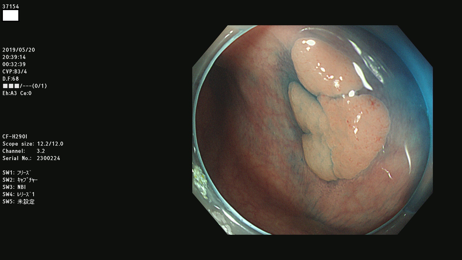
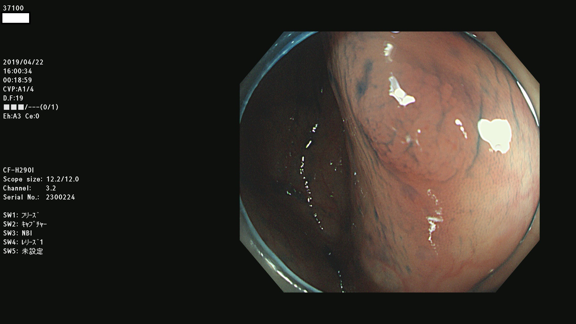
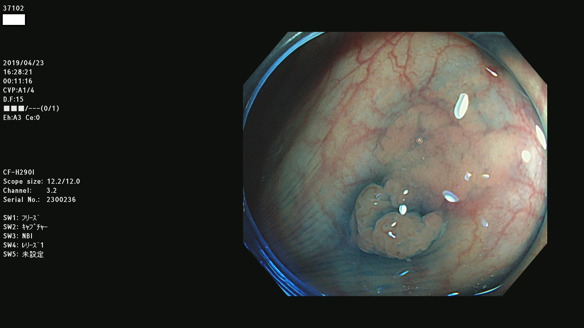
腺腫発見率 67  % (カルテ番号 37100〜37199の100名の方の検査結果で集計)
以下のカルテ番号の方に腺腫(Adenoma,Group3〜5)が見つかりました(集計法
37100 37101 37102 37104 37106 37108 37110 37111 37112 37113 37115 37118(SSAPのみ) 37120 37122 37123 37124 37127(SSAPのみ) 37128(SSAPのみ) 37131 37132 37133 37134 37135 37139 37141 37142 37143 37144(SSAPのみ) 37145 37147(SSAPのみ) 37148 37149 37150 37153 37154 37157 37159 37161 37162 37163 37164 37165 37166 37167 37168 37169 37170 37171 37172 37173 37175(SSAPのみ) 37176 37177 37178 37180(SSAPのみ) 37181 37184 37185 37186 37187 37188 37189 37190 37192 37194 37197 37198

発見困難で危険性の高い平坦型病変(上記100名より抽出)  
 
 
 
 
 
 
 
 
 
 
 
 
 
 
 
 
 
 
 
 
 




大腸癌検診最新情報

大腸癌検診最新情報