腺腫発見率 68  % (カルテ番号 36400〜36499の100名の方の検査結果で集計)
以下のカルテ番号の方に腺腫(Adenoma,Group3〜5)が見つかりました(集計法
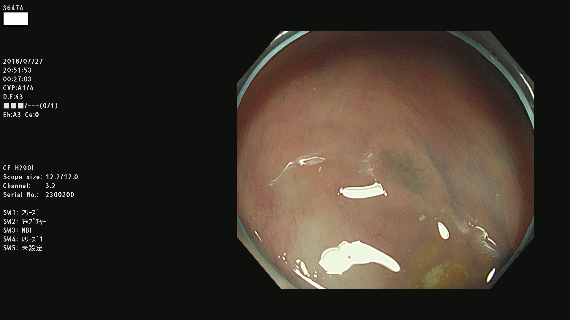
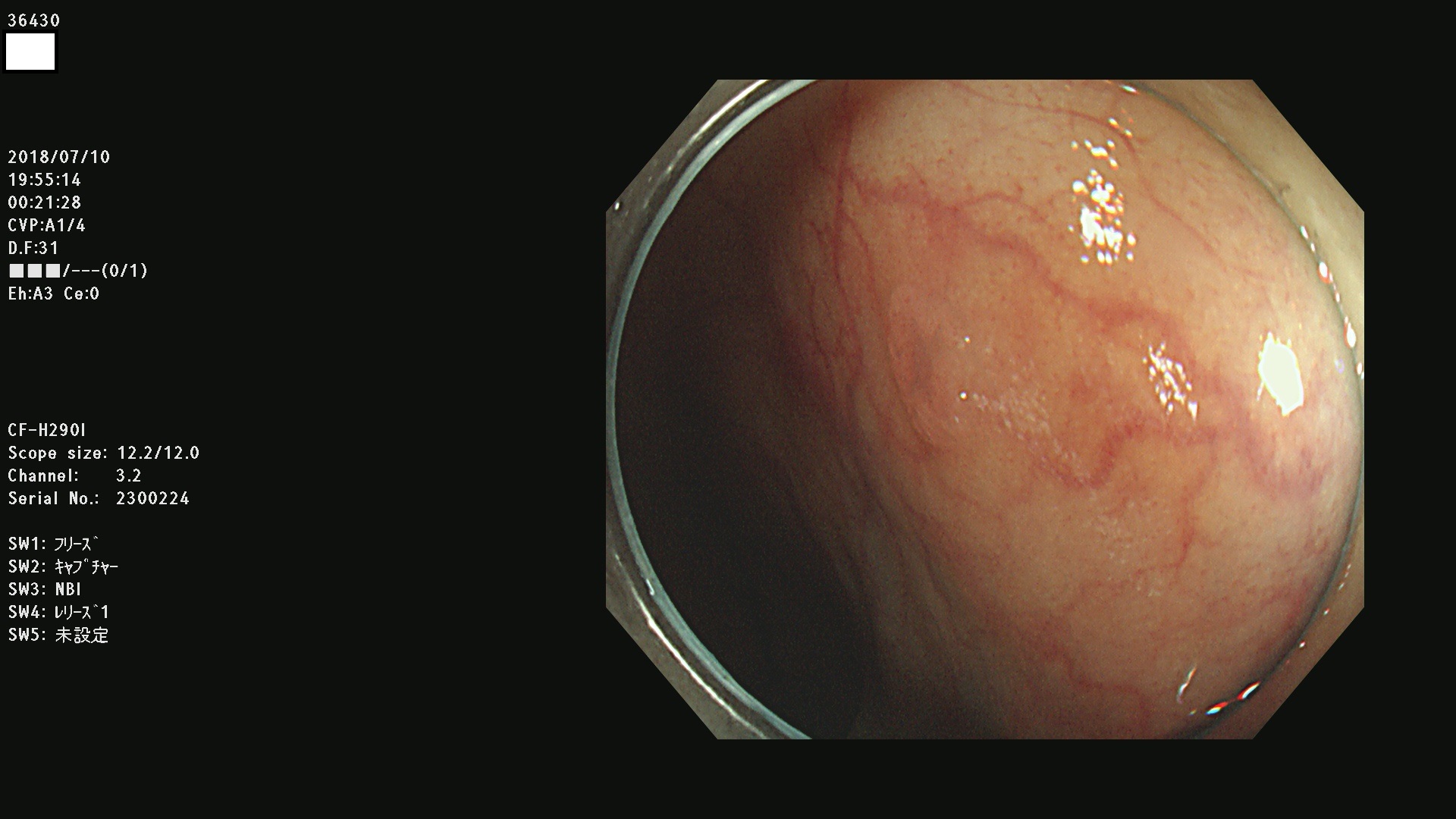
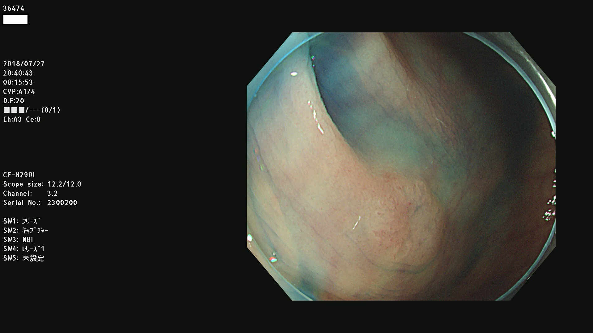
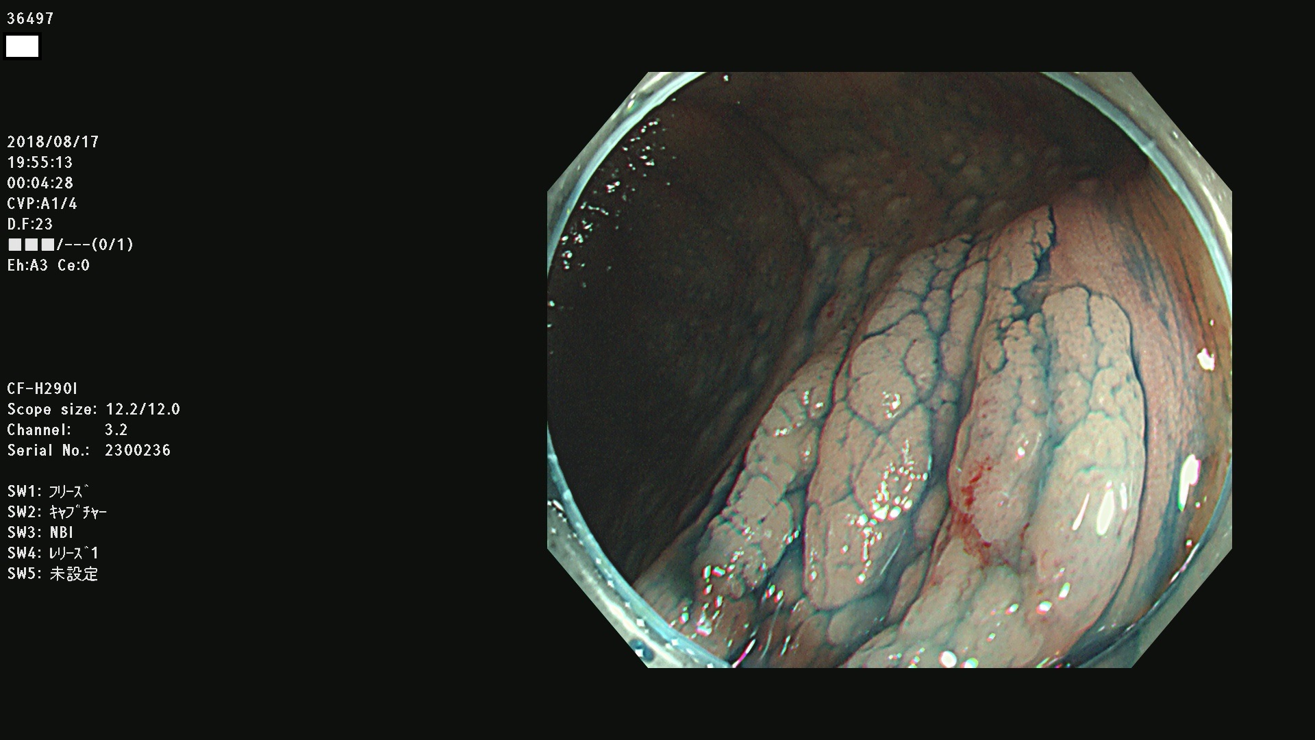
36400(SSAPのみ) 36402 36403 36404 36405 36406 36407 36408(SSAPのみ) 36412 36413 36414 36415 36416 36417 36418 36420 36422 36423 36424 36425 36426 36428 36429 36430 36431 36434 36435 36436 36437 36438 36440 36443 36447 36448 36449 36450 36452 36454 36458 36459 36460 36462(SSAPのみ) 36463 36464 36465 36466 36470 36471 36472 36473 36474 36475 36476 36478 36480 36481 36482 36484 36487 36488 36489 36490 36492 36494 36495 36496 36497 36498

発見困難で危険性の高い平坦型病変(上記100名より抽出)   
 
 
 
 
 
 
虫垂SSAP
 
 
 
 
 
 
 
 
 
 
 
 
 
 




大腸癌検診最新情報

大腸癌検診最新情報