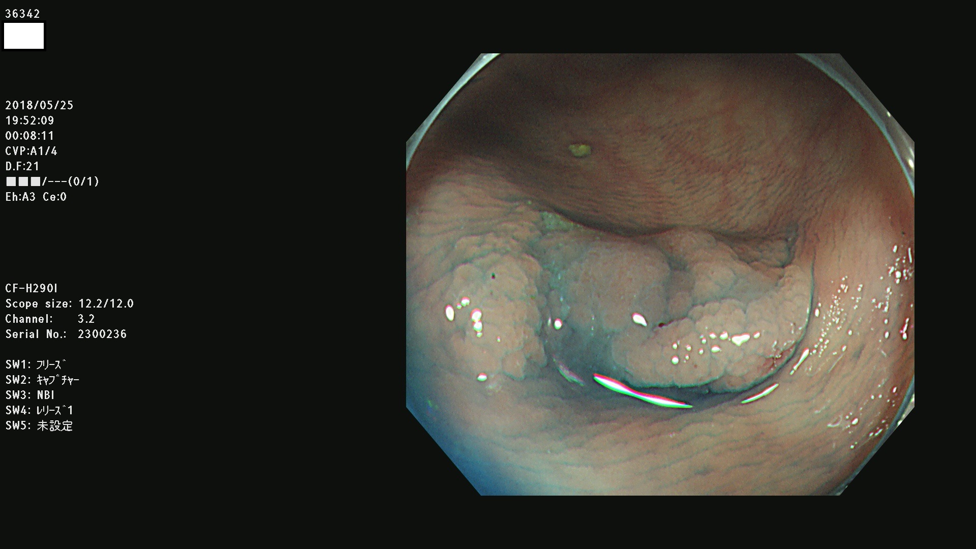
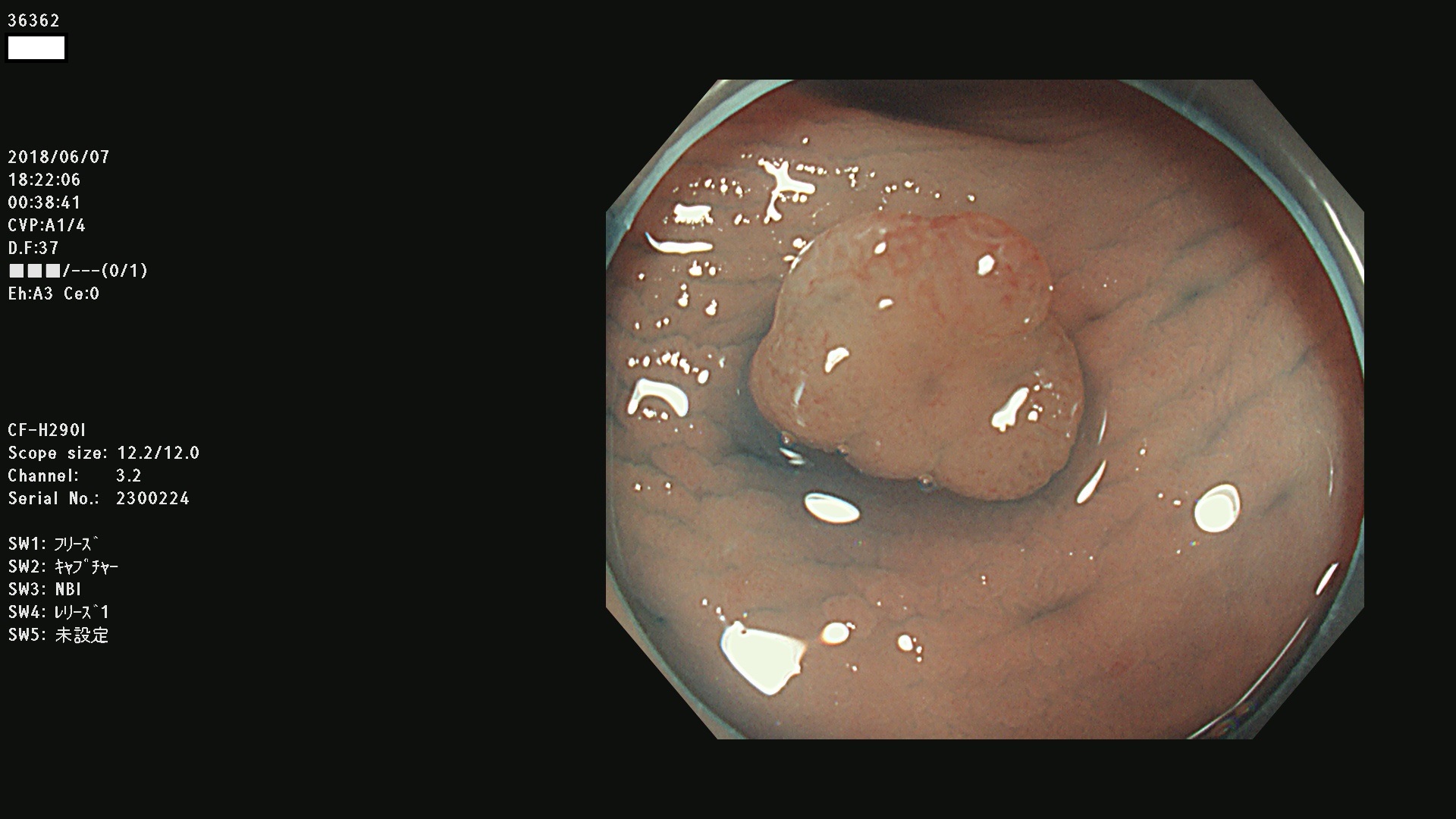
腺腫発見率 68 % (カルテ番号 36300〜36399の100名の方の検査結果で集計)大腸癌検診最新情報
以下のカルテ番号の方に腺腫(Adenoma,Group3〜5)が見つかりました(集計法)
36300 36302 36305 36306 36307 36308 36310 36311 36312 36313 36314 36315 36316 36318 36321 36322 36324 36325 36326 36327 36330 36332 36333 36334 36335(SSAPのみ) 36337 36338 36339(SSAPのみ) 36340 36341 36342(SSAPのみ) 36343 36344 36346 36348 36349 36351 36353 36354 36355(SSAPのみ) 36356 36357 36358 36359 36364 36365 36366 36367 36370 36374 36376 36379 36381 36382 36383 36384 36385 36387 36388 36389 36390 36392 36393 36395 36396 36398 36399
発見困難で危険性の高い平坦型病変(上記100名より抽出) ![]()
![]()
![]()
![]()
![]()
![]()
![]()
![]()
![]()
![]()
![]()