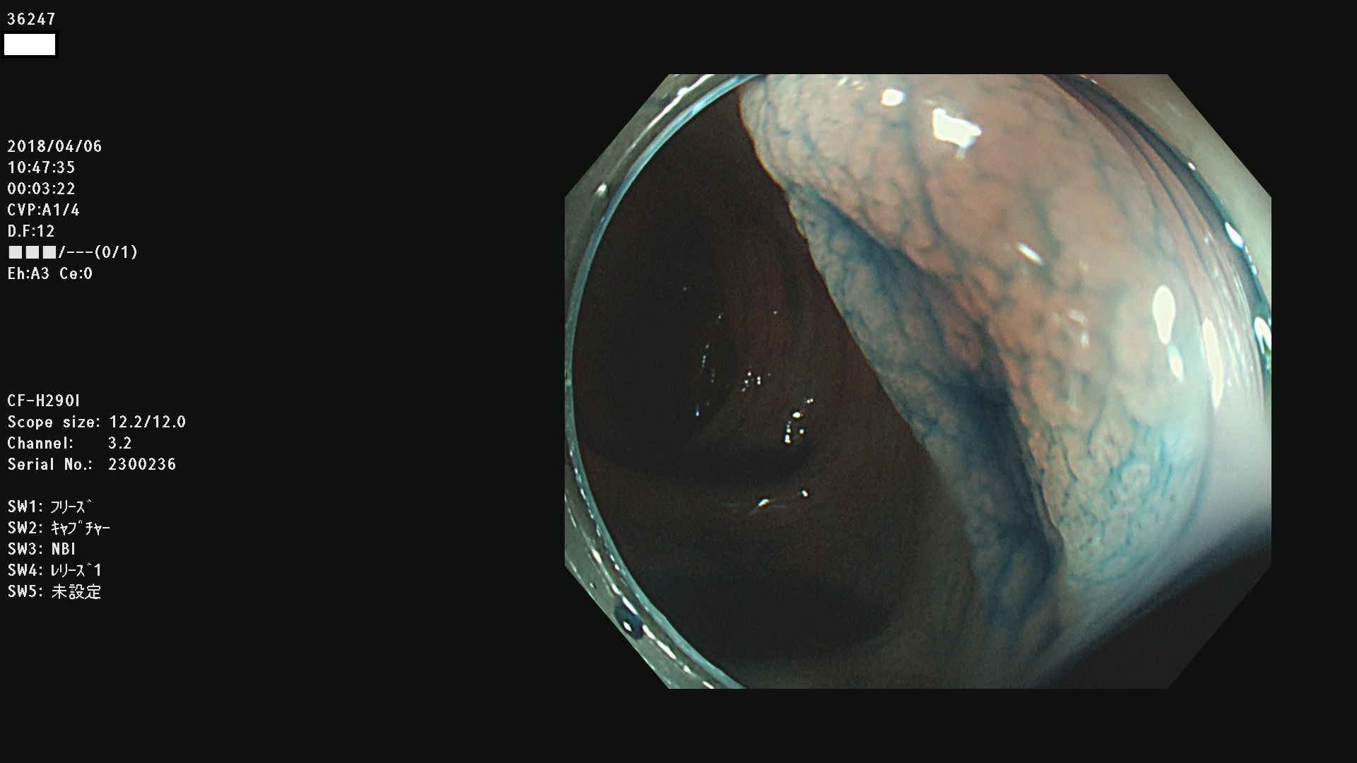
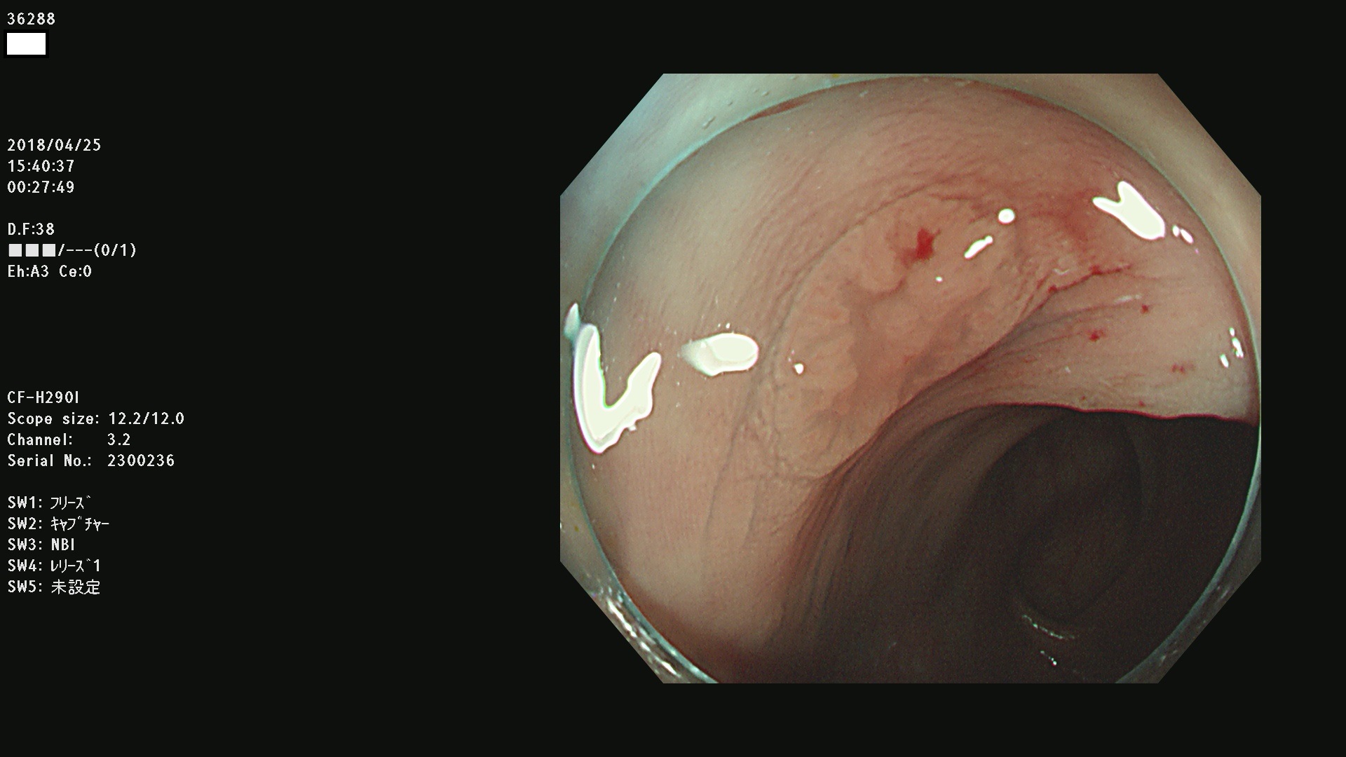
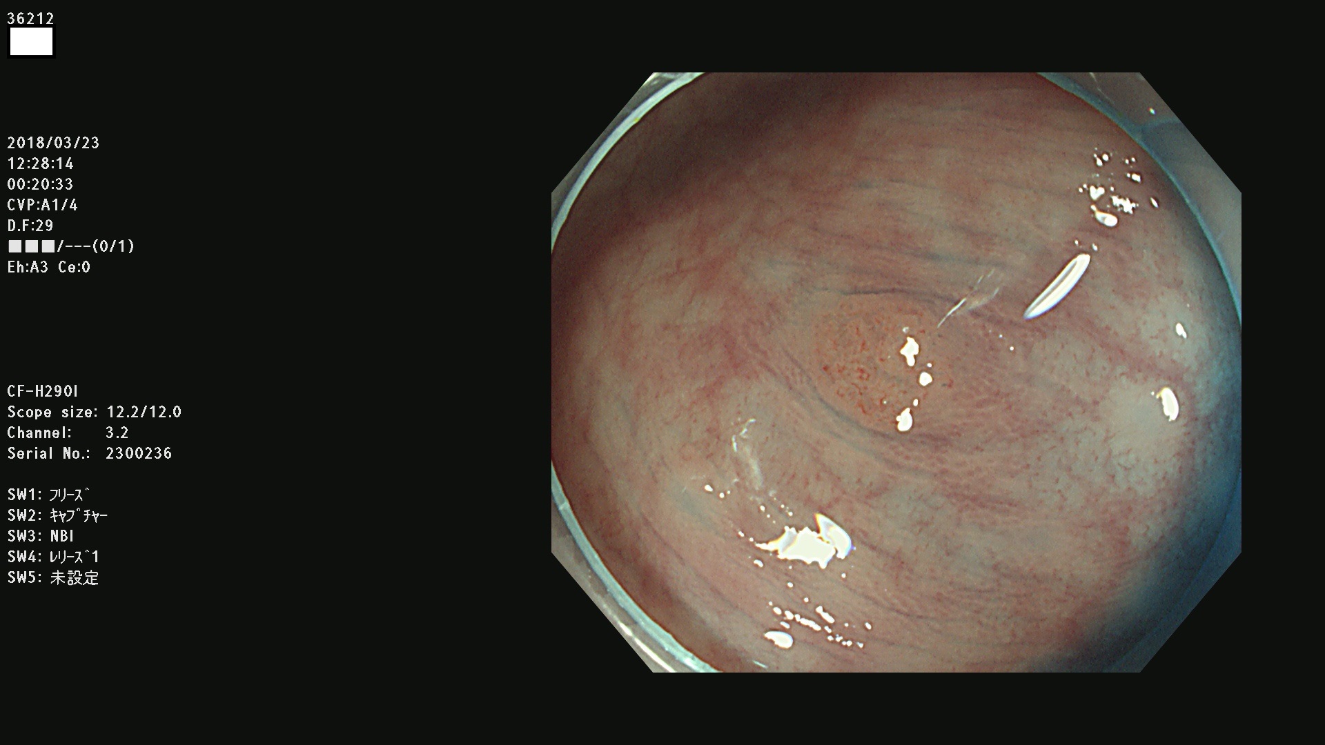
36201 36202 36203 36205 36207 36209 36210 36212 36213 36214 36215 36217 36220 36221 36222 36224 36225 36226 36227 36229 36230 36231 36232 36235 36236 36238 36240 36243 36244 36246 36247(SSAPのみ。SPS) 36248 36249 36251 36252 36253 36254 36255 36256 36257 36258 36259 36261 36262 36264 36265 36267 36269 36270 36272 36274 36275 36276 36279 36280 36281 36283 36285 36288 36289 36291 36292 36295 36296 36297 36299

発見困難で危険性の高い平坦型病変(上記100名より抽出)   
 
 
 
 
 
 
 
 
 
 
 
 
 
 
 
 
 
 
 
 




大腸癌検診最新情報

大腸癌検診最新情報