過形成ポリープの取り扱い

大腸ポリープは「病理学的に」2つに分類されます。腺腫と過形成ポリープです。癌化の危険が高いのは腺腫で、「腺腫を確実にゼロにする」ことが基本です。

一方、内視鏡を受けポリープを切除した方に発生する大腸癌=内視鏡後・大腸癌(Interval Cancer)の多くが過形成ポリープ由来であることが解っており、内視鏡後・大腸癌をゼロにするには過形成ポリープの安易な放置はできなくなります。
この問題を考える上で「過形成ポリープ・癌化の分子生物学的理解」がどうしても必要になります。

通常は過形成ポリープは大きな病変(=SSAP)になってからMLH1サイレンスという現象を起こし、その後、急速に癌化します。
(MLH1はDNAの変異を修復する酵素で、これがサイレンス状態になると遺伝子変異が加速度的に集積します)
つまりMLH1サイレンスがCritical Eventであり、これが起これば癌化の危険性は極めて高いのですが、起こるのは通常はSSAPに限定されます。

しかしMLH1サイレンスの原因であるCIMPという現象に注目すると・・・小さな過形成ポリープでも、かなりの割合でCIMPが検出されます。つまり小さな過形成ポリープも「潜在的癌化のポテンシャル」を持っている訳で、ここが問題の核心部分になります



実際の写真です

これを見て「過形成ポリープは色々な形態をしているのだな・・・」と気づかれた方は高い洞察力がある方です。
病理学的に過形成ポリープと診断される病変は、要するに「腺腫では無いポリープの総称」で遺伝子異常は様々であり(RASやRAFが多いのですが、理論的にWNT系以外のあらゆる細胞増殖遺伝子が原因になります)、「その他、大勢」なのです。
便宜上、一緒くたにされていますが「本質は全く違う病変の総称」であり、全く無害なものから、極めて危険なものまで含まれます。



現在ある過形成ポリープの分類と取り扱い(方針)は複数あります。列挙しますと・・・・
<1>病理で区別するという考え・・・過形成ポリープをMVHP、GCHP、MPHPの3つに分けます。しかし病理所見と遺伝子変化が一致せず、現在は「形態病理は有用性は低い」というのが結論です
<2>大きさで区別するという考え
・・・・10ミリ以上を切除するという方針です。日本や欧州のガイドラインはこれが基本です
<3>遺伝子で区別するという考え
・・・・遺伝子を抽出しCIMPを調べれば過形成ポリープが将来、MLH1サイレンスを起こすリスクを正確に予測できますが、言うまでも無く、実用性はゼロです。
<4>拡大観察(pit)で区別するという考え
・・・・拡大した腺口(=過剰粘液)をSSAPの特徴として重視する意見で、拡大観察が得意な日本が重視する考えです。しかし『粘液を過剰分泌しないが悪性度が高いタイプ(Large Hyper Plastic Polyp)』は区別できません。まだSSAPになっていない初期の過形成ポリープが将来、SSAPに進展するリスクを予想することもできません。基本的に拡大観察(Pit診断)は内視鏡で<1>をする物でこれ以上の情報は得られませんから「過形成ポリープの拡大観察の有用性は低い」というのが結論になります。
<5>その他の内視鏡所見で区別するという考え
・・・・粘液の付着、血管像(NBI)、形態の異常などが報告されましたが<4>と同じでSSAPを診断するものでSSAPに進展するリスクの予想はできません。
<6>右か左かで区別するという考え
・・・・米国で2012年に出された意見です。肛門から40cmより奥(右側)にある病変(Proximal Hyper)を危険性の高い病変として重視するという考えです。過形成ポリープは奥(右側)ほど遺伝子不安定性が強い(CIMP陽性。MLH1サイレンスを起こし易い)です(これは興味深い現象なのですが、理由は解っていません。)この観測事実に基づいた主張です。肛門から40cmというのは、ここで大腸が発生学的に異なるからです。




 参考資料 過形成ポリープの取り扱いが確立されるまでの流れ

(1)米国TCGAプロジェクト(大腸癌遺伝子解読計画)で大腸癌の15%が「遺伝子変異が非常に多く(Hyper-Mutated Type=MSI陽性)、MLH1サイレンスが起きている」ことが解明される。この計画が全ての始まりでした・・・・
(2)国際大腸癌分類会議(4千人分の大腸癌の全遺伝子を世界中で共同で解読するという、言わば大腸癌のアポロ計画)でCMS1(遺伝子変異が非常に多い、MSI陽性、BRAF陽性、大腸の右側に多い)が定義される。
(3)内視鏡後・大腸癌(Interval Cancer)はMSI陽性、BRAF陽性、大腸の右側(=CMS1癌)が多いことが解明される
(4)HNPCC(遺伝的にMLH1サイレンスが起きている)の人は癌化が極めて急速で、内視鏡後・大腸癌(Interval Cancer)が多いことが解る
(5)過形成ポリープはBRAF陽性が多いことが解る
(6)大きな過形成ポリープ(SSAP)はMLH1サイレンス、MSI陽性であることが解る
(7)これらの流れから「SSAPがCMS1の原因」「SSAPが内視鏡後・大腸癌の原因」であるという考えが定説になる
(8)右側の小さな過形成ポリープ(Proximal Hyper)はMLH1サイレンスやMSIは陰性だが、この原因となるCIMPが陽性であることが解る
(9)これらから右側の過形成ポリープ(Proximal Hyper)をゼロにすることが、内視鏡後・大腸癌をゼロにするために重要であると、米国で2012年に宣言される
(10)欧州や日本の専門家の多くは米国の方針には懐疑的で10ミリ以上、あるいはSSAPを切除適応とする意見が主流

私見ですが・・・・・遺伝子解読で先行する米国の「先制攻撃主義」に日本や欧州の臨床医がついていけていないと感じます。あるいは訴訟大国の米国は内視鏡後・大腸癌(Interval Cancer)の問題に非常に過敏になっているのに対して日本や欧州は危機感が低いとも感じます。


左側の過形成ポリープの取り扱い(危険性の高い病変の鑑別)が、残った課題

左側の過形成ポリープは、ある程度大きくなったポリープの上に2段構造で、進行したポリープが発生してから癌化するという「ゆっくり型の癌化」が主と考えられています(TSA pathway)。
ちょうど「親亀の上に子亀が乗っているような」形態になります。この2段階化にはSMOC1という遺伝子が関与していることが最近、解明されました(文献

「SMOC1が異常になっていない(子亀がいない親亀のみ)」段階で切除するのが理想ですが、このタイプの過形成ポリープは「ある程度の大きさで切除する。小さな病変は放置する」という方針でも十分だろうと予想されています。というのも「左側の過形成ポリープは、数十個と多発することが多く限られた検査時間で全てをゼロにするのは物理的に困難だからです。

   
   
例えば、左下の病変の方は、「平坦な親亀」の部分と同じような病変(まだSMOC1が変異していない過形成ポリープ)が多発しているのですが、非常に数が多いために全てを切除するのは不可能で「ある程度の大き以上の病変」を切除するという方針としています。

         

一方、頻度は低いのですが左側にも「急速型の過形成ポリープ」と思われる病変も散見されます。

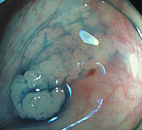
例えば、下の病変(直腸 High grade Serrated Adenoma)は「親亀はそんなに大きくないのに複数の子亀が発生」しており遺伝子変異が非常に速いことが示唆されます



また下の病変(直腸)は一見すると「普通の直腸・過形成ポリープ」なのですが実は癌化の直前の病変(High grade Serrated Adenoma)でした。頻度は高くないのですが、このような危険な「直腸の過形成ポリープ」は、実在しており、安易な放置は確実に内視鏡後・大腸癌の原因となります。



直腸の過形成ポリープはMutYというDNAの変異を修復する酵素の異常で多発するという報告が2016年にあり注目されました。つまり、過形成ポリープの多発は「ゲノムが不安定な体質(癌体質)であることを表す」という意味です。このような意見も昔から根強くあるもので、過形成ポリープ多発症(SPS)とHNPCC状態(ゲノム不安定症候群)はオーバーラップしています。

ゲノム解読が進んでも、医学は癌化のメカニズムの極一部しか解明していません。「時間が許す限り極力、右も左も切除すべき」というのが現時点ではベストであることは言うまでもありません。すると、内視鏡を奥から抜きながら切除していくという場合は、時間的制約から「米国式の右側ポリシー」が結局は最も現実的な選択になる訳です。