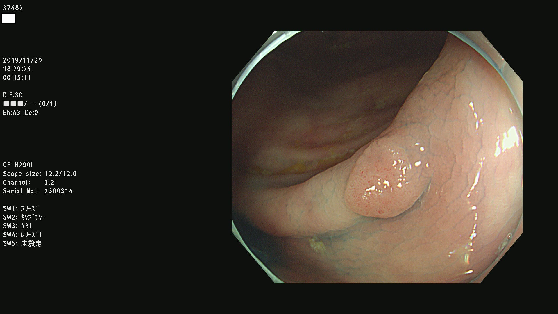
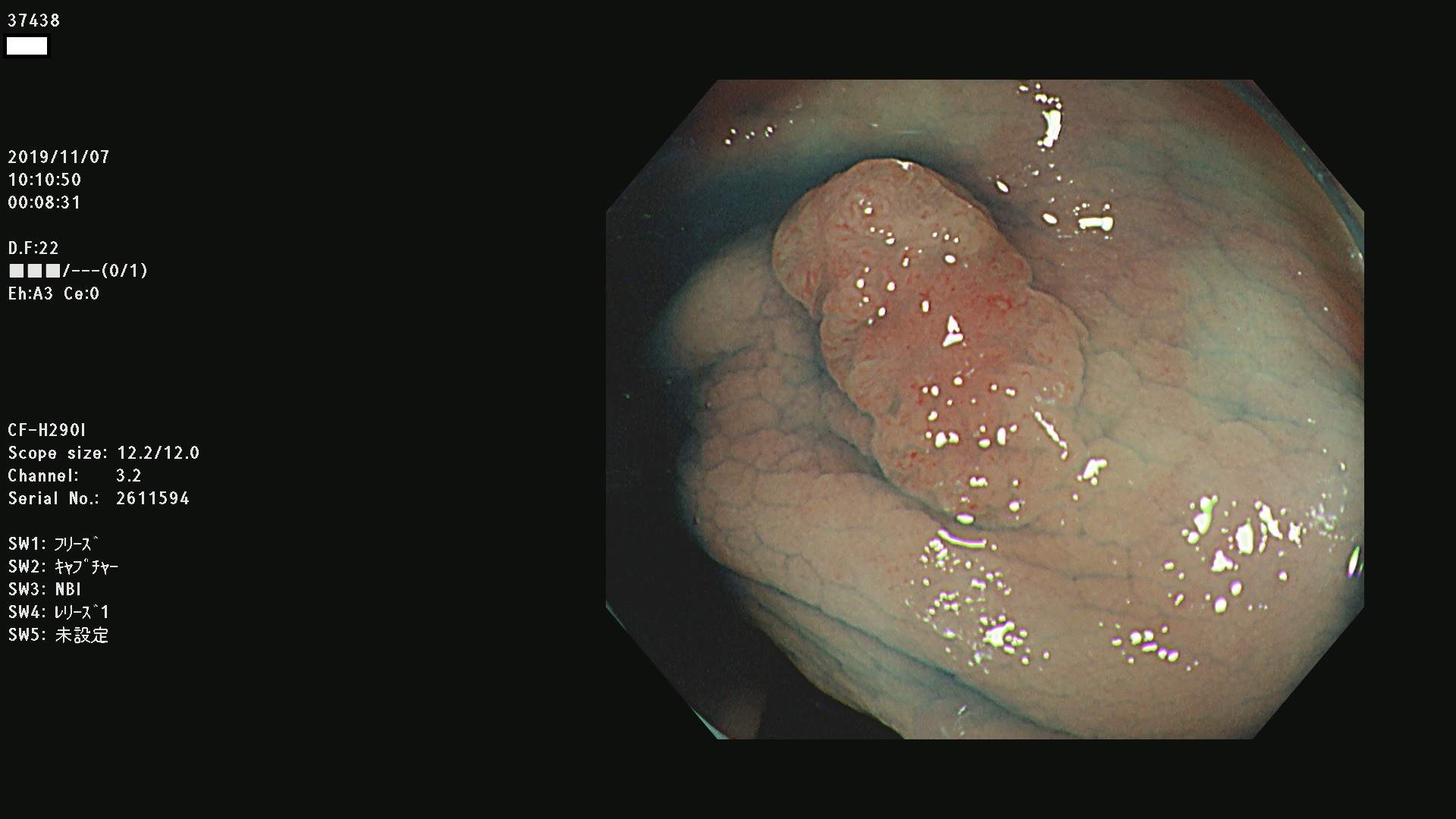
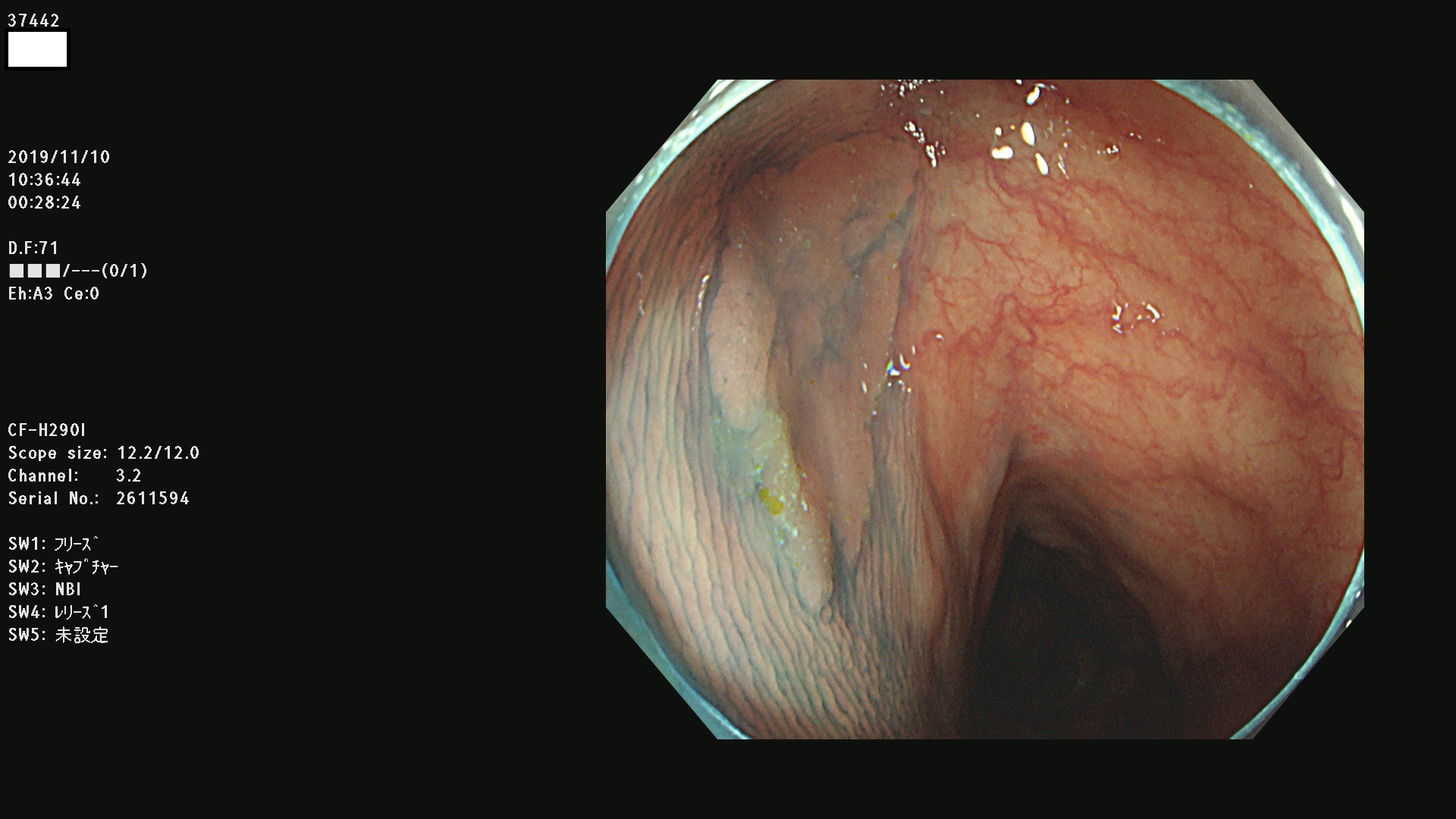
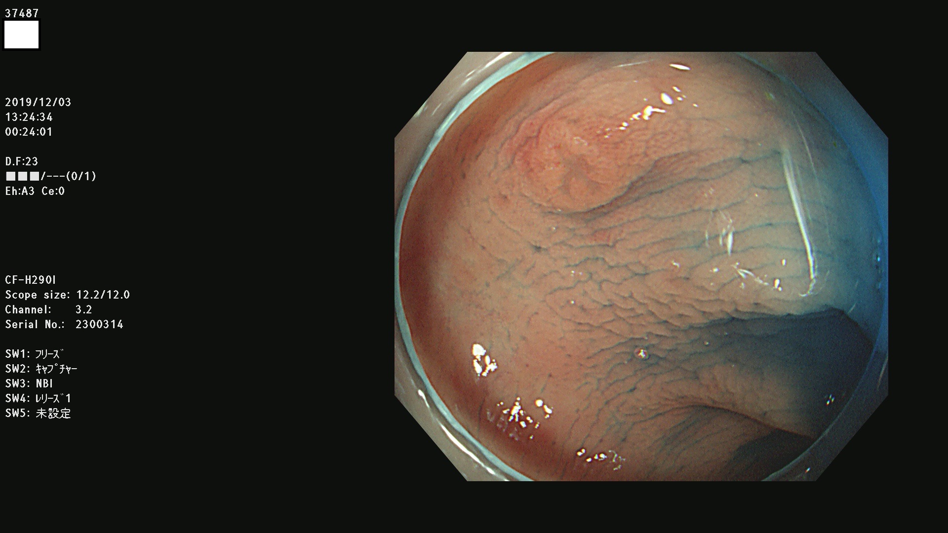
腺腫発見率 75  % (カルテ番号 37400〜37499の100名の方の検査結果で集計)
以下のカルテ番号の方に腺腫(Adenoma,Group3〜5)が見つかりました(集計法
37400(SSAPのみ) 37401 37403 37404 37405 37406 37407 37408 37410 37411 37412 37413 37415 37416 37417 37420 37423 37424 37425 37426 37428 37430(SSAPのみ) 37432 37433 37434 37435 37436 37437 37438 37439 37440 37442 37443 37444 37447 37448 37449 37450 37451 37452 37455 37456 37457 37458 37459 37460 37461 37462 37464 37467 37468 37469 37470(SSAPのみ) 37471 37472 37474 37476(SSAPのみ) 37477 37478 37480 37481 37482 37483 37485 37486 37487 37488 37489 37490 37491 37492 37493 37494 37497 37499

発見困難で危険性の高い平坦型病変(上記100名より抽出)  
 
 
 
 
 
 
 
 
 
 
 
 
 
 
 
 
 
 
 
 
 




大腸癌検診最新情報

大腸癌検診最新情報