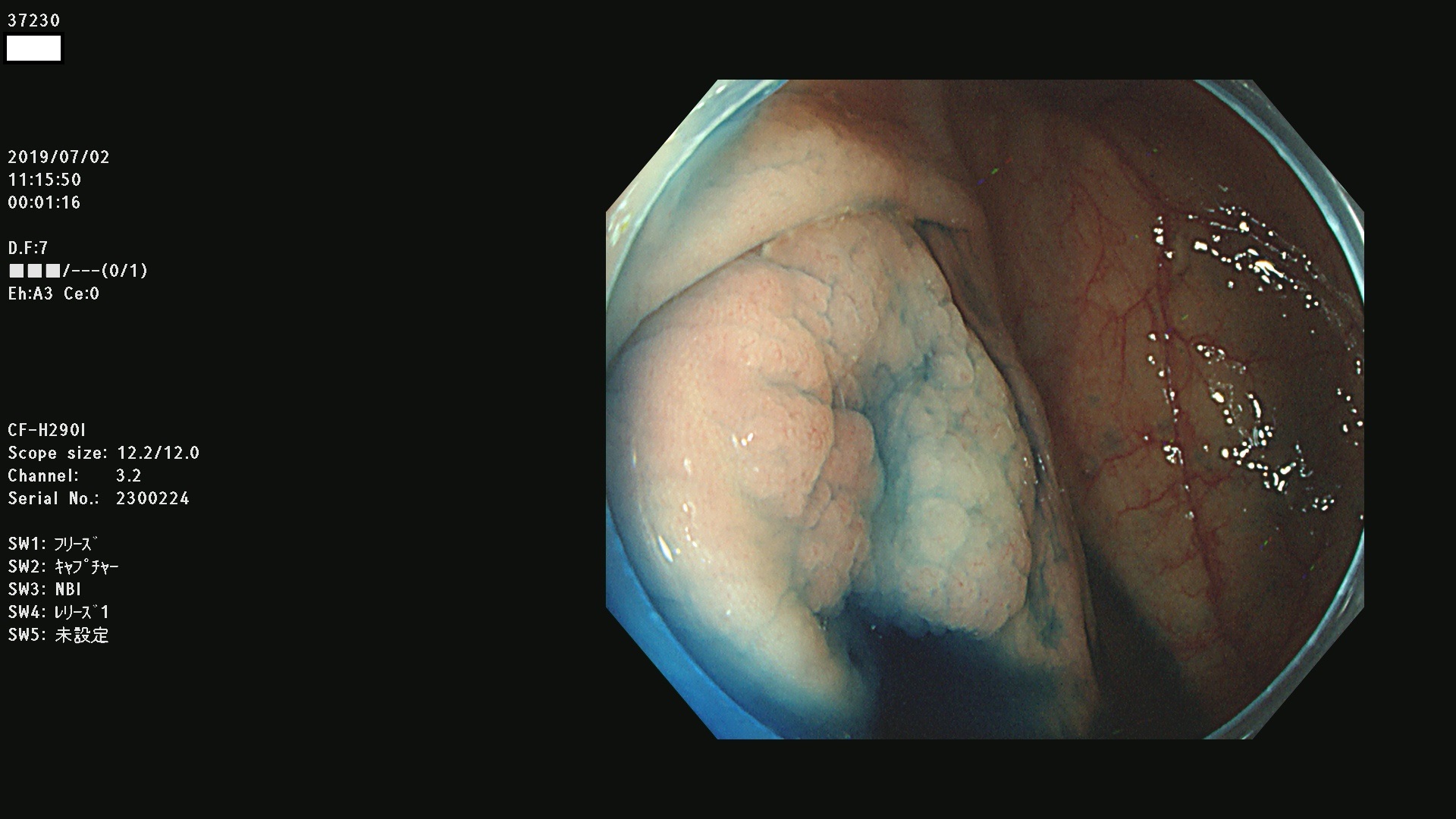
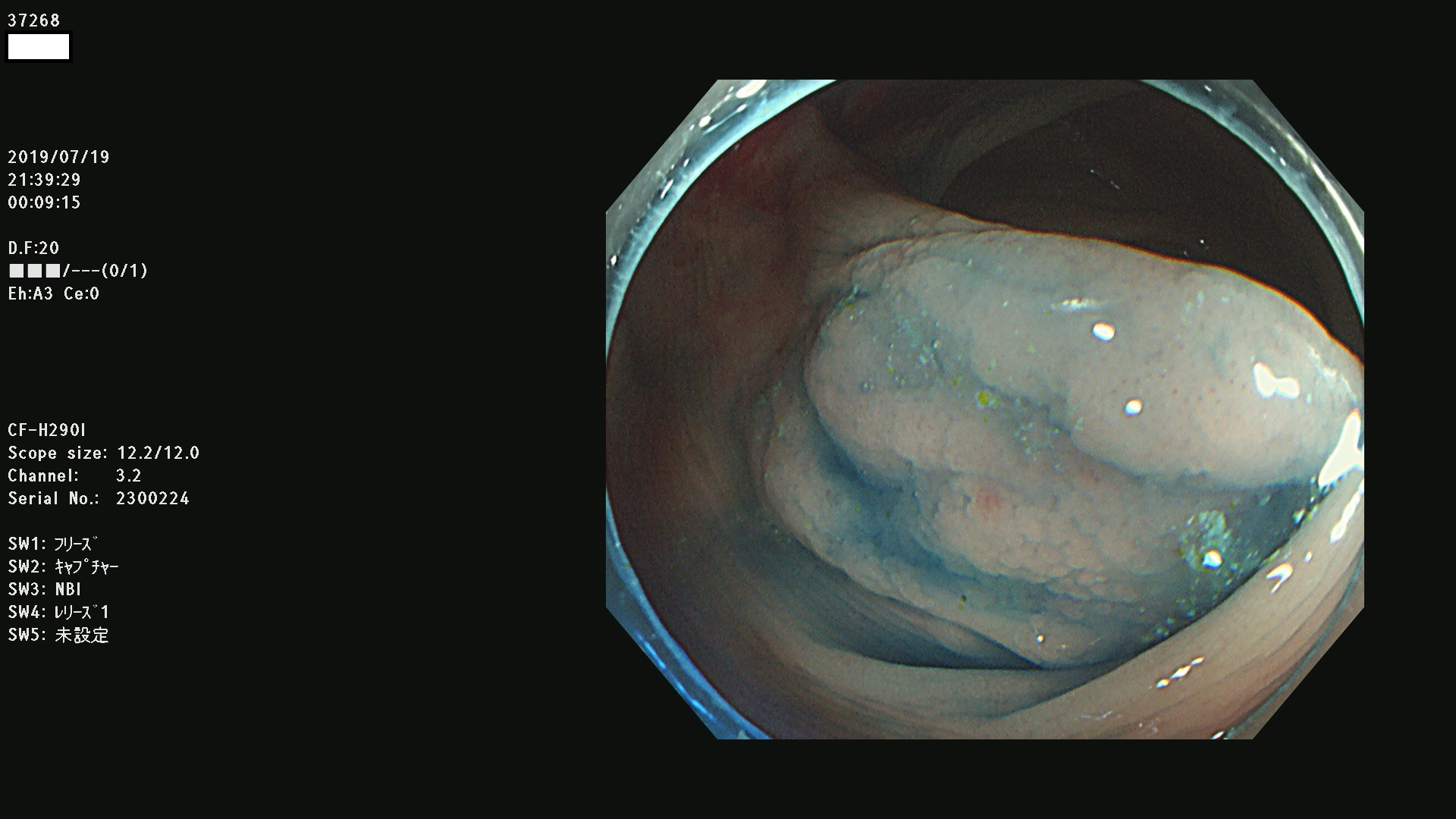
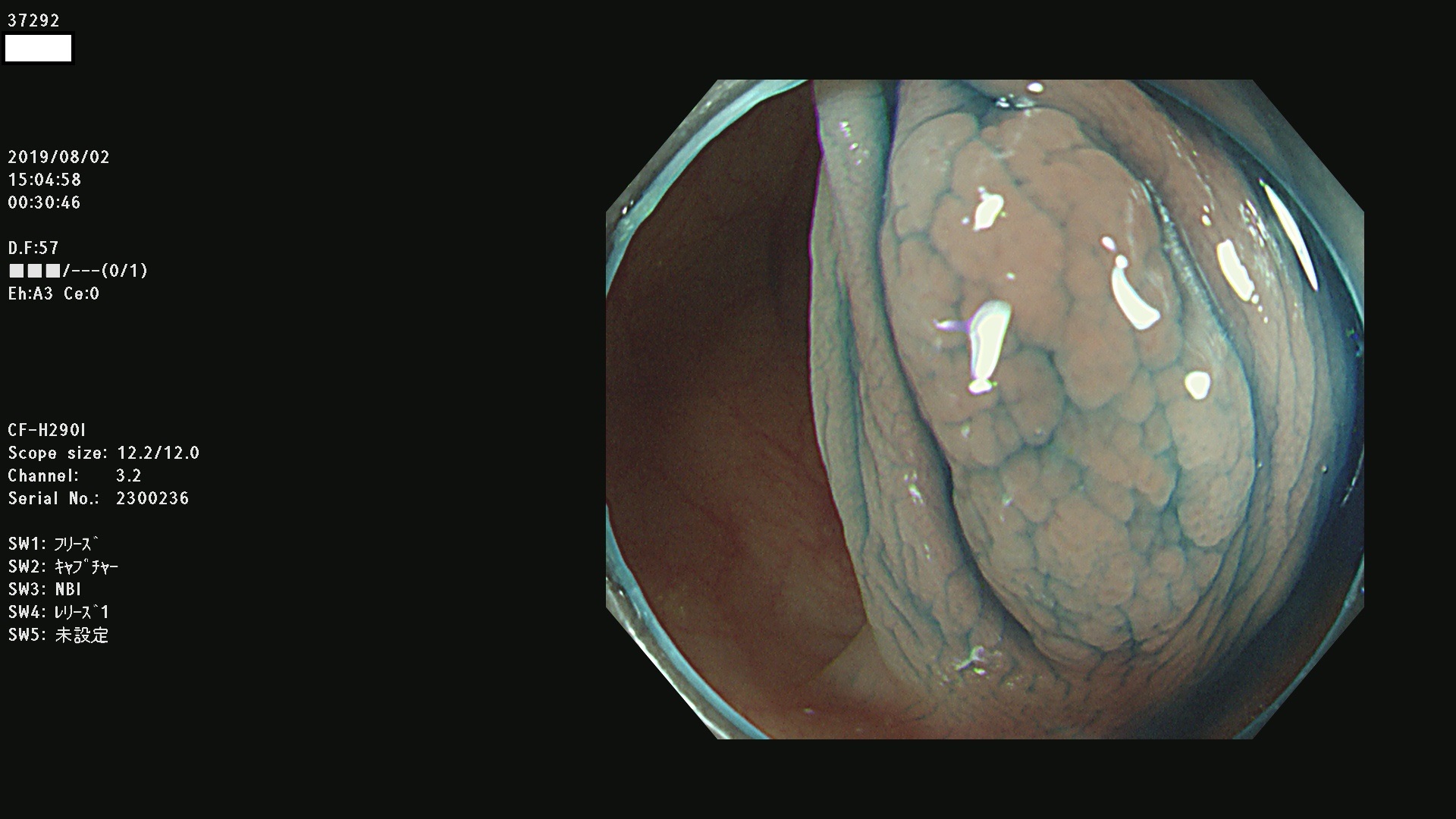
腺腫発見率 74  % (カルテ番号 37200〜37299の100名の方の検査結果で集計)
以下のカルテ番号の方に腺腫(Adenoma,Group3〜5)が見つかりました(集計法
37200 37203 37204 37207 37208 37209 37210 37211 37212 37213 37214 37215 37216 37217 37220 37221 37222 37224 37225 37228 37229 37230 37232 37233 37234 37235 37236 37238 37241 37242 37243 37244 37245(SSAPのみ) 37247 37249 37250 37251 37252(SSAPのみ) 37254 37256 37257 37258 37259 37260(SSAPのみ) 37261(SSAPのみ) 37262 37263 37264 37265 37266 37267 37268(SSAPのみ) 37269 37271 37273 37274 37276 37277 37278 37279 37280 37281 37282 37284(SSAPのみ) 37285 37286 37288 37289 37290 37292 37293 37295 37296 37297(SSAPのみ)

発見困難で危険性の高い平坦型病変(上記100名より抽出) 
 
 
 
 
 
 
 
 
 
 
 
 
 
 
 
 
 
 
 
 
 




大腸癌検診最新情報

大腸癌検診最新情報