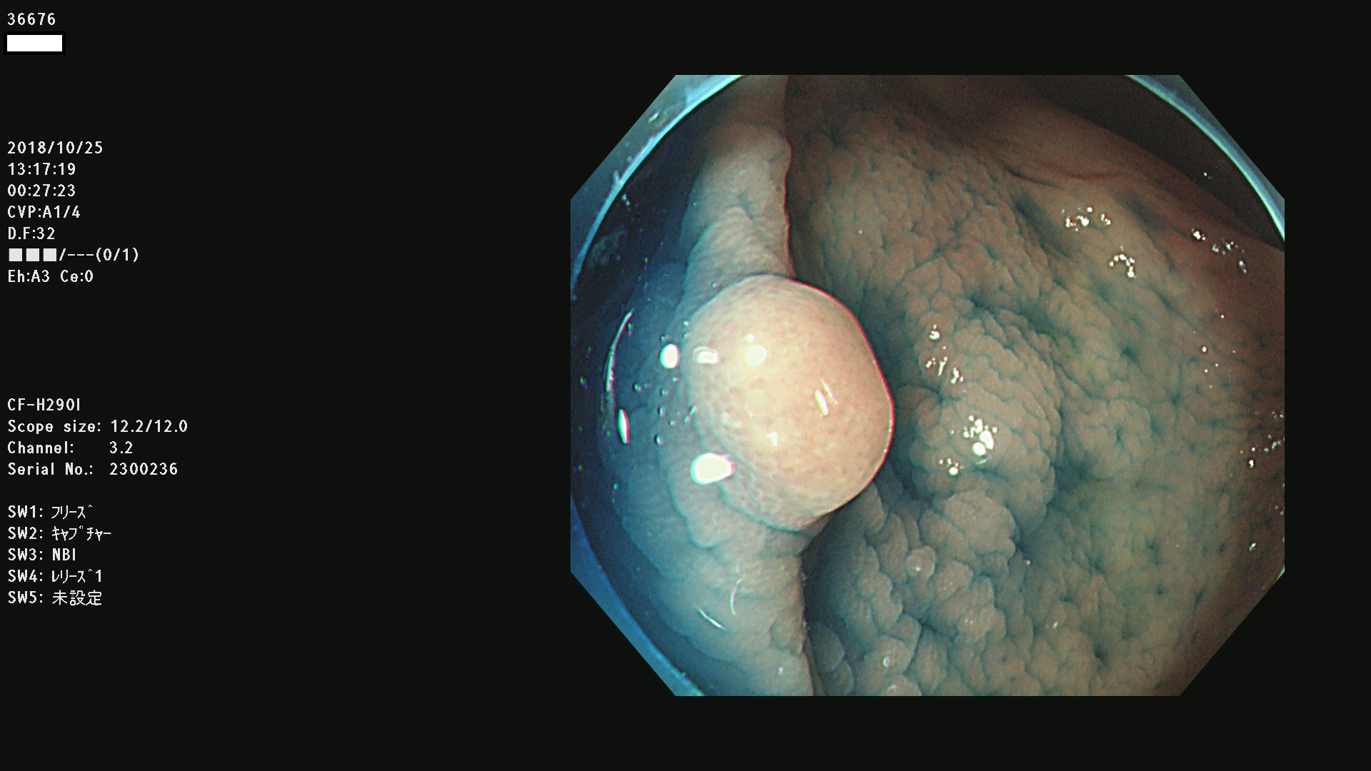
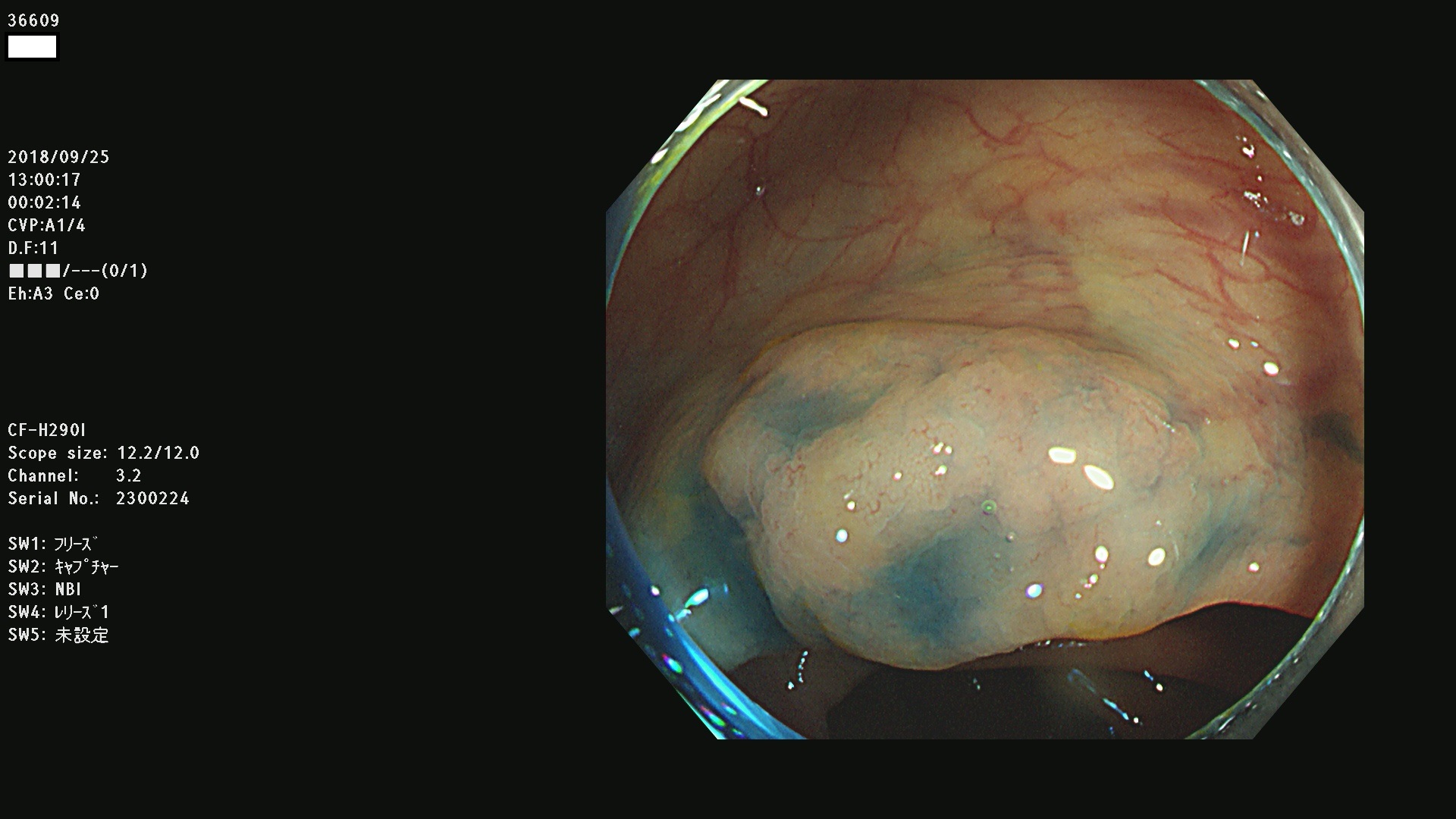
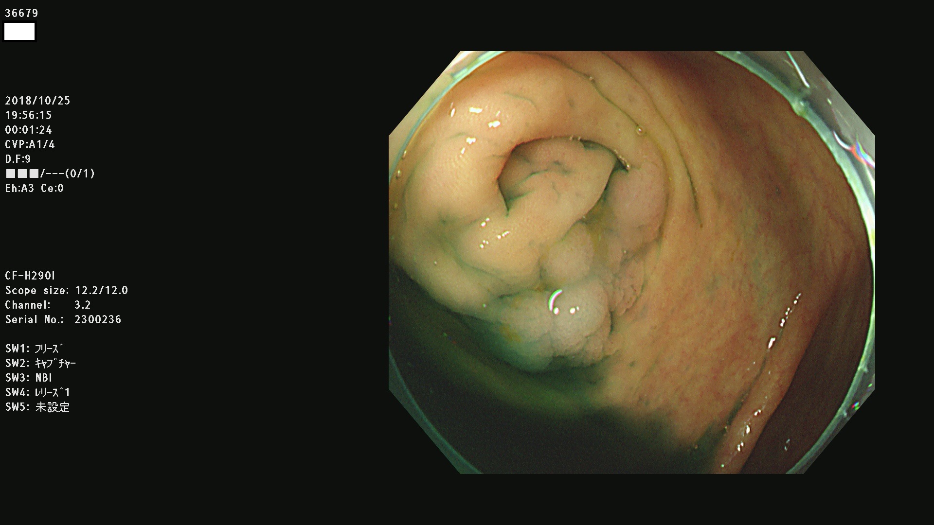
腺腫発見率 70  % (カルテ番号 36600〜36699の100名の方の検査結果で集計)
以下のカルテ番号の方に腺腫(Adenoma,Group3〜5)が見つかりました(集計法
36600 36601 36603 36605 36606 36608 36609 36610 36611 36612 36613 36615 36617 36620 36621 36624 36625 36626 36627 36628 36629 36631(SSAPのみ) 36632 36633 36634 36636(SSAPのみ) 36637(SSAPのみ) 36639 36640 36642 36643 36644 36646 36647 36648 36649(SSAPのみ) 36650(SSAPのみ) 36652 36653 36654 36655(SSAPのみ) 36656 36657 36658 36659 36660 36661(SSAPのみ) 36665 36668 36669 36672 36673 36676 36677 36678 36679 36681 36682 36683 36684 36685 36687(SSAPのみ) 36691 36692 36693 36694 36695 36696 36697 36699(SSAPのみ)

発見困難で危険性の高い平坦型病変(上記100名より抽出)  
 
 
 
 
 
 
 
 
 
 
 
 
 
 
 
カルチノイド
 
カルチノイド
 
 
 
 
 
 
 




大腸癌検診最新情報

大腸癌検診最新情報