オリンパスの新型内視鏡(1500型)

始めに
内視鏡はオリンパスとフジフイルムが2大メーカーです。両者が技術競争をすることで、日本の内視鏡は世界一と評価されています(日本製のバイクや自動車が世界で高く評価されているのと同じ構造です)。両者は甲乙つけがたいのですが、私は大学の先輩からの付き合いでオリンパスを愛用しています。
今回、オリンパスの内視鏡が実に8年ぶりにモデルチェンジをしました。先に春に経鼻の胃カメラが発売され、今回、大腸カメラと経口の胃カメラが発売となり、当院も10月から全機種を新型(1500型)に刷新しました。

最大の変更点は4K画質化
私は、オリンパスの最初の電子スコープ(100型)から代々、使用していますが今回のモデルチェンジが(開発期間が長いからですが)最も画質の向上が著明と感じました。正確に4K解像度(3840X2160)ではないのですが従来の機種(290型)のハイビジョン画質(約1000X1000)を遥かに凌ぐ画質であることは確かです。残念ながら、この画質をWEBやUSB保存画像で確認することはできません。内視鏡の画像レコーダーが2K(1280X720)までしか対応していないため「2Kにダウンコンバート」して保存されるからです。検査室には2台の4Kモニターが設置されていますので検査中に「4K内視鏡」を御確認下さい。

 
 新型・胃カメラ(1500型)の画像
 
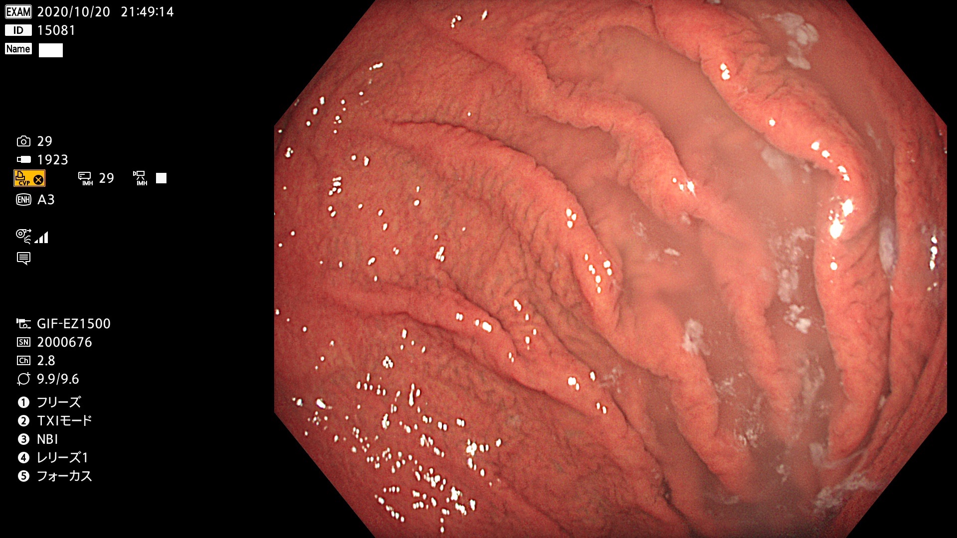
 新型・大腸カメラ(1500型)の画像


極限まで来た高画質化

私見なのですが、今回の機種で高画質化は「来るべきところまで来た(これ以上の高画質化は無用)」と感じます。これ以上、高画質化して、より微小なポリープの発見率が上がっても、現実的にはそれらを全て切除する時間が無いからです。既に現状でも発見された多くのポリープが「経過観察」とされていますが、この理由は「全てを切除する時間的余裕」が日本の内視鏡医には無いからです。

解剖学的死角の問題は未解決
大腸内視鏡の見落としの最大の原因は画質ではなく、「腸のヒダ」の裏側、屈曲の裏側、憩室、残便などが原因となる「解剖学的な死角」です。死角を減らすためには「視野角」の拡大が重要なのですが、今回のモデルチェンジでは視野角は従来機と同じ170度以上の拡張はありませんでした。(内視鏡の見落としの原因は何か?



世界中の医療ベンチャーが、この死角を無くすための様々なデバイスを開発・販売しています。最近、オリンパスが、そのような会社を買収しました。(オリンパス、Arc Medical Design社を買収)。同様の動きはフジフイルムも検討していると思われます。

今後は「高画質化」ではなく「如何にして死角を減らすか」がオリンパス・フジフイルム両社の競争になると予想します。