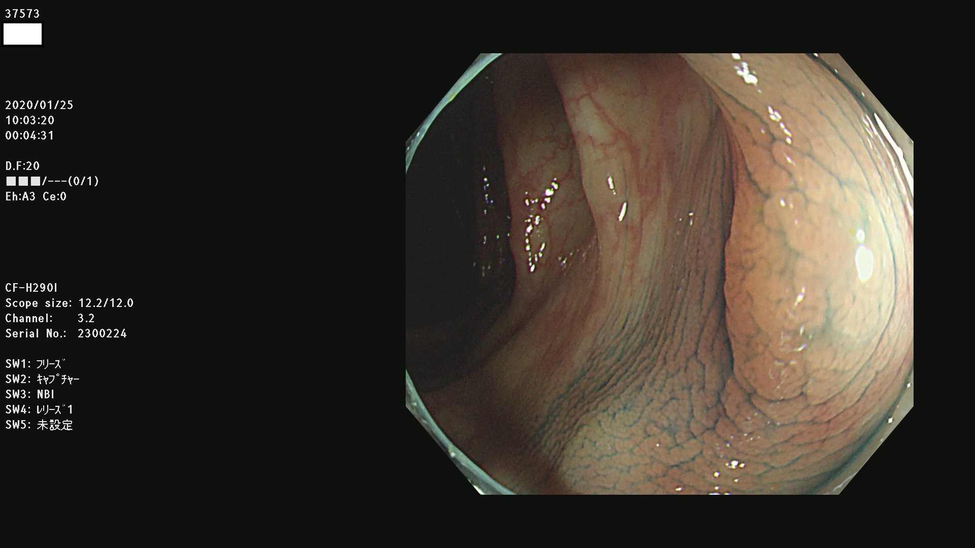
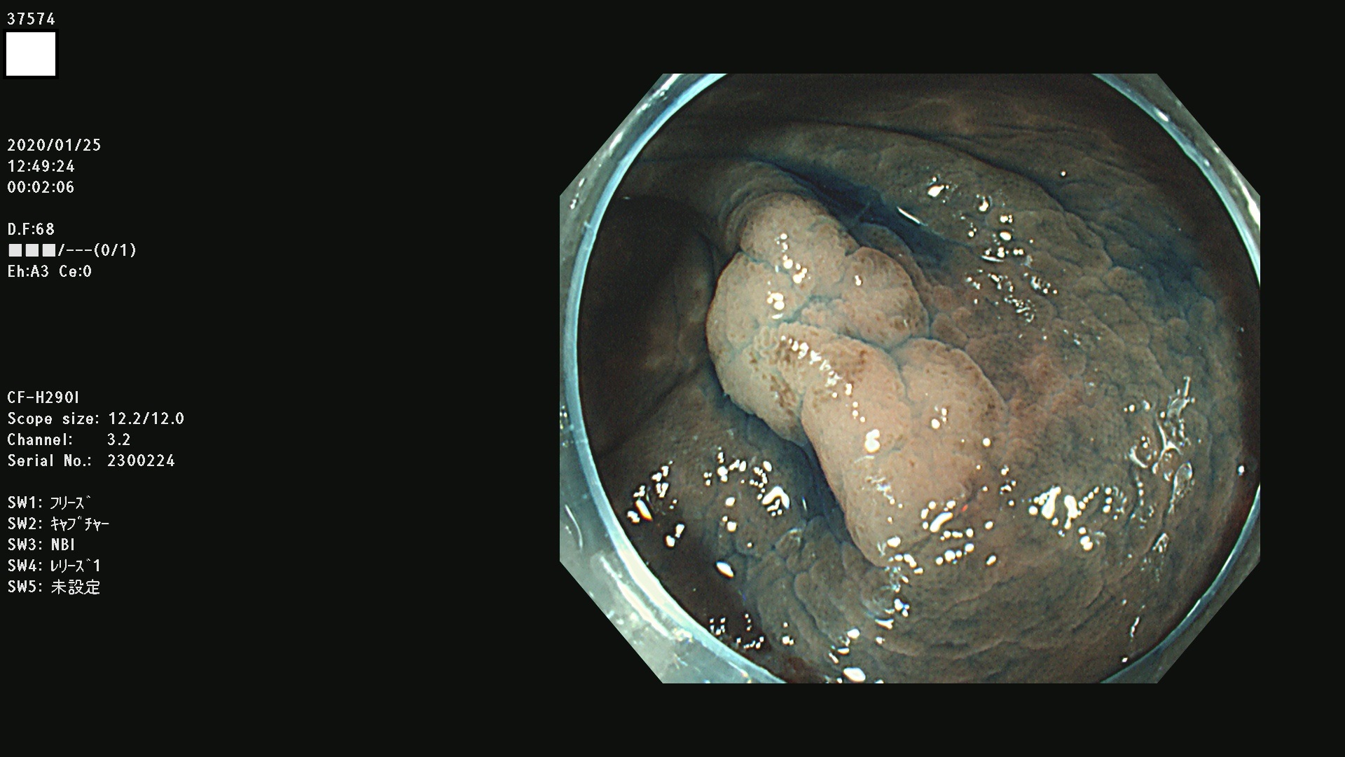
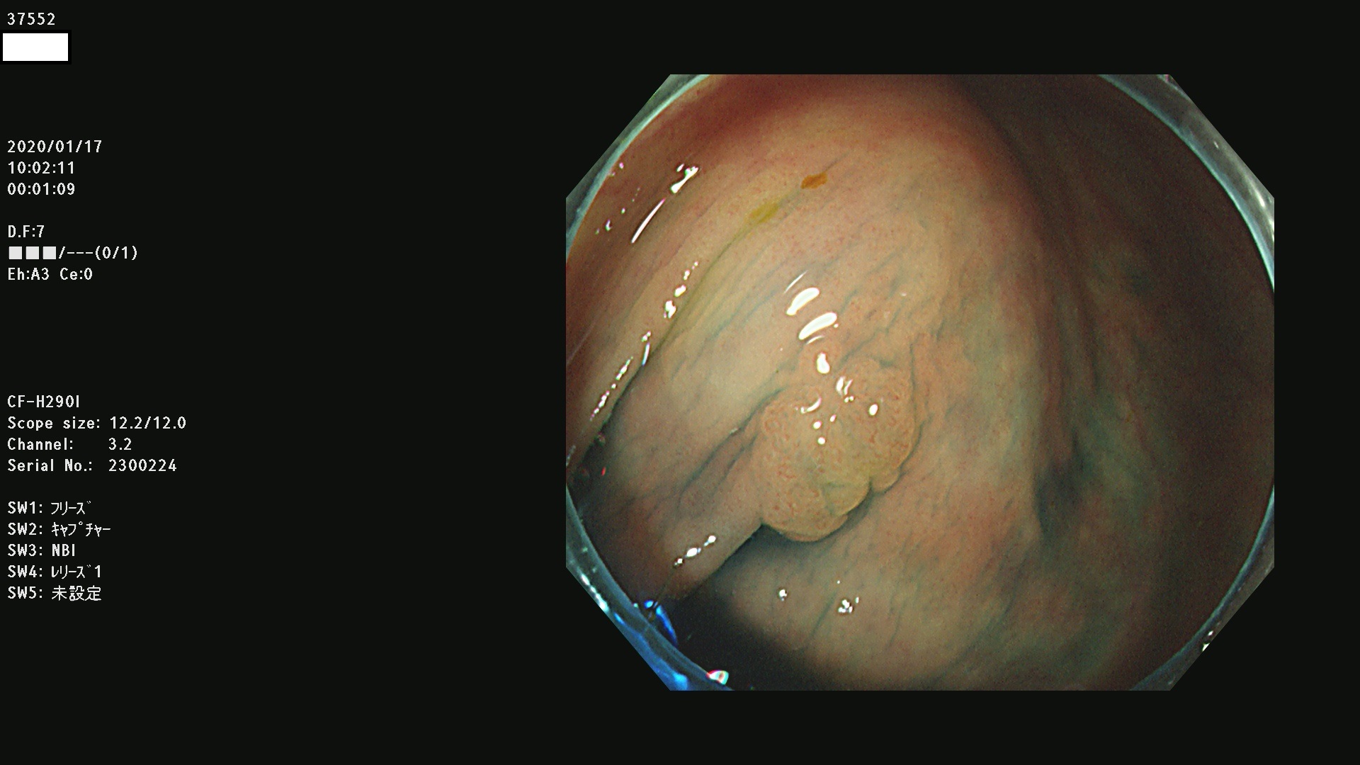
腺腫発見率 67 % (カルテ番号 37500〜37599の100名の方の検査結果で集計)大腸癌検診最新情報
以下のカルテ番号の方に腺腫(Adenoma,Group3〜5)が見つかりました(集計法)
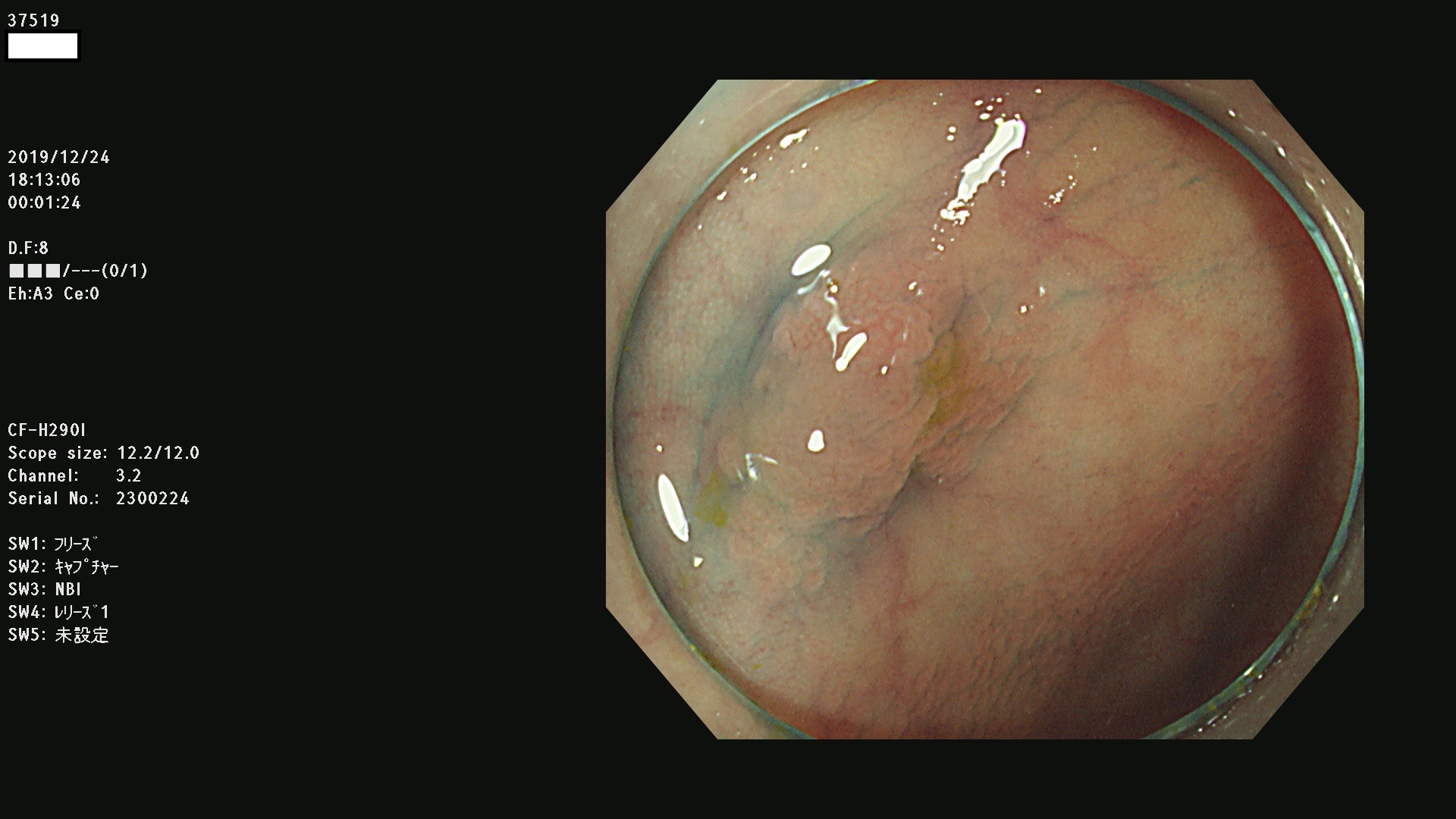
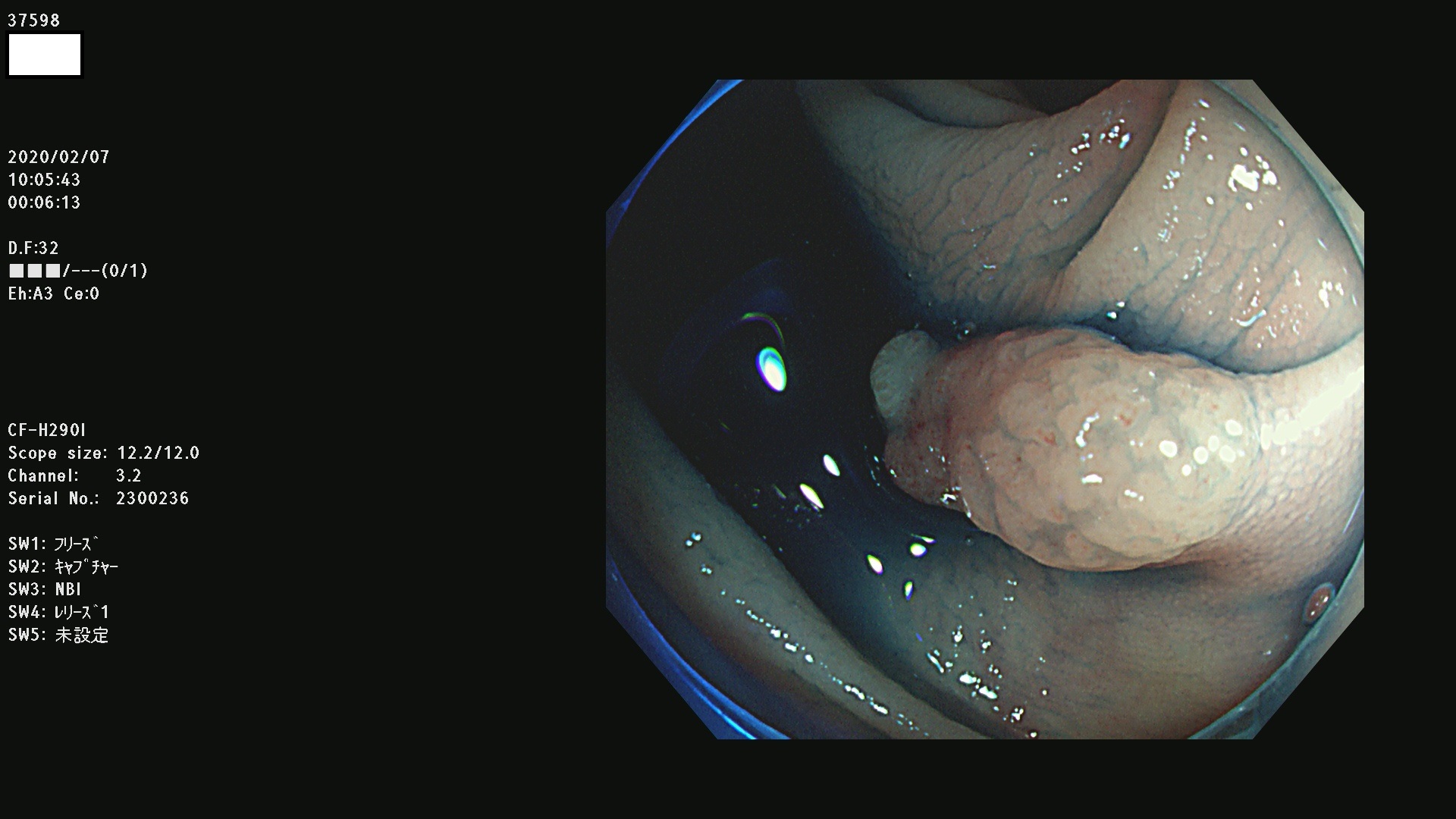
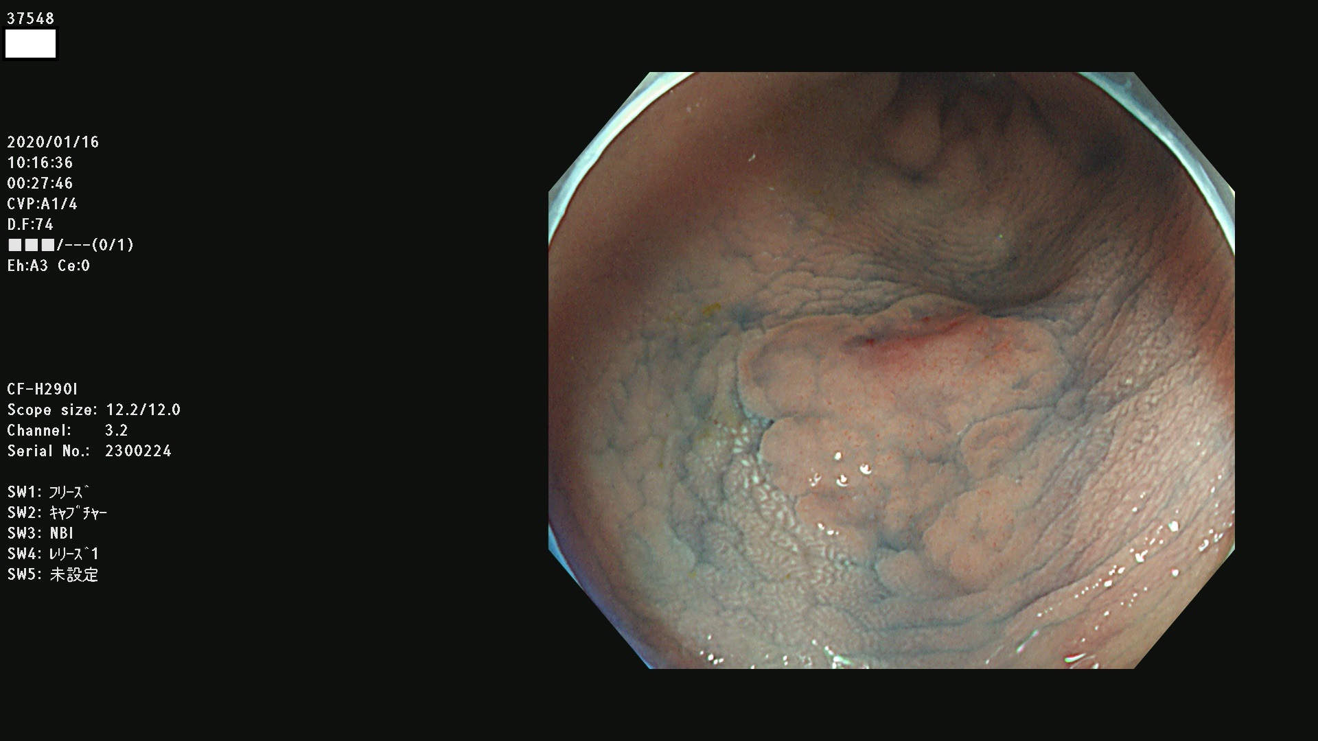
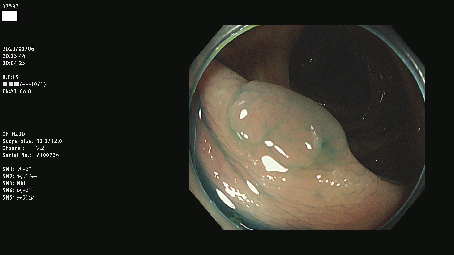
37500 37502 37503 37505 37508 37509 37510 37511 37512 37513 37514 37517 37519 37520 37521 37525 37526(SSAPのみ) 37527 37528 37529 37531 37532 37533 37534 37536 37538(SSAPのみ) 37539 37541 37542 37543 37547 37548 37549(SSAPのみ) 37550 37552 37555 37556 37561 37562 37563(SSAPのみ) 37564 37565 37566 37567 37568 37570 37571 37572 37573 37574 37575(SSAPのみ) 37576 37577 37579 37580 37582 37583 37586(SSAPのみ) 37587 37588(SSAPのみ) 37590 37593(SSAPのみ) 37594 37596 37597(SSAPのみ) 37598 37599
発見困難で危険性の高い平坦型病変(上記100名より抽出) ![]()
![]()
![]()
![]()
![]()
![]()
![]()
![]()