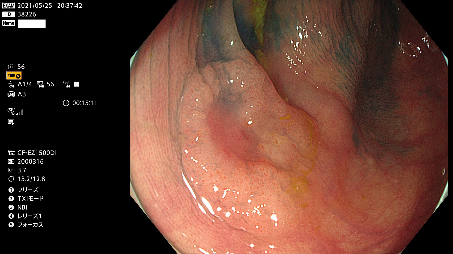
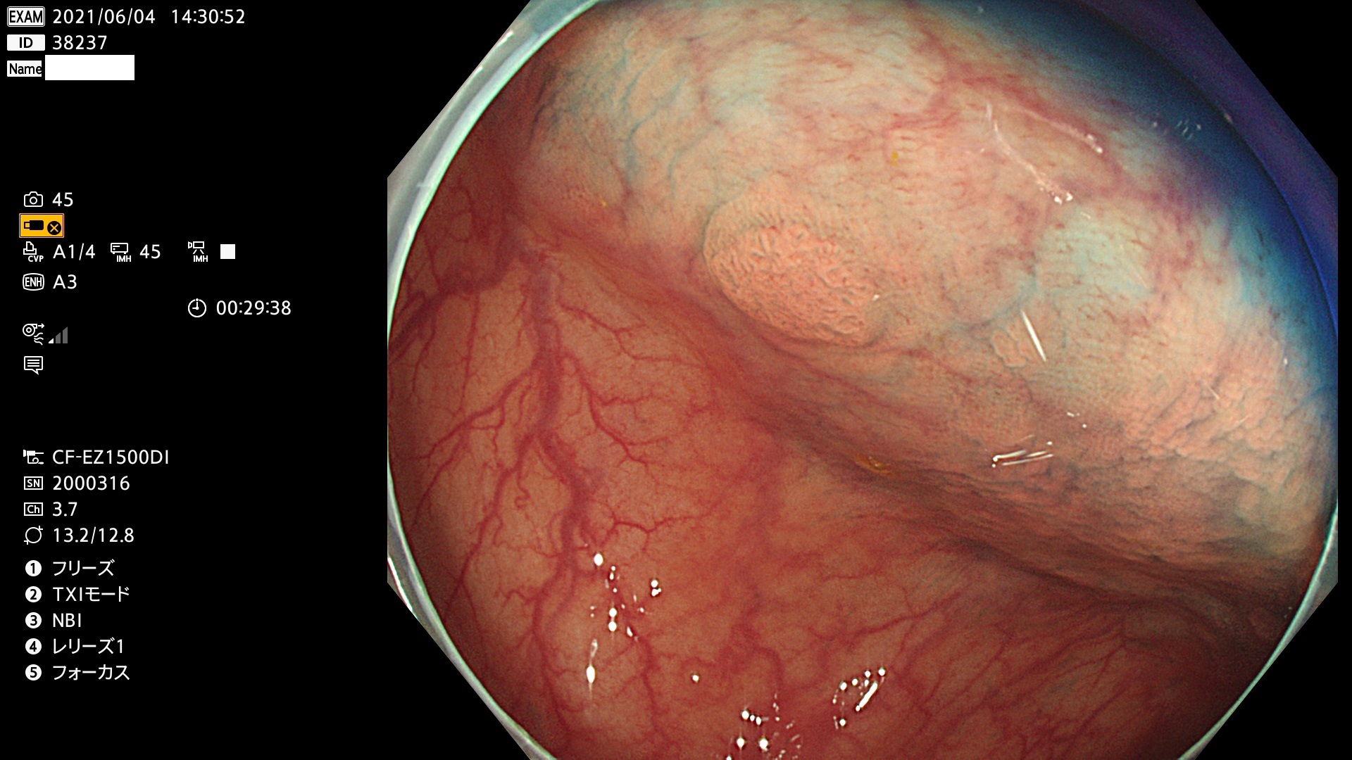
腺腫発見率 76  % (カルテ番号 38200〜38299の100名の方の検査結果で集計)
以下のカルテ番号の方に腺腫(Adenoma,Group3〜5)が見つかりました(集計法
38200 38201 38202 38203 38204 38208 38209 38210 38211 38212 38213 38214 38215 38219 38220(SSAPのみ) 38221 38225 38226 38227 38228 38229 38230 38231 38232(SSAPのみ) 38233 38234 38235 38237 38238 38239 38240 38241 38242 38244 38245 38246 38247 38248 38249 38250 38251 38252 38253 38254 38256 38257 38258 38259 38260(SSAPのみ) 38262 38265 38267 38268(SSAPのみ) 38269 38270 38272 38273 38274 38276 38278 38280 38281 38282 38283 38284 38287 38288 38289 38290 38291 38292 38295 38296 38297 38298 38299(SSAPのみ)

発見困難で危険性の高い平坦型病変(上記100名より抽出) 
 
 
 
 
 
 
 
 
 
 
 
 
 
 
 
 
 
 
 
 
 
 
 
 
 
 
 
 
 
 
 
 
 
 




大腸癌検診最新情報

大腸癌検診最新情報