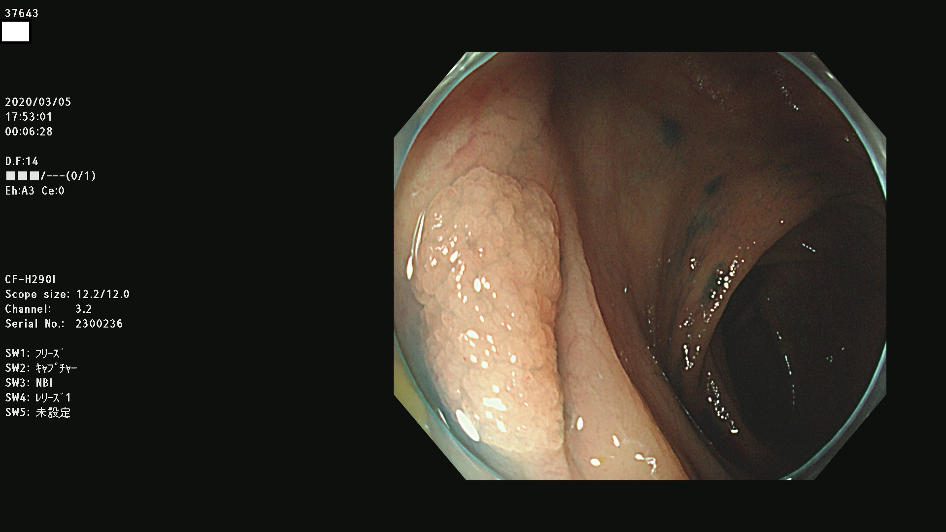
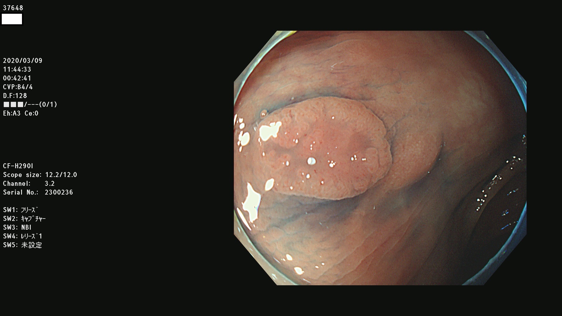
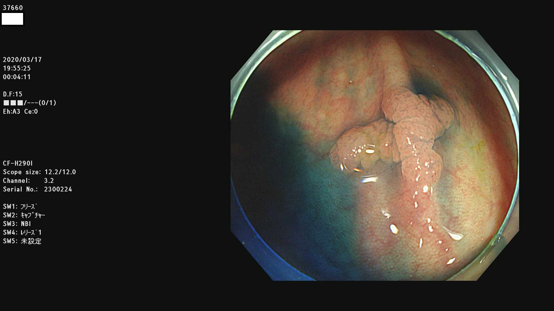
腺腫発見率 71  % (カルテ番号 37600〜37699の100名の方の検査結果で集計)
以下のカルテ番号の方に腺腫(Adenoma,Group3〜5)が見つかりました(集計法
37600 37601 37602 37603 37604 37605 37606 37607 37608 37612 37614 37616 37618 37619 37620 37621 37622(SSAPのみ) 37623(SSAPのみ) 37624 37626 37627 37628 37629 37632 37633 37635 37636(SSAPのみ) 37639 37640 37641 37642 37643 37644 37647(SSAPのみ) 37648 37649 37650 37652 37653 37655 37657 37659 37660 37662 37664 37666 37668(SSAPのみ) 37670 37671 37672 37676 37677 37678 37679 37680 37682 37684 37685(SSAPのみ) 37686 37687 37688 37689 37690 37691 37692(SSAPのみ) 37693 37694 37695 37696 37697 37699

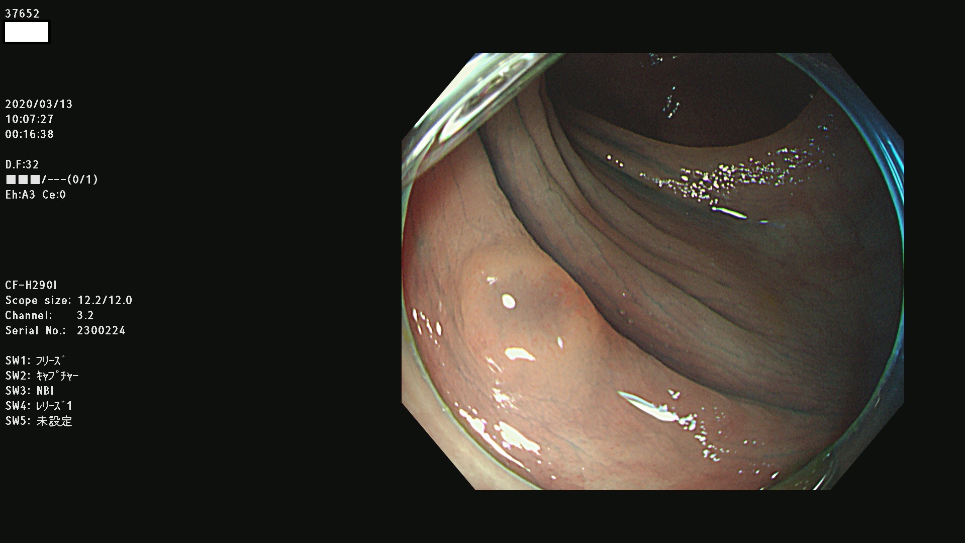
発見困難で危険性の高い平坦型病変(上記100名より抽出) 
 
 
 
 
 
 
 
 
 
 
 
 
 
 
 
 
 
 
 
 
 
 




大腸癌検診最新情報

大腸癌検診最新情報