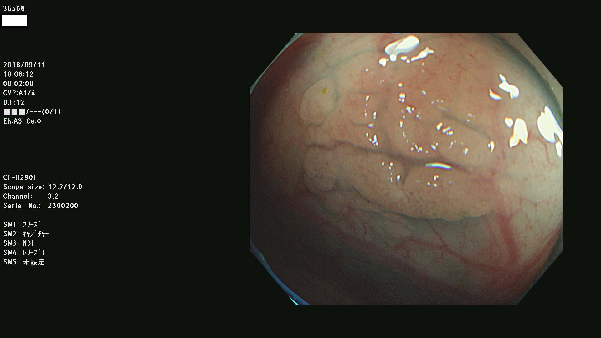
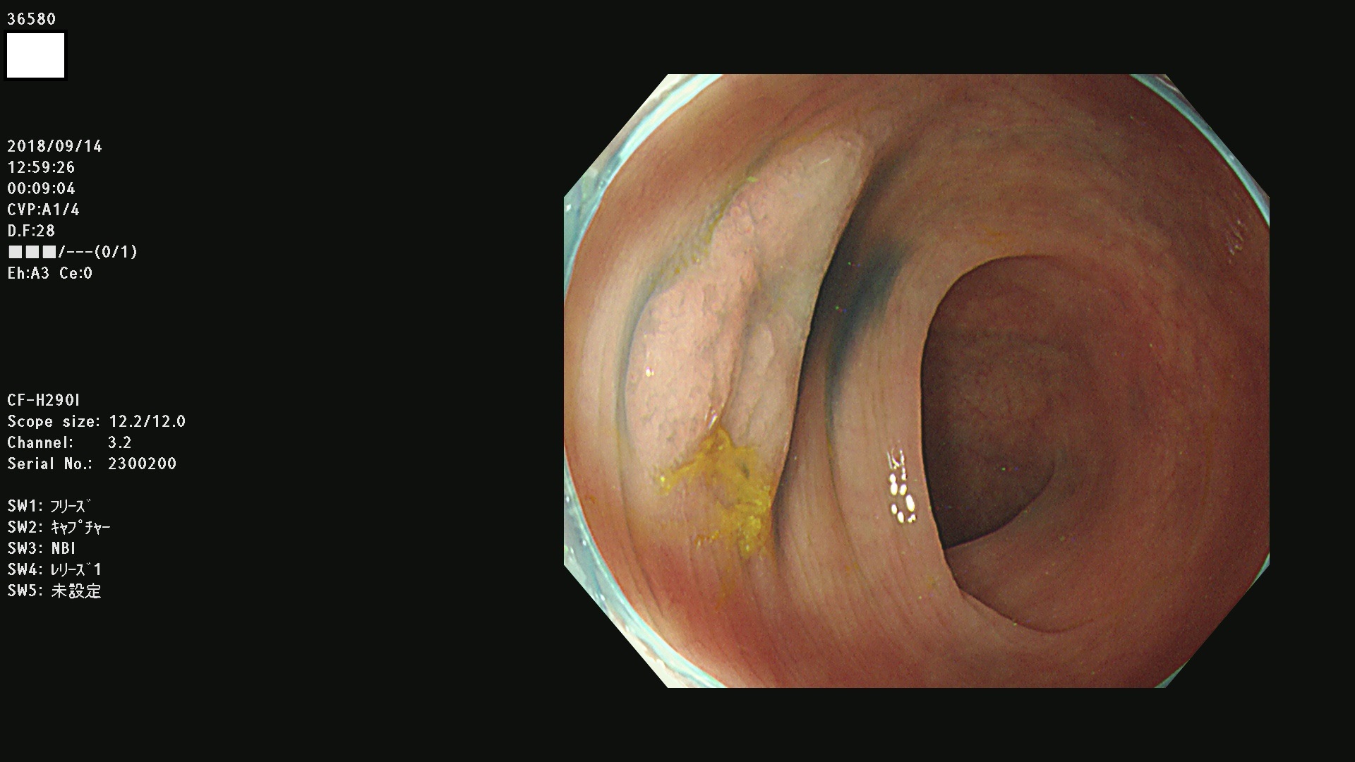
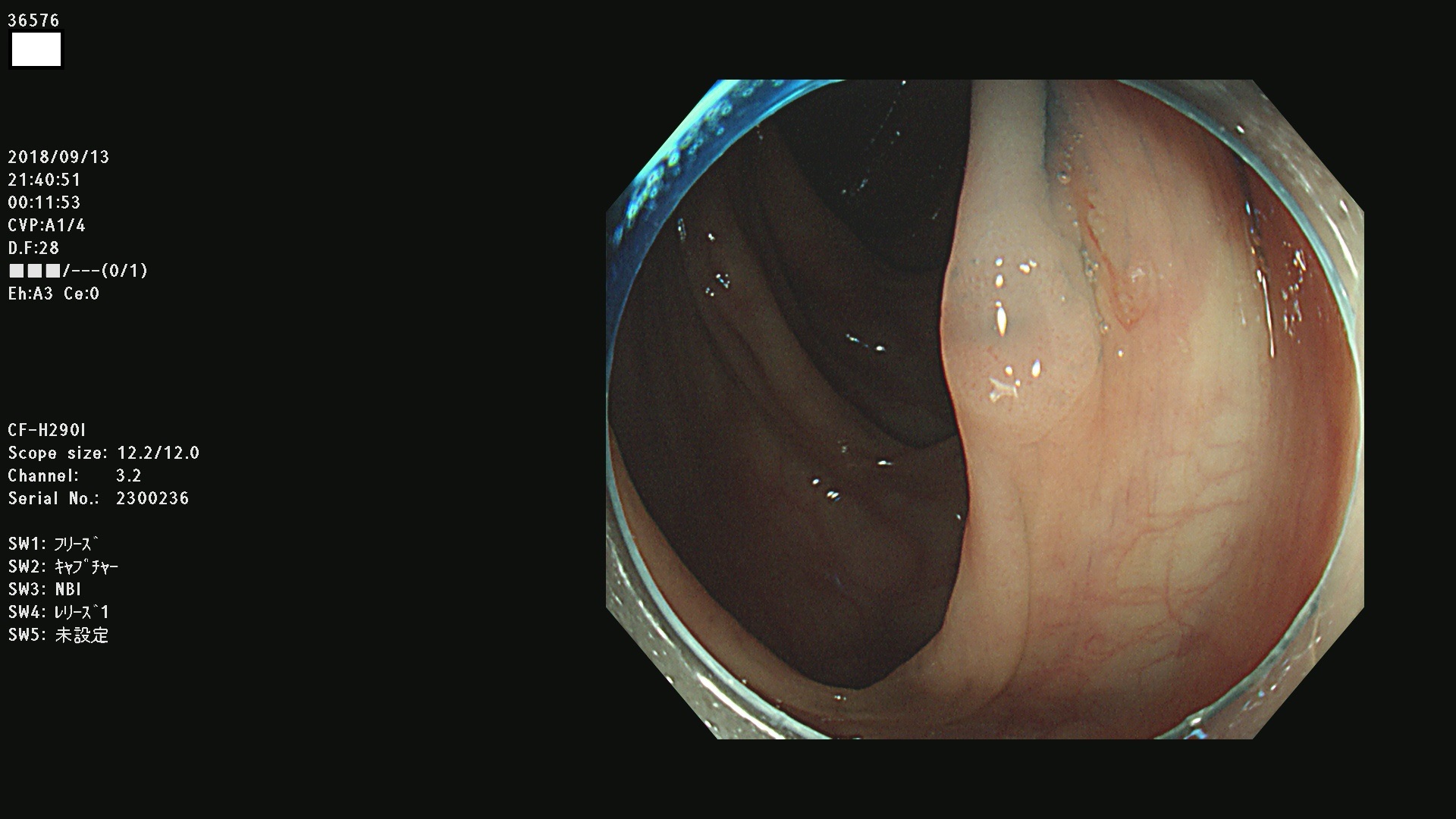
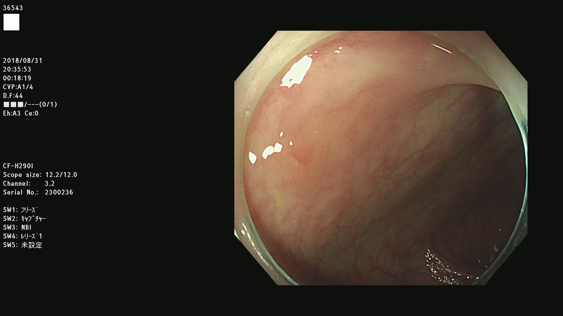
腺腫発見率 68  % (カルテ番号 36500〜36599の100名の方の検査結果で集計)
以下のカルテ番号の方に腺腫(Adenoma,Group3〜5)が見つかりました(集計法
36500 36503 36504 36505 36507(SSAPのみ) 36508 36509 36510 36511 36514 36515 36517 36518 36520 36522(SSAPのみ) 36523 36524 36526 36528 36530 36531 36532 36533 36534 36535 36536 36538 36541 36542 36543 36544 36545 36546 36548 36550 36551 36554 36555 36556 36558 36559 36560 36561 36564 36565 36567 36568 36570 36572 36573 36574 36575 36576 36577 36578 36579 36580 36582 36584 36586 36591 36592 36593 36594 36595 36596 36597 36598

発見困難で危険性の高い平坦型病変(上記100名より抽出)  
 
 
 
虫垂SSAP
 
 
 
 
 
 
 
虫垂SSAP
 
 
 
 
 
 
 
 
 
 




大腸癌検診最新情報

大腸癌検診最新情報