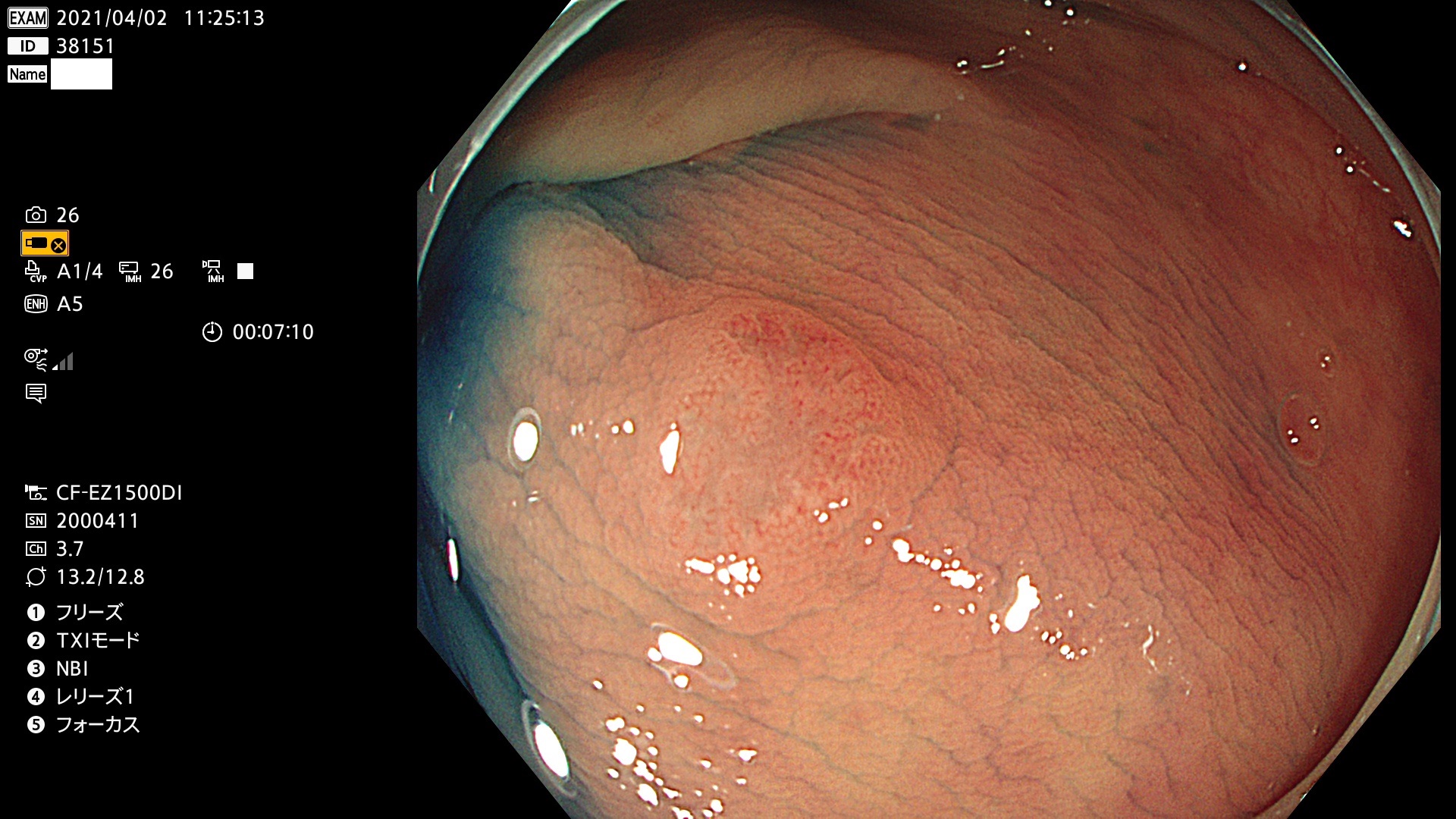
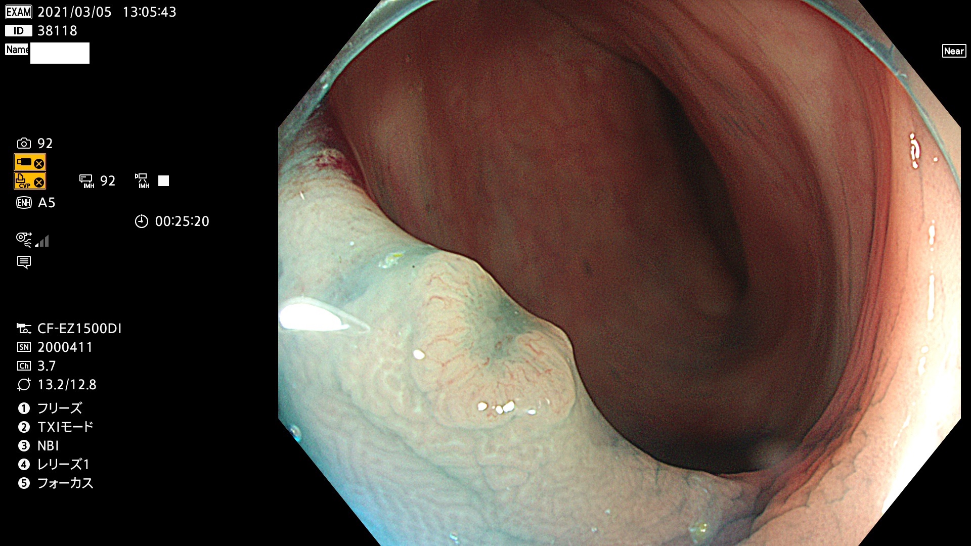
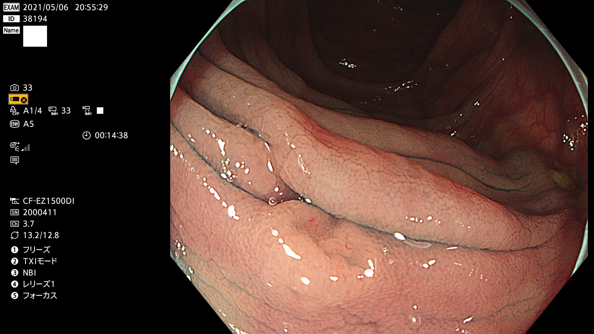
腺腫発見率 72 % (カルテ番号 38100〜38199の100名の方の検査結果で集計)大腸癌検診最新情報
以下のカルテ番号の方に腺腫(Adenoma,Group3〜5)が見つかりました(集計法)
38101 38103 38104 38106 38107 38108 38109 38110 38111 38112 38113 38114 38115 38117 38118 38122 38123 38124 38125 38126 38127 38128 38130 38131 38132 38135 38137 38138 38140 38141 38142(SSAPのみ) 38143 38144 38145 38146 38147 38148 38149 38150 38151 38152 38153 38154 38157 38158 38160 38161 38162 38164 38165 38166 38167 38168 38169 38172 38176 38177 38178 38181 38182 38183 38184 38187 38189 38190 38191 38192 38193 38194 38195 38196(SSAPのみ) 38198
発見困難で危険性の高い平坦型病変(上記100名より抽出) ![]()
![]()
![]()
![]()
![]()
![]()
![]()
![]()
![]()
![]()
![]()
![]()
![]()
![]()
![]()
![]()
![]()
![]()
![]()
![]()