腺腫発見率 74  % (カルテ番号 38300〜38399100名の方の検査結果で集計)
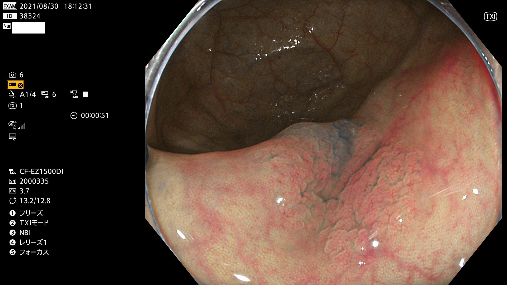
以下のカルテ番号の方に腺腫(Adenoma,Group3〜5)が見つかりました(集計法
38300 38301 38302 38303 38304 38306 38307 38308 38309 38310 38311 38312 38313 38314 38315 38316 38317 38319 38321 38322 38323 38324 38325 38327 38331 38332 38333 38334 38337 38338 38339 38340 38341 38343 38346 38348 38349 38350 38351 38352 38353 38354 38355 38358 38359 38360 38361 38362 38363 38365 38366(SSAP) 38368 38369 38370 38371(SSAP) 38372 38374 38375 38376 38377 38378 38380 38381 38382 38383 38384 38385 38386 38388 38389 38391(SSAP) 38395 38397 38399

発見困難で危険性の高い平坦型病変(上記100名より抽出)  
 
 
 
 
 
 
 
 
 
 
 
 
 
 
 
 
 
 
 
 
 
 
 
 
 
 
 
 
 
 
 
 
 
 
 




大腸癌検診最新情報

大腸癌検診最新情報