大腸の悪性リンパ腫アトラス
始めに
大腸の悪性リンパ腫は非常に多彩な形態を示します。しかし、疾患としての頻度が低いために内視鏡の診断学が十分に確立されていません。また、多くの医師は生涯に数例しか経験しないために「誤診の危険」が非常に高い、言わば「大腸内視鏡の落とし穴」とも言うべき疾患です。2022年、癌センターが「大腸悪性リンパ腫の肉眼型と組織型」の論文を発表しました。そして組織型と肉眼形態には、ある程度の相関がある、と結論しています。

最多はDLBCL(びまん性大細胞型 B 細胞性リンパ腫)で、マントル型、濾胞性、MALT型、が続く。バーキット型やT細胞型は「稀」。癌センター2022年報告より

癌センターの報告は90名の「大腸悪性リンパ腫」の患者さんの集計ですが、ネットで世界中から報告されている「珍しい形態の悪性リンパ腫」の画像が入手できます。「他の医師へ、誤診を防ぐための警告」として報告されている物で、通常、このような学術報告には著作権も肖像権もありません。今回は、そのような「誤診しやすい大腸悪性リンパ腫」の画像を集めアトラスとしました。
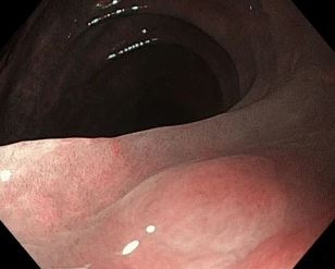
潰瘍性大腸炎と誤診され急激に悪化した大腸のDLBCLリンパ腫

こちらのサイトより引用させていただきました
最初の内視鏡と生検で「潰瘍性大腸炎」と診断されたが治療が全く効果が無く、2度目の内視鏡の生検でリンパ腫と診断。初発であり「長期経過の潰瘍性大腸炎に悪性リンパ腫が発生した」ものではなく「腸炎様のリンパ腫」であると結論している。過去に20件ほどの“colitis-like”
diffuse-type colorectal lymphomaの報告があるとのこと。
偽膜性腸様と誤診される危険のある悪性リンパ腫
大腸のMALTリンパ腫の多くは、内視鏡ではリンパ腫とは診断されず、生検あるいはポリペクトミーで診断されている

こちらのサイトより引用させていただきました
51名の大腸MALTリンパ腫のうち、最初から内視鏡でリンパ腫が疑われたのは、僅か7名で、16名には「上皮性腫瘍と診断されポリペクトミーが施行された」とあります。
「ポリープ様の大腸MALTリンパ腫」の予後は極めて良好であり、最近は手術や化学療法・放射線をしなくても「内視鏡切除(ESD、EMR)」だけで十分なのではないか?という報告が見られます。限局性の胃のMALTリンパ腫は抗生剤(ピロリ菌の除菌)だけで様子を見るのが第一選択となっており(無効なら放射線を追加する)、大腸も限局性なら内視鏡切除で十分なのではないか?という意見です。血液学の分野では、以前から「くすぶり型/白血病・骨髄腫」と呼ばれていた疾患(経過観察が原則です)と同じであるという意見です。
微少ポリープと診断されポリペクトミーされたS事結腸MALTリンパ腫。 その後、追加治療はされず経過観察とされている

こちらのサイトより引用させていただきました
過形成ポリープと誤診された直腸の「十二指腸型濾胞性リンパ腫」

こちらのサイトより引用させていただきました
「十二指腸型濾胞性リンパ腫」というのは、最近、確立された疾患概念で独特の染色体異常で診断される。MALTリンパ腫と同じく、予後は良好であり「経過観察で十分」という意見が多い(資料)。
本症例でも直腸ポリープのポリペクトミー後「経過観察」とされたが、4か月後に胃と十二指腸に同じ病変が出現したために化学療法が施行された。
リンパ管腫と誤診される危険のある上行の濾胞性リンパ腫。鉗子で押すと柔らかい、との記載有り。

岡山大学 高嶋先生の論文より引用させていただきました
回盲弁の腫大(脂肪腫)と誤診される危険のある回盲弁上の濾胞性リンパ腫

こちらのサイトより引用させていただきました
鋸歯状病変と誤診され分割EMRを施行された濾胞性リンパ腫(肝湾曲部)。
同時に上行結腸にも5ミリのポリープがあり、ポリペクトミーされたが、それも濾胞性リンパ腫であった。

こちらのサイトより引用させていただきました
当初、大腸癌と誤診されたS字結腸のMALTリンパ腫

こちらのサイトより引用させていただきました
「多発性リンパ濾胞」あるいは「Cowden病」と誤診される危険のあるMLP(Multiple lymphomatous polyposis)型 濾胞性リンパ腫

神奈川医療センター板井先生の論文より引用させていただきました。

同症例の十二指腸 MLP(Multiple lymphomatous polyposis)では、十二指腸に特徴的な「白色隆起の多発」が見られるが、本症例でも見られています。
今後も興味深い報告を見つけましたら随時、追加して行く予定です。
