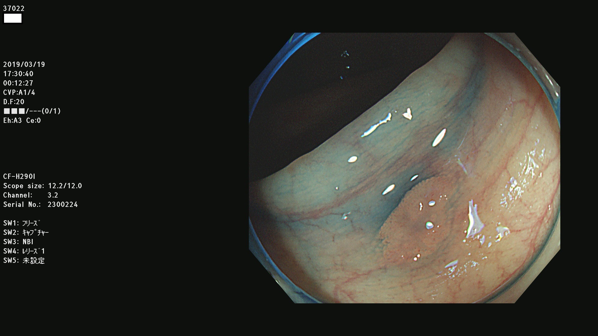
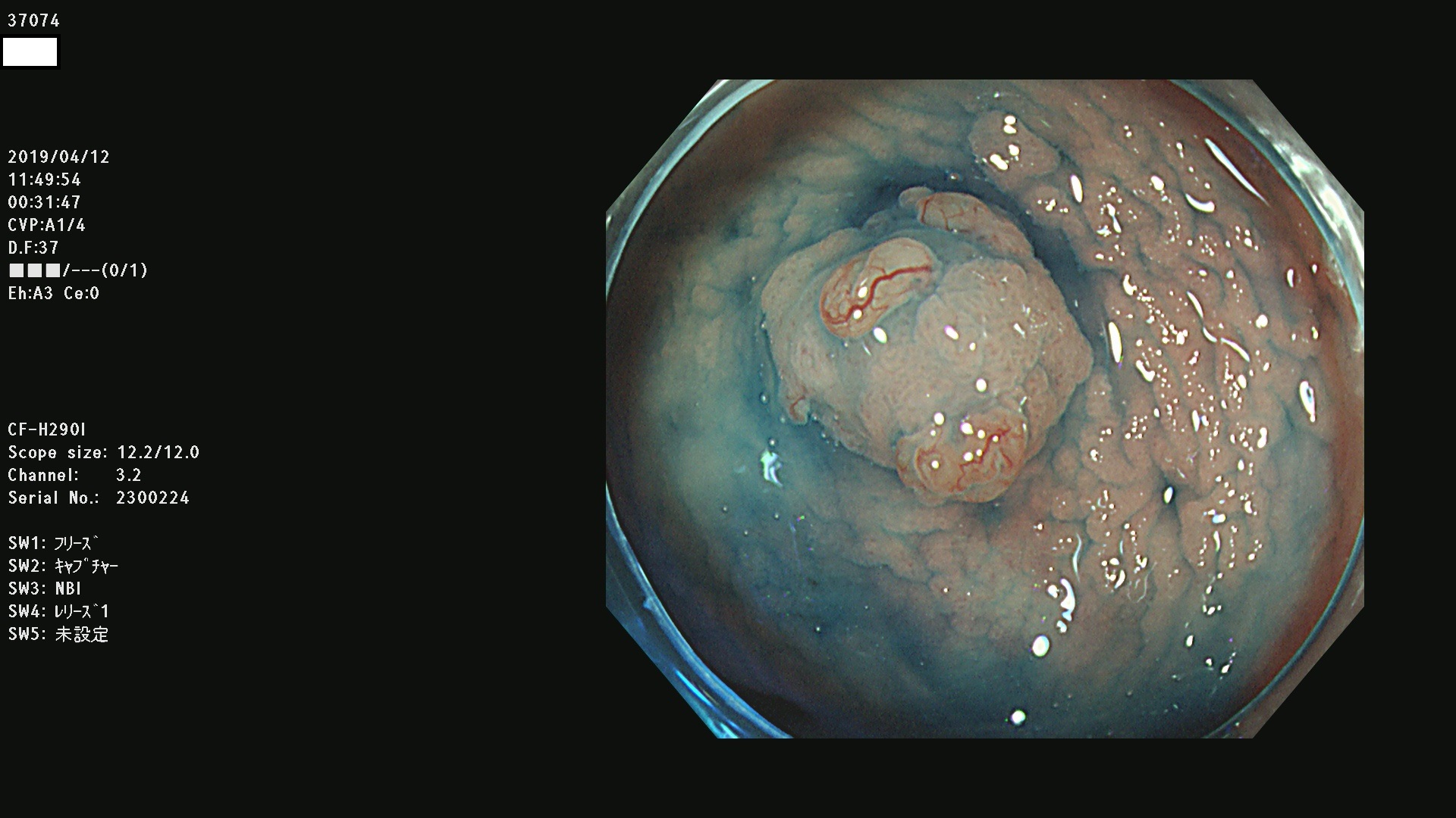
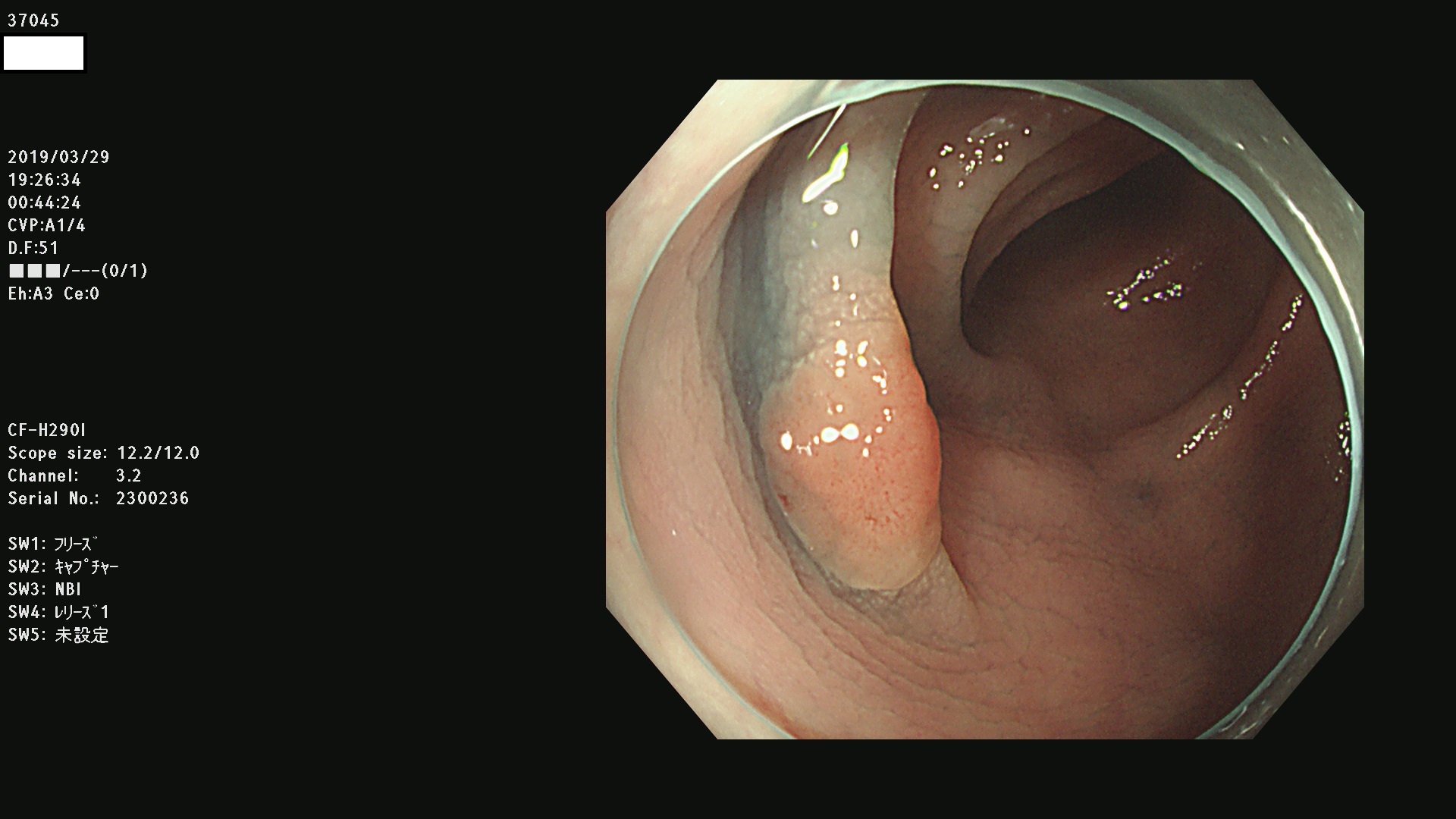
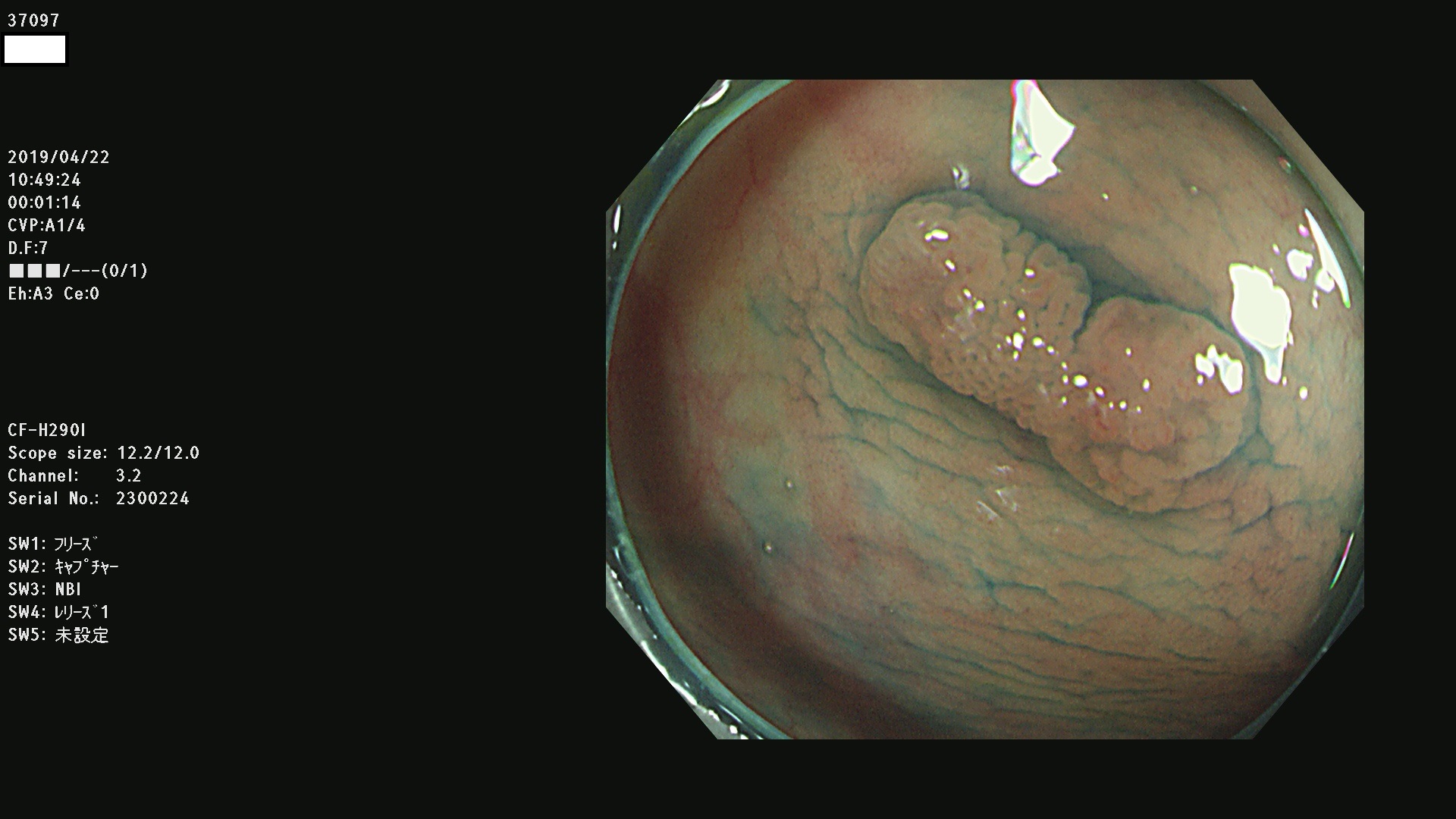
腺腫発見率 68  % (カルテ番号 37000〜37099の100名の方の検査結果で集計)
以下のカルテ番号の方に腺腫(Adenoma,Group3〜5)が見つかりました(集計法
37000 37002 37004 37005 37006(SSAPのみ) 37007 37009 37013 37014 37015 37017(SSAPのみ) 37019 37020 37021 37022 37025 37026 37027 37028 37029 37031 37032 37033 37034 37035 37036 37037 37038 37041 37042 37043 37044 37045 37047 37051 37052 37053(SSAPのみ) 37055 37056 37058 37060 37061 37062 37063 37067 37072 37073 37074 37076 37077 37078 37079 37080 37081 37083 37084 37085(SSAPのみ) 37086 37087 37088 37089 37092 37093 37094 37095 37097 37098 3709

発見困難で危険性の高い平坦型病変(上記100名より抽出)  
 
 
 
 
 
 
 
 
 
 
 
 
 
 
 
 
 
 
 
 
 




大腸癌検診最新情報

大腸癌検診最新情報