腺腫発見率 67 % (カルテ番号 36900〜36999の100名の方の検査結果で集計)大腸癌検診最新情報
以下のカルテ番号の方に腺腫(Adenoma,Group3〜5)が見つかりました(集計法)
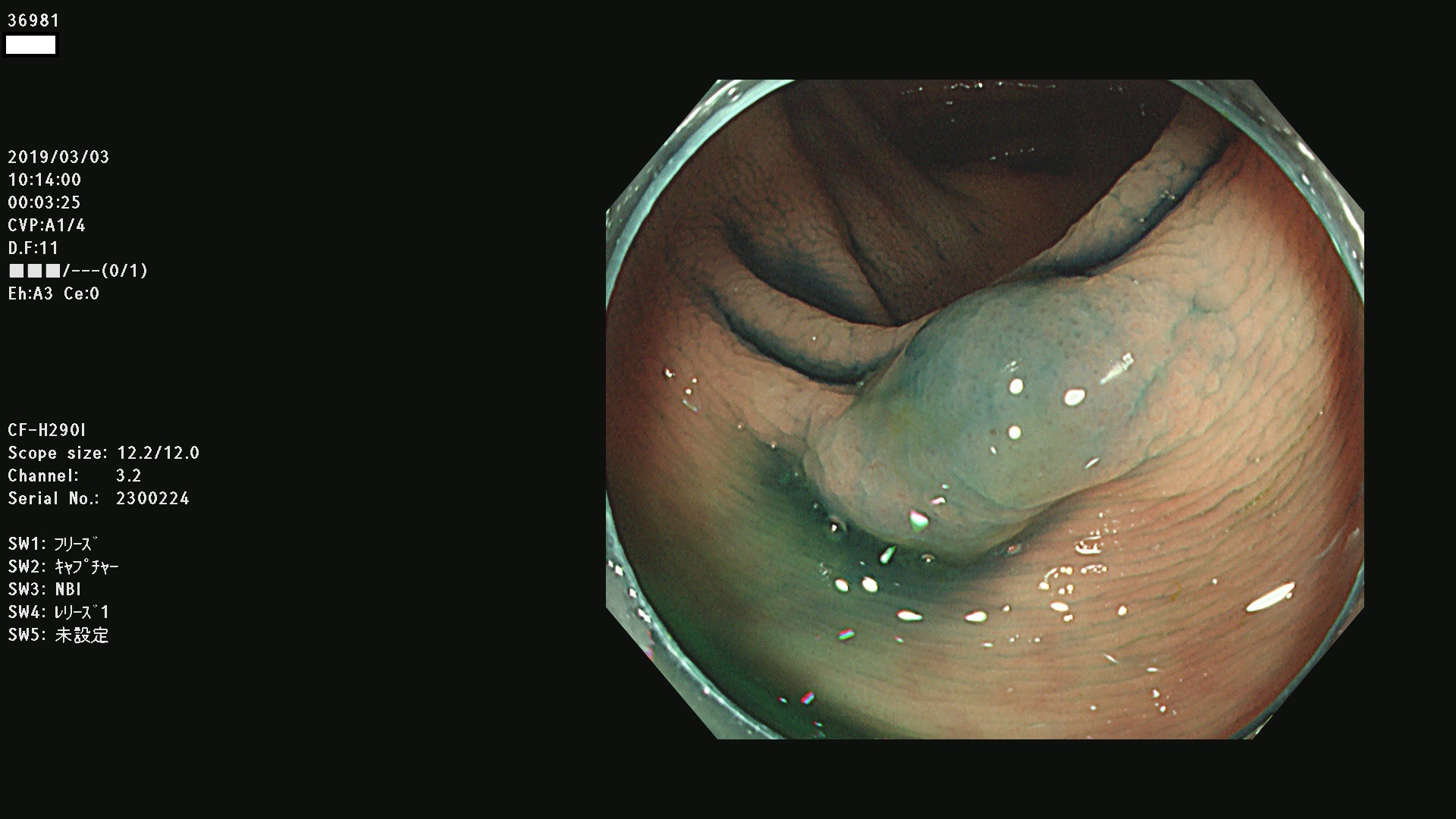
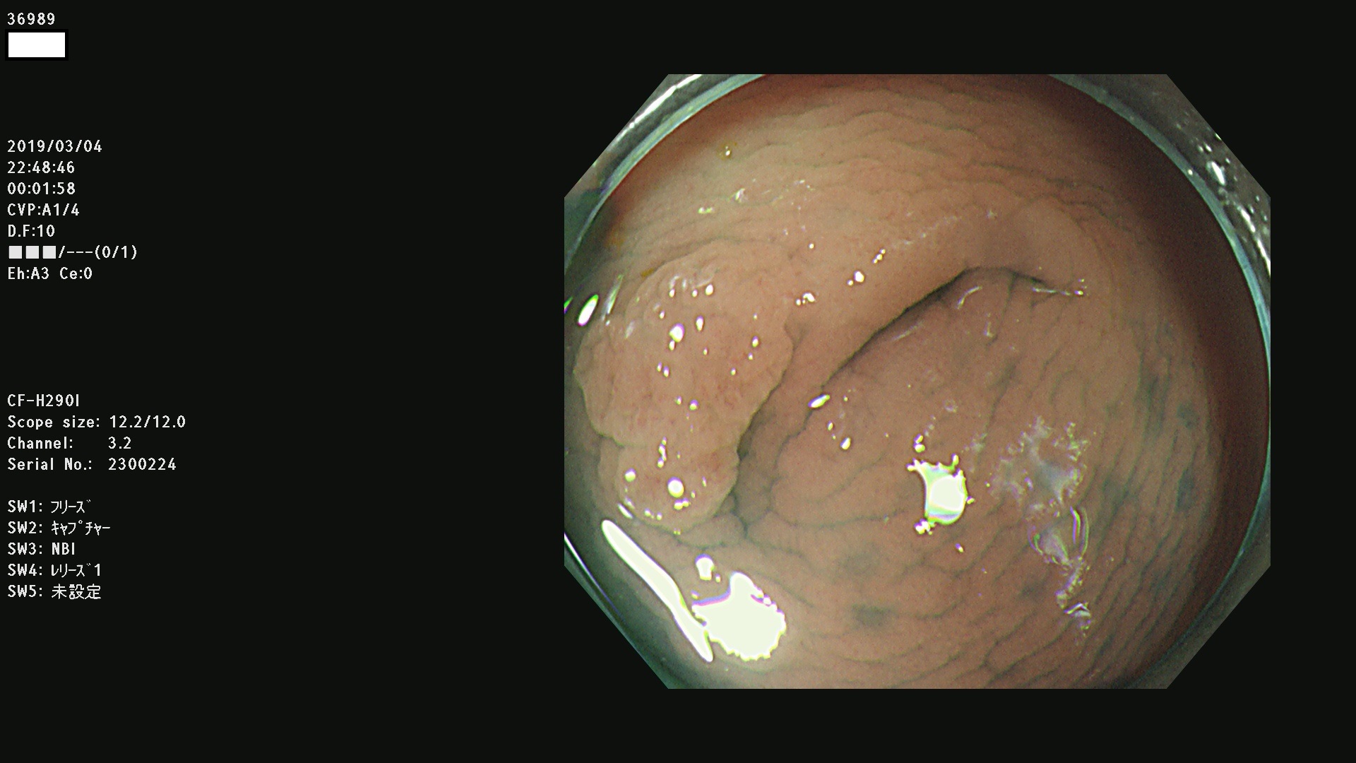
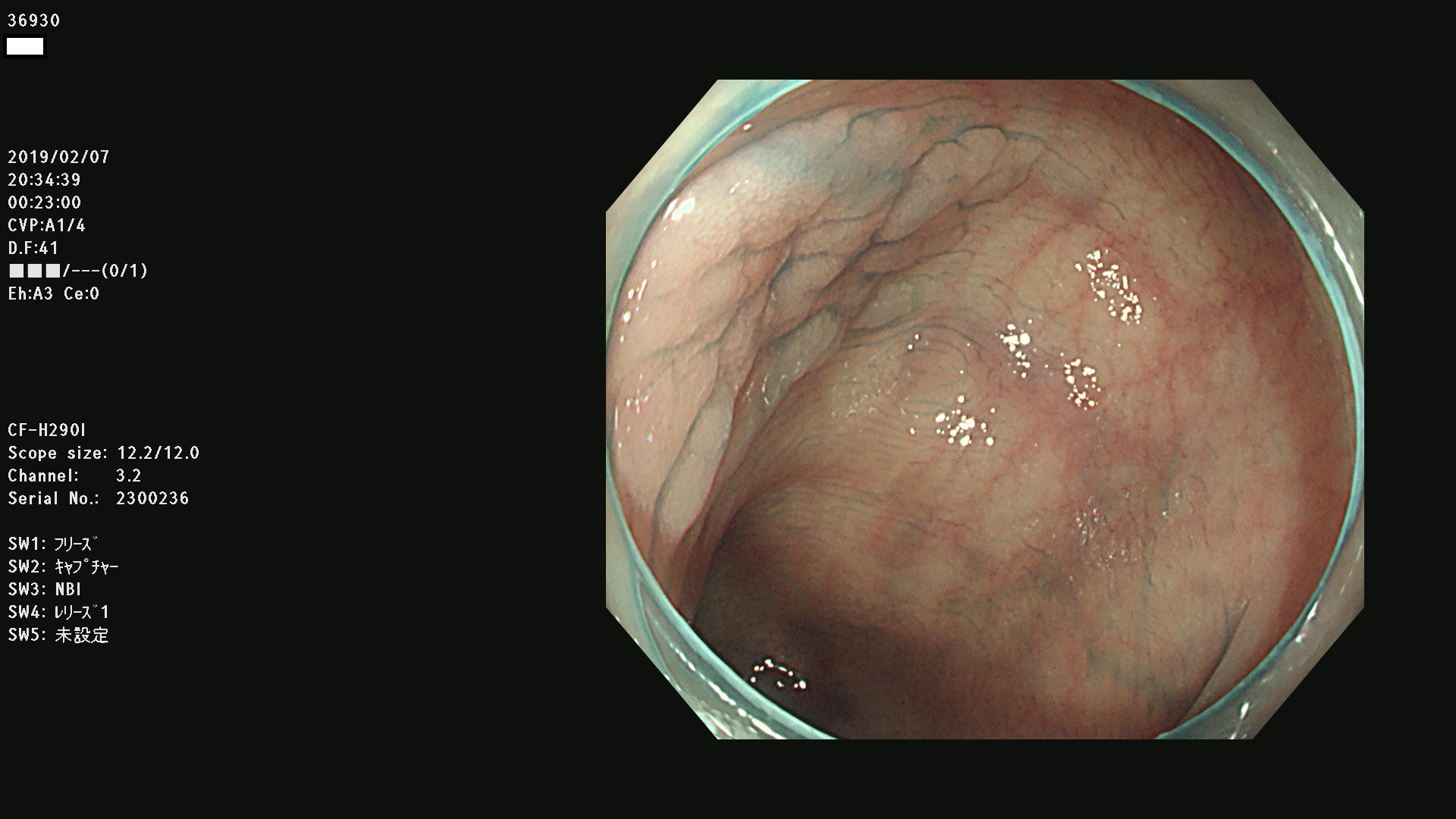
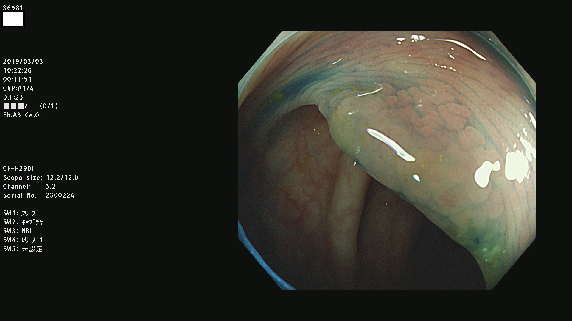
36900 36901 36903 36904 36905 36908 36909 36910 36911 36913 36914 36915 36916 36917 36918 36919 36920 36923 36924 36925 36927 36928 36930 36931(SSAPのみ) 36933 36935 36936 36937 36941 36943 36944 36945 36946 36949 36951 36953 36954 36955 36957 36963 36965 36966 36967 36968 36969 36970 36974 36975 36976 36977 36978 36979 36980 36981 36983 36984 36986 36987 36988 36989 36990 36991 36993 36994 36996 36998 36999
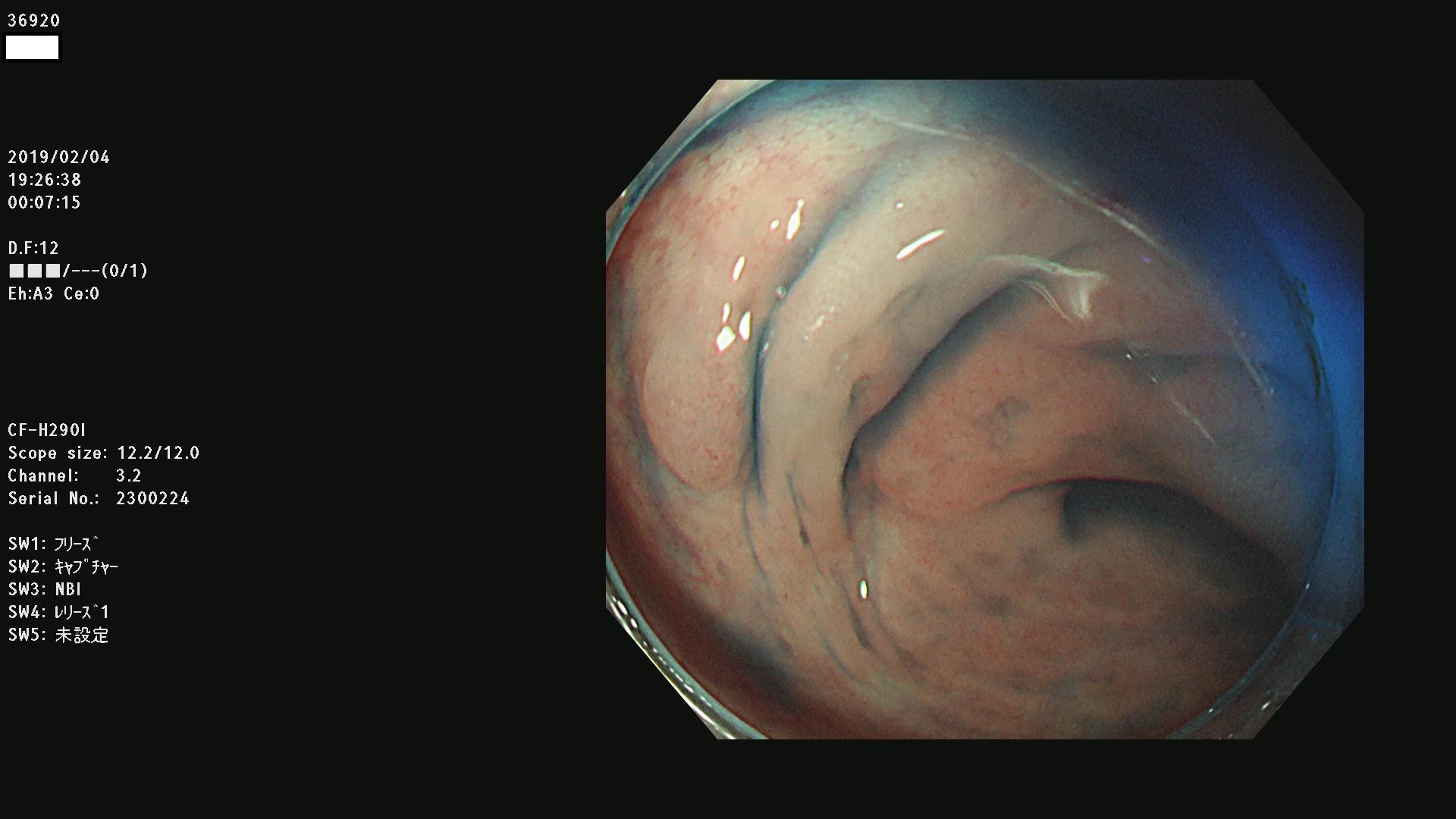
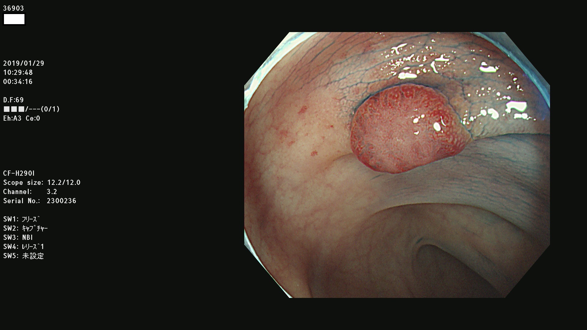
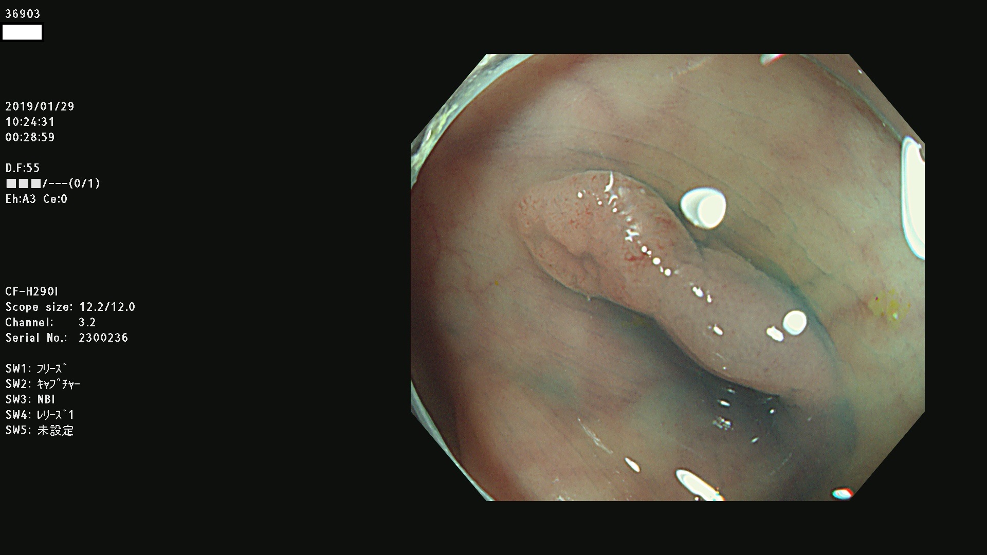
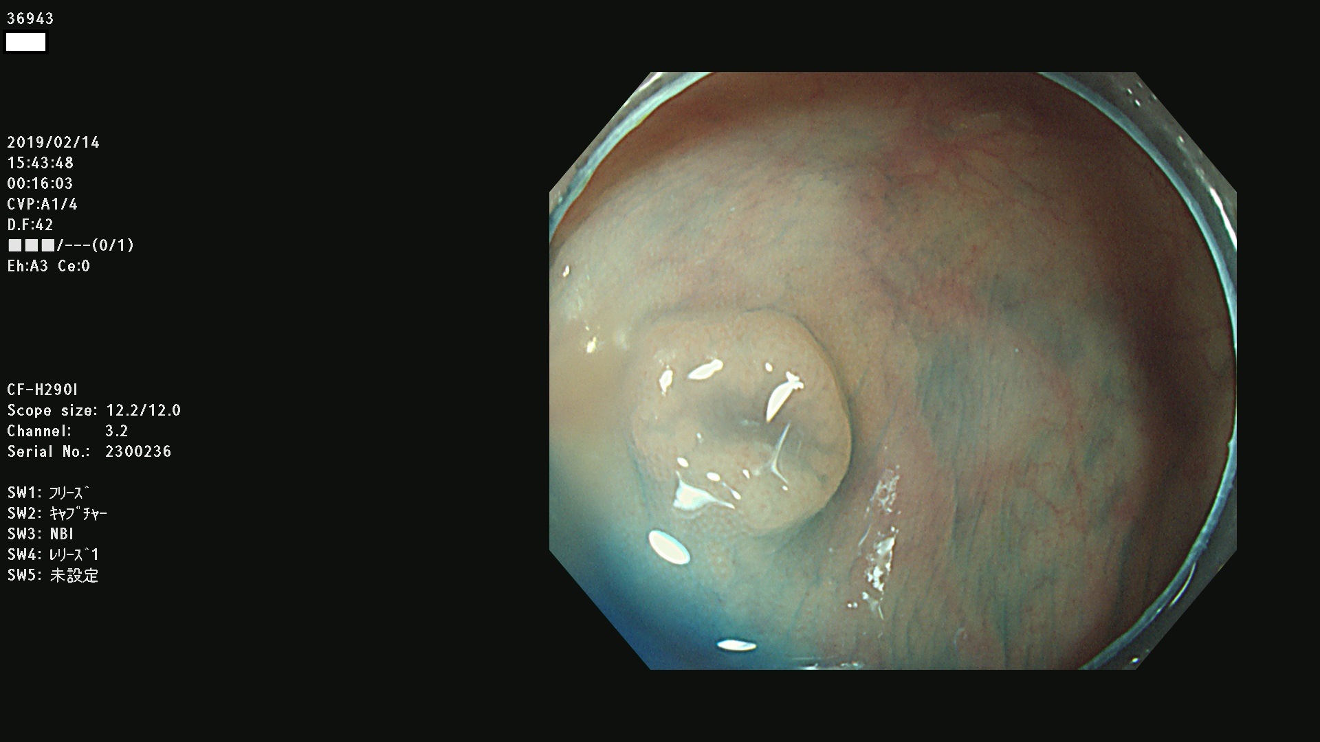
発見困難で危険性の高い平坦型病変(上記100名より抽出) ![]()
![]()
![]()
![]()
![]()
![]()
![]()
![]()
![]()
![]()
![]()