腺腫発見率 75 % (カルテ番号 37800〜37899の100名の方の検査結果で集計)大腸癌検診最新情報
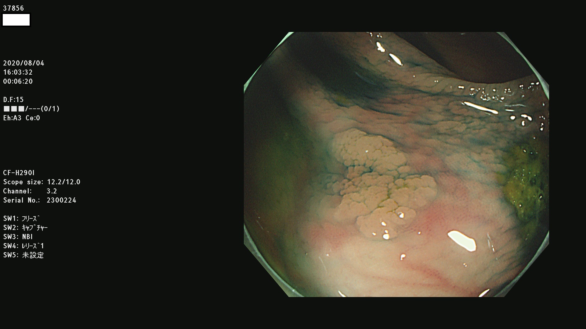
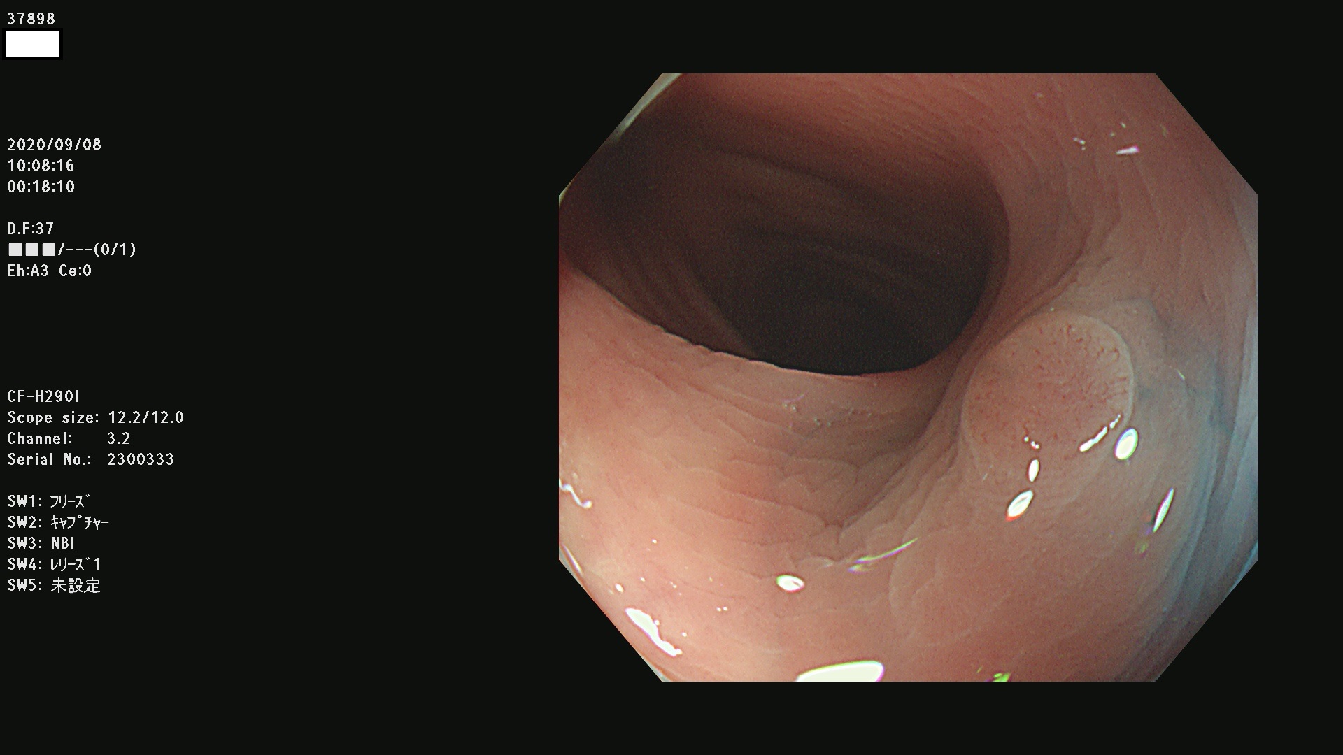
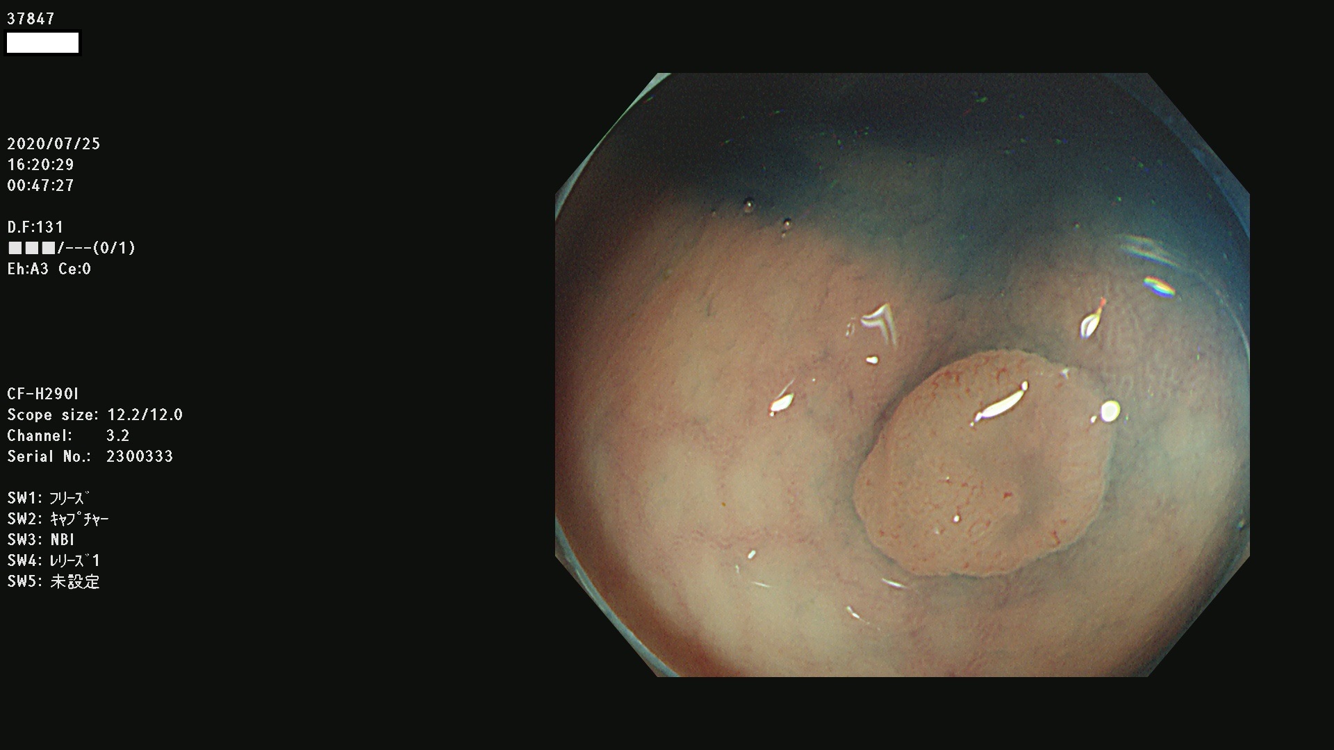
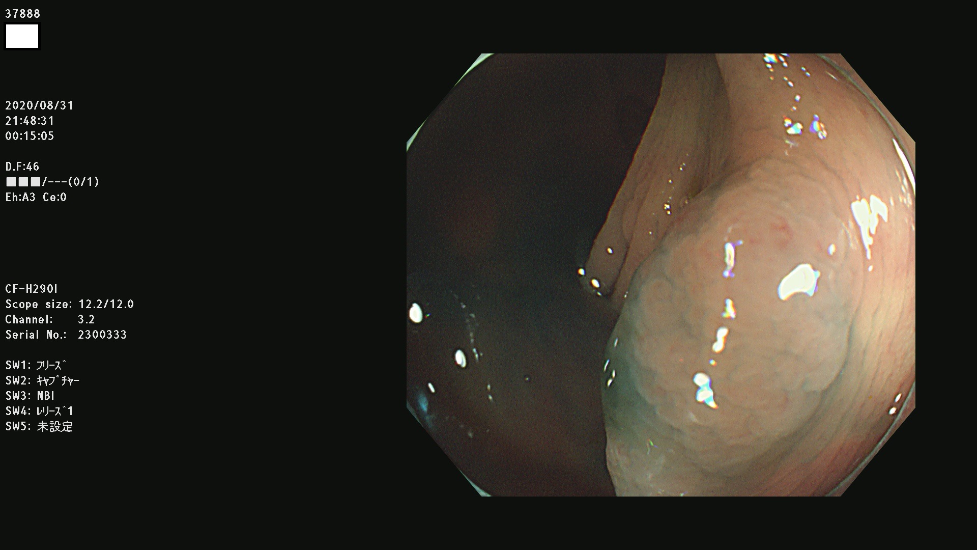
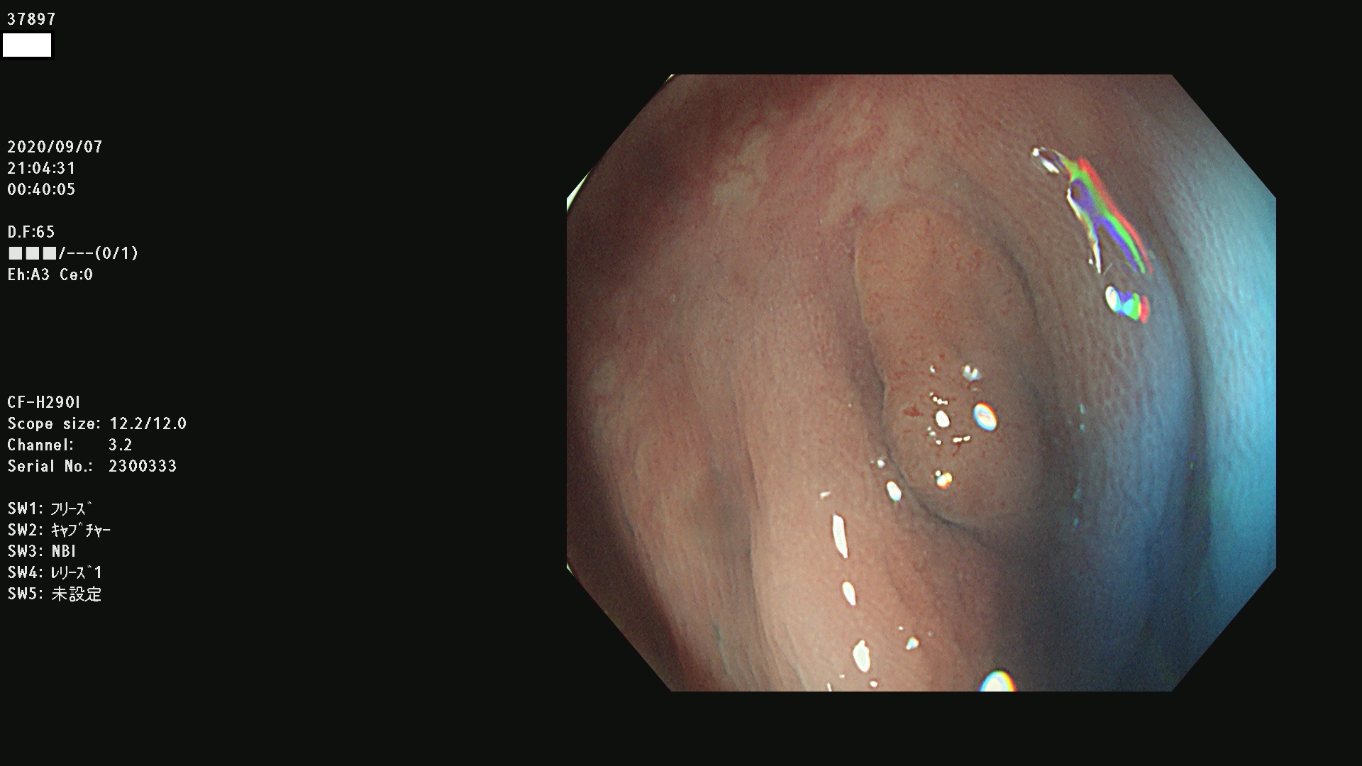
以下のカルテ番号の方に腺腫(Adenoma,Group3〜5)が見つかりました(集計法)
37800(SSAPのみ) 37801 37802 37803 37804 37805 37806 37807 37808 37809(SSAPのみ) 37810 37811 37812 37813 37814 37815 37817 37818 37819 37820 37821 37822 37824 37825 37826 37827 37828 37829 37832 37833 37836 37837(SSAPのみ) 37839 37840 37842 37844 37845(SSAPのみ) 37847 37849 37850 37851 37852 37853(SSAPのみ) 37855 37856 37857 37860 37861 37862 37863 37864 37867 37868 37871 37874 37876 37877 37879 37880 37881 37882 37883 37886 37887 37888 37889 37890 37891 37892 37893 37894 37896 37897 37898 37899
発見困難で危険性の高い平坦型病変(上記100名より抽出) ![]()
![]()
![]()
![]()
![]()
![]()
![]()
![]()
![]()
![]()
![]()