内視鏡で肛門癌の予防は不可能である


始めに
肛門癌はHPV感染が原因で、かっては「男性同性愛者に特有の癌」と認識されていましたが、米国では、女性に増加し(文献1 文献2 文献3)、女優のファラフォーセットが死亡した頃から「女性の癌」と、認識されるようになりました。HPVが起こす肛門癌は腺癌、内分泌癌もありますが、最も代表的なのは扁平上皮癌です。

さて「前癌病変(ポリープ)を切除して大腸癌を予防すること」が、大腸内視鏡の第一の意義です。では、肛門の扁平上皮癌も、ポリープ切除で予防できるでしょうか?

これはNOです。

肛門・扁平上皮癌の前癌病変(ポリープに相当します)は AIN(=Anal Intraepithelial Neoplasia)と呼ばれます

(1)AINは内視鏡(NBI)では解らない
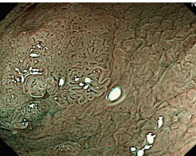
内視鏡で切除したポリープに、偶然、Low GradeAINが併存していたという報告がありますがNBI(下図、左)では認識不能で、ヨード染色で認識されます(下図、右)。しかし、ヨードはアナフィラキシーの危険があるためルチーンには使い難い薬剤です。現在、AINを確実に診断できる検査は高解像度肛門鏡(HRA)だけとされています(ヨードの代わりに酢酸を使います)。




下記は内視鏡で発見された肛門扁平上皮癌
です。この段階になれば内視鏡で診断可能です
       
 当院症例より 症例報告より    症例報告より 症例報告より 




(2)そもそもAINを切除しても肛門癌を十分に予防できない。
レーザー、電気メス、赤外線などによる凝固・焼却が行われますが再発率が高く、治療を繰り返している内に癌へ進展するケースが多いということが問題視されていました。AINの多くは多発性であり、目で見える大きなAINを切除しても、周囲にウイルス感染細胞が存在する以上、再生粘膜が再び感染するので意味が無い訳です。

(3)AINの切除に免疫賦活剤やワクチンを併用すると非常に有効
イミキモド(商品名べセルナ、アルダラ、持田製薬)は塗り薬なのですがインターフェロン刺激作用がありHPV排除を促進します。AINの切除にイミキモドやHPVワクチンを併用すると再発が激減することが解りました。HPVワクチンは、感染前に接種しないと効果が無いというのが定説でしたが、最近は感染後のAINの発症にも再発予防効果があることが、解って来ました(2019年Review)。 

(専門的)感染後でも有効な治療用HPVワクチンの展望


(4)AINの切除以上に重要なのは免疫力

実は我々は皆、一度はHPVに感染していると言われています。しかし癌になるのは、極一部の人で、免疫が低下している方です(AIDSの方や、免疫抑制剤を使用している方)。子宮頸癌や肛門癌の患者さんと同じ数だけ陰茎にHPVが感染した男性がいるはずですが、実際は陰茎癌は非常に稀です。免疫によるウイルスの排除が最も重要だと解ります。AINもまた、進行するのは極一部で、大部分は免疫で排除される(自然治癒する)ことが解ってきました。機序は不明なのですが、タバコは肛門免疫を弱め、AINを進行させます(2018年文献)。


 (専門的)肛門癌の分子生物学
2020年Natureより 長い間、肛門癌の治療方針は転移の有無つまりステージで決められていた。しかし、肛門癌ではステージよりもHPVの有無(言い換えるならp53が温存されているか否か?)の方が、予後を決める大きな因子であり、リンパ節転移の評価よりもp16(=HPV)とp53を調べるべきであり、医師は発想の転換を求められている(咽頭癌・子宮頸癌の治療概念を導入するべきである)。腫瘍浸潤リンパ球(特にPD-1リンパ球)も良好な予後を意味するが、これも咽頭癌と同じである。
HPV陽性肛門癌(p53は温存)と陰性肛門癌(p53は変異)は「全く別の癌」と考えるべきである。HPV陽性なら化学療法はシスプラチン、タキソールが主役になる。従来の5-FUとMMCの効果は劣る。シスプラチンが効く理由は「DNA 修復経路がHPVによりハイジャックされている」からである。ここが癌細胞のアキレス腱になっている。HPV陰性肛門癌は放射線は全く無効で施行すべきでは無い。最近、HPV陰性咽頭癌で低酸素標的薬(ニモラゾール)の有効性が報告されており、HPV陰性肛門癌にも期待される。HPV陰性肛門癌はTZではなく「外側(Cutaneous zone)」に好発する。これは膣癌がHPV陰性が多いのと似ている。裂肛も肛門癌の原因になるという報告が有り( 2)、HPV陰性でも慢性炎症が母地になる発癌経路がある。
2021年文献より HPV(+)癌ではPIK3CAの変異も非常に多く 、PI3K、mTOR 阻害剤も候補になる。またEGFRの過剰発現(変異無し)も多くRASの変異は少ないことからEGFR阻害剤も候補になる。一方HPV(-)p53変異(+)癌ではこれらの変異は少なく、APCやRAF、CDKN2A(p16)、,NOTCH、CALR、FGFRの変異が見つかるが、HPV(+)に比べ、Actionable mutationsは少ない
2021年文献より HPVは「DNA二重鎖切断の修復経路」を阻害する。つまりHPV(+)癌は、BRCA変異(+)遺伝性乳癌と似た状態にある。これがシスプラチンや放射線が著効する理由である。従ってPARP阻害剤などの合成致死の戦略が有効な対策になる。
2021年文献より PD1高発現なら、チェックポイント阻害剤が著効するから、外科手術を選択すべきではない。
2021年文献より 複数の新しい試みを紹介。(1)シスプラチン5-FU+MMC+放射線の3剤の治験(副作用強く失敗)(2)放射線化学療法にEGFR阻害剤を加えた治験(副作用強く失敗)(3)PD1阻害剤とTGFβ阻害剤の合材(4)IL12を組み合わせたHPVの治療用DNAワクチン、など。



内視鏡で肛門癌の早期発見(前癌病変切除による予防)は可能か?
この問いの答えは以下のようになります。腺癌と内分泌癌については、詳細を前々回の記事で書いています。
(尚、稀ですが通常の直腸癌と同じタイプの腺癌が肛門管の粘膜に発生する場合もあります。もちろん、この場合は直腸癌と同じくポリープ切除により予防可能ですが、このような病変は「下部直腸癌」と呼ぶべきで「肛門癌」と呼ぶのは誤りです)




最後に患者さんに有益な情報をまとめたいと思います

内視鏡で肛門癌の予防は不可能です。前癌病変(AIN)の切除も、効果が少なく、AINは腫瘍というよりウイルス感染症と考えるべきです。
有効な対策は肛門の検診では無く、ワクチンです。感染前の接種が最善ですが、感染後でもAINの再発予防効果があり、AINの自然消滅を促進します。
ワクチンの接種は個人の問題ですが、「肛門性交」は後に「極めて高い代償を払うことになる」ことを認識すべきです