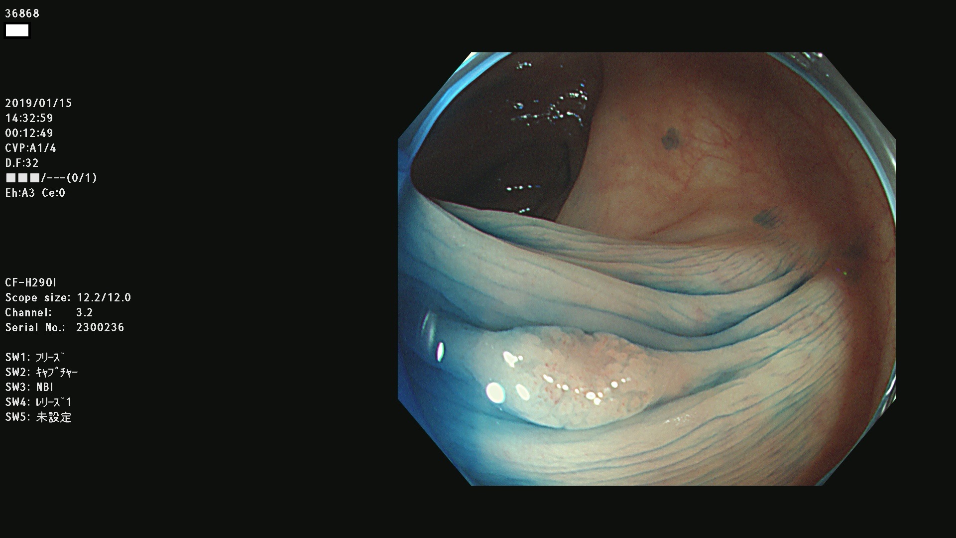
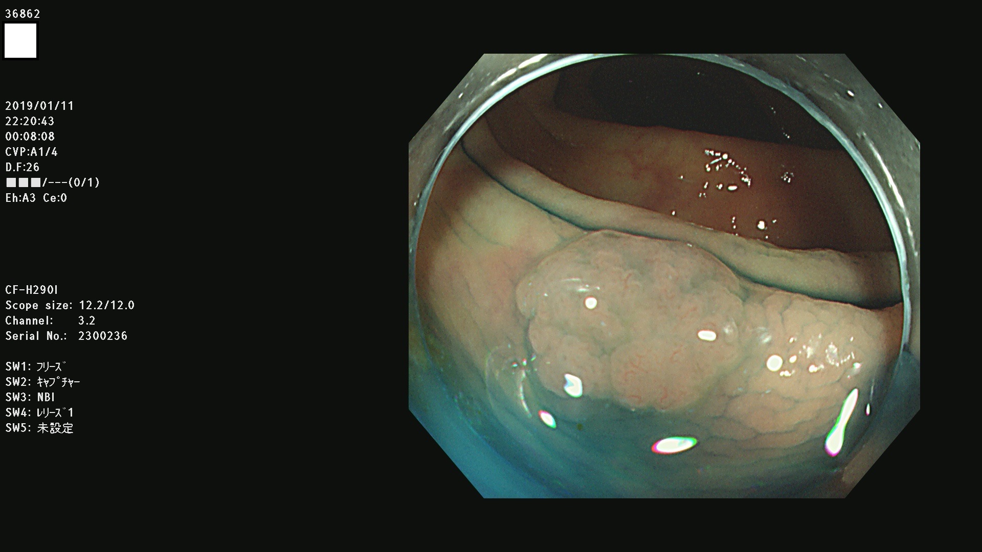
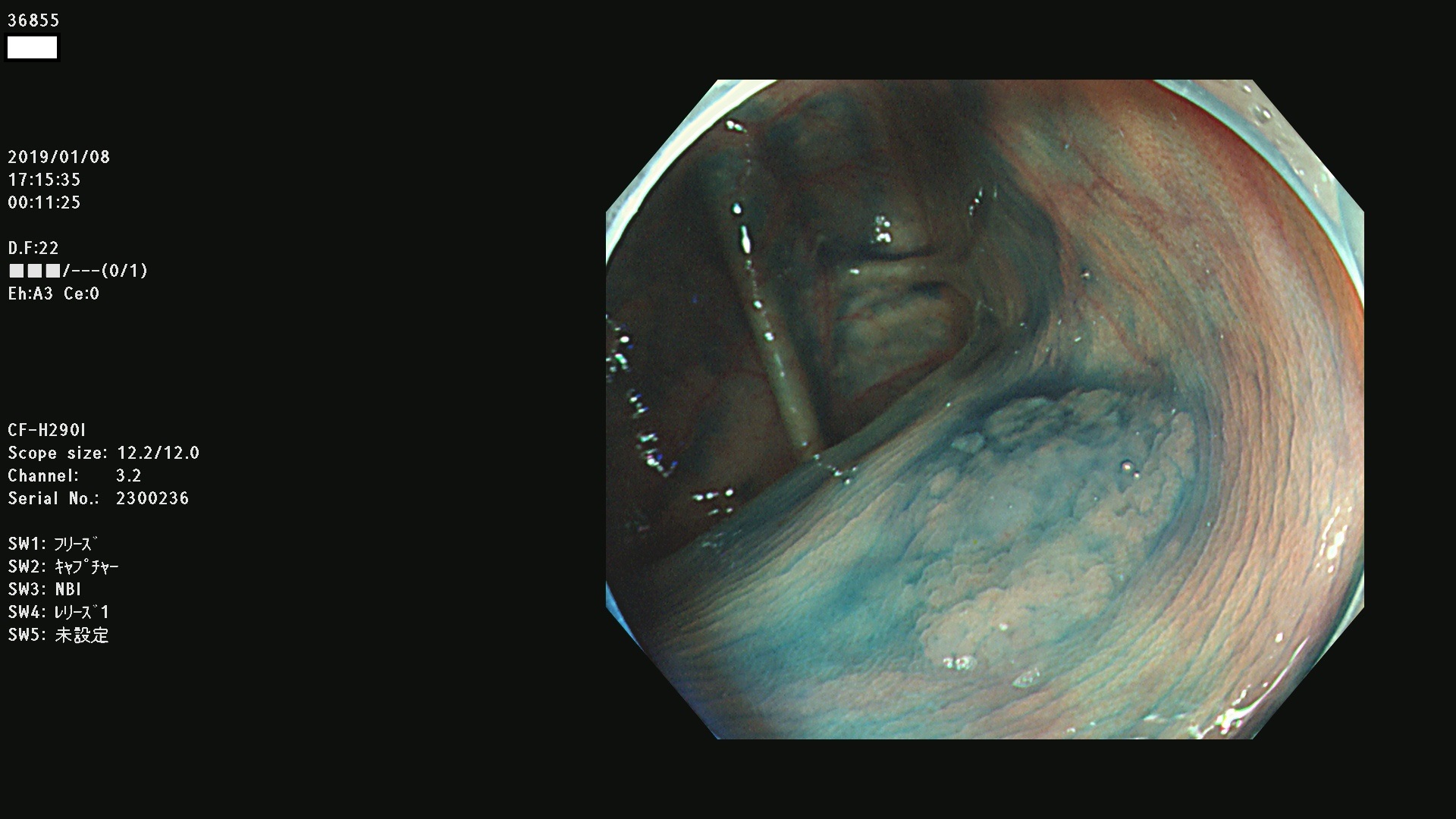
腺腫発見率 73  % (カルテ番号 36800〜36899の100名の方の検査結果で集計)
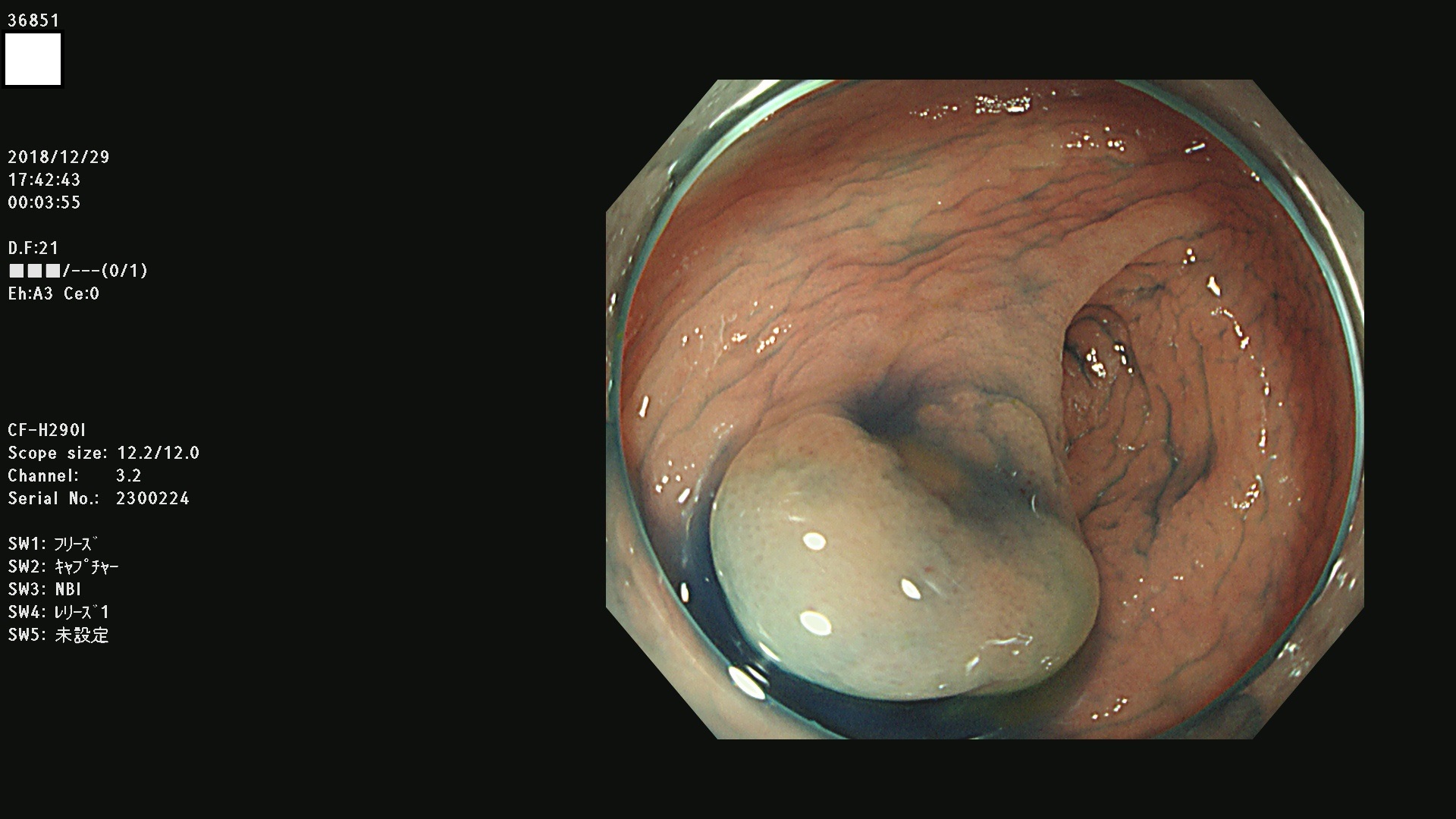
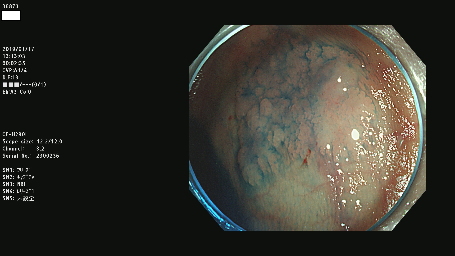
以下のカルテ番号の方に腺腫(Adenoma,Group3〜5)が見つかりました(集計法
36804 36806 36807 36808 36809 36810 36811 36813 36815 36816 36817 36818 36820 36821 36822 36824 36825 36826 36828 36829 36830 36831 36832 36833 36834 36835 36837 36840 36841 36842 36845 36846 36848 36849 36851 36852 36853 36854 36855 36857 36859 36860 36861 36862(SSAPのみ) 36863 36864 36866 36868 36869 36870 36873 36875 36877 36878 36879 36881 36882 36883 36884 36885 36886 36887 36888 36889 36891 36892 36893 36894 36895 36896 36897 36898 36899

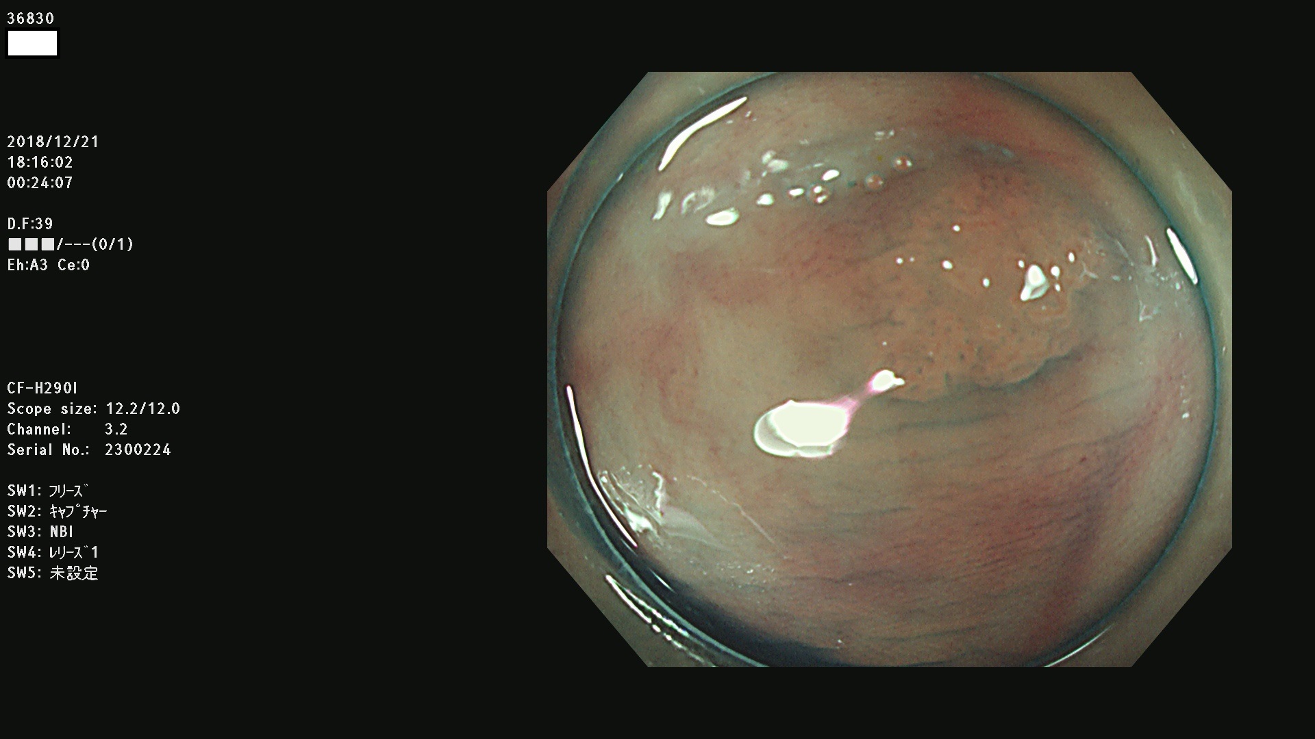
発見困難で危険性の高い平坦型病変(上記100名より抽出)  
 
 
 
 
 
 
 
 
 
 
 
 
 
 
 
 
 
 
 
 
 




大腸癌検診最新情報

大腸癌検診最新情報