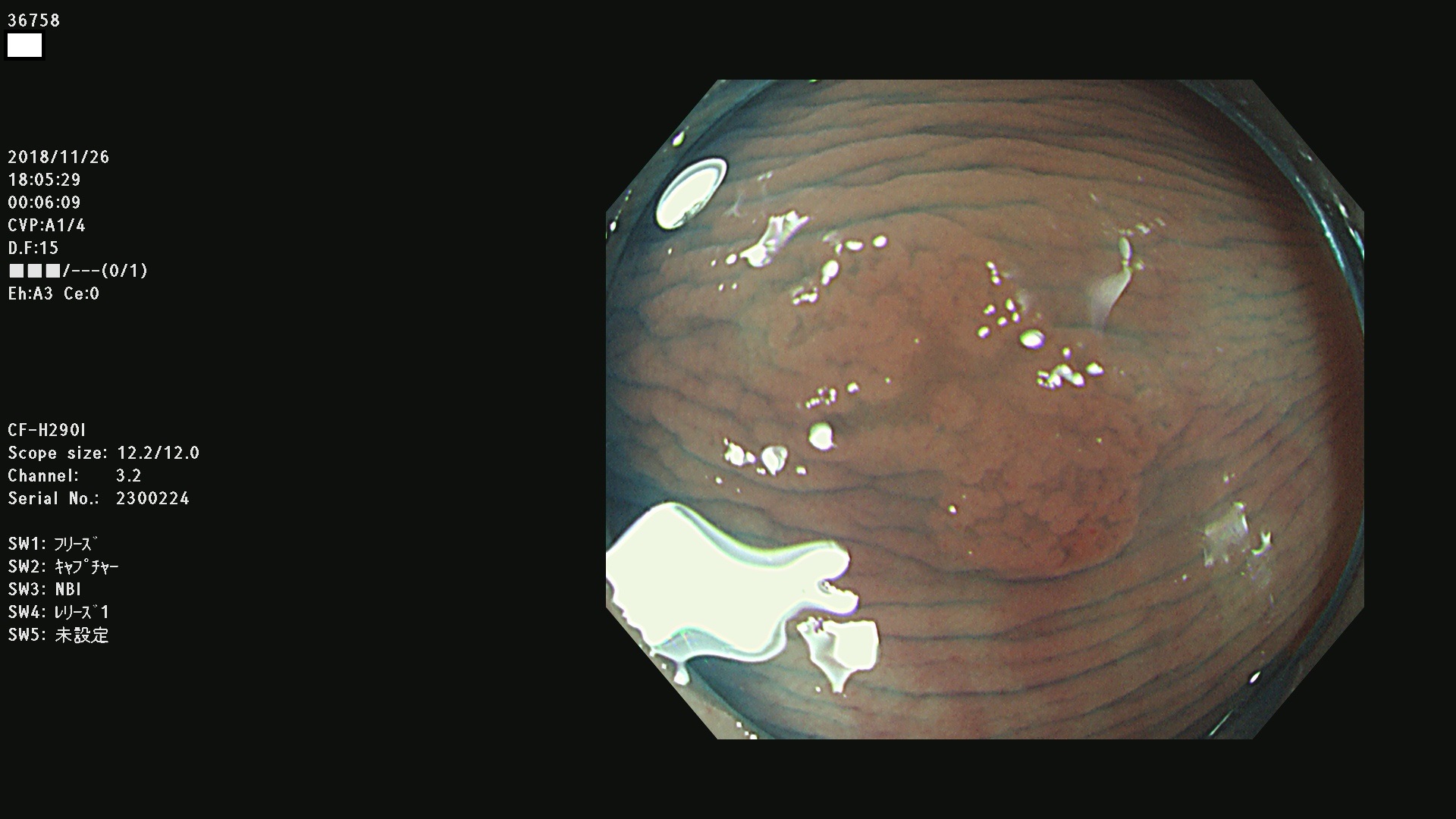
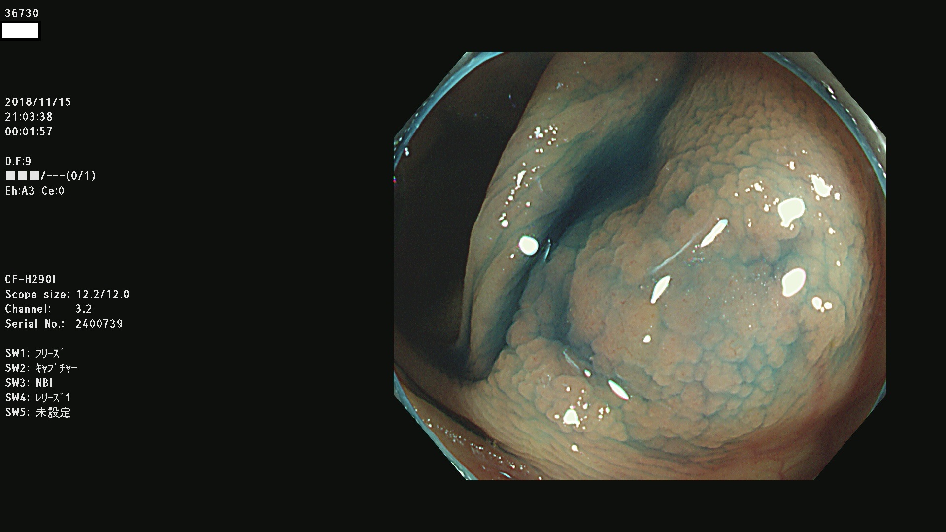
腺腫発見率 61  % (カルテ番号 36700〜36799の100名の方の検査結果で集計)
以下のカルテ番号の方に腺腫(Adenoma,Group3〜5)が見つかりました(集計法
36700 36701 36702 36704 36705 36707 36708 36710 36712(SSAPのみ) 36714 36715 36716 36717 36718 36721 36723 36724 36730 36731 36732 36734 36735 36736 36738 36739 36742 36744 36745 36746 36749 36752(SSAPのみ) 36754 36756 36758 36759 36760 36731 36732 36734 36737 36738 36739 36771(SSAPのみ) 36772 36773 36774 36775 36776 36777 36780 36781 36783 36785 36786 36788 36790 36792 36794 36797 36798

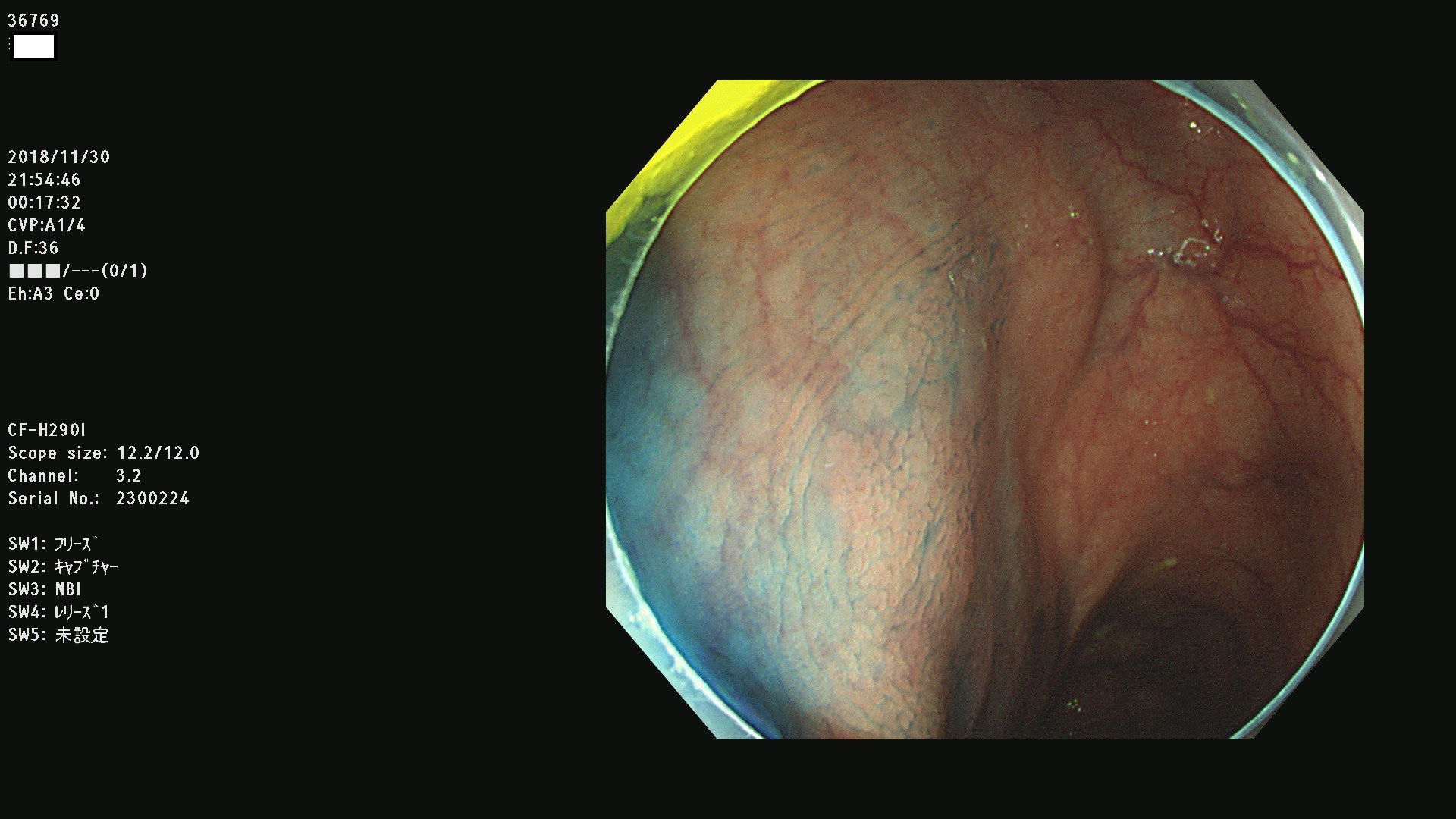
発見困難で危険性の高い平坦型病変(上記100名より抽出)  
 
 
 
 
 
 
 
 
 
 
 
 
 
 
 
 
 
 
 
 
 




大腸癌検診最新情報

大腸癌検診最新情報