<Q>大腸内視鏡検査の1年後に進行した大腸癌が見つかった場合・・・・・これは医療ミスなのですか?

<A>微小なポリープが癌になるまでには平均で10年かかります(短期間に癌化する物もあり、あくまでも平均の話です)。従って「10年に1回、内視鏡を受ければ大腸癌は予防できる」という理想論も可能になります。これから「1回の大腸内視鏡を受けてから、10年以内に大腸癌が発生したなら、ポリープの見落としがあったことを意味するから10年前に医師に過失があった」という主張も理論的には可能です。

しかしながら現実には、10年どころか・・・大腸内視鏡を受けた1年後に大腸癌が見つかるという例も珍しくありません。国内外のいくつかの研究が、そのような「大腸内視鏡検査1年後の進行癌(Interval Cancer)」の頻度を報告しています。多い報告は「500人に一人」、少ない報告では「4万人に一人」という報告があります(実に100倍近く違います)。

微小なポリープの見落としは、どこまで許容されるべきで、医師の過失はどのような場合に認定されるのでしょうか?この問題への現時点での専門医の代表的な見解を以下に説明します。


  1:癌を見落とすことは極めて稀。多くの場合、1年前に腺腫を見落としていると推定されます


これは、7ミリの浸潤癌です。非常に小さい病変ですが、このような癌化した病変が専門医の通常の検査で見逃されることは極めて稀です。
(もちろん絶対に無いとは断言できませんが、次に述べる「腺腫の見落とし」に比べると、可能性は、はるかに小さいでしょう)

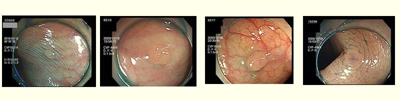
上の4枚は2〜4ミリの腺腫です。4枚とも「まだ良性」ですが、高度異型腺腫(グループ4)と言いまして「1年後には癌になっていたであろう」と予測される病変です。

このような「微小・高危険・腺腫」は精度の高い内視鏡では日常的に発見されます。しかし、では、全てが発見されているか?と言うと・・・・・・残念ながら、このような病変は経験豊富な専門医でも見落とされる危険があります。

つまり厳密には「癌を見落とす」のは稀で、多くの場合は「微小な腺腫を見落とし、癌化の予防に失敗した」ということなのです。



患者さんは、このような微小腺腫も確実に見つけてもらいたいと期待して検査に臨む訳で、それが「理想的な検査」なのですが・・・現実には100%は無理です。

日本でも欧米でも権威とされる書籍、学会の公式なガイドラインなどが「微小な腺腫を全て検出するのは不可能であり、有る程度の見落としは許容される」と明言しています。




 2:そして内視鏡検査の品質の指標が出されました。

「ある程度の見落としは許容される」と言っても、全ての見落としを許容する訳にはいきません。

「ここまでは許容される」という「精度」の指標を作らなければいけないだろう、という話になった訳です。

現在、欧米のガイドラインは腺腫発見率観察時間の二つを最も重要な指標としています。
     (1)腺腫発見率が35%以上であり
     (2)観察時間が6分以上であること

の二つを医師が遵守すべき精度の基準としています。日本には、まだ、このようなガイドラインは無いのですが将来は近い内容に、なるはずです。

この指標は「これなら完璧」という意味では無く、「必要とされる最低限のライン」を定めたものです。つまり、検査でポリープの見落としがあった場合に、医師に過失があったと認定される「医師が守るべき最低限の義務」の指標となるものです。

私見ですがは・・・・今後は、この問題には「全検査内容の動画保存」が強力な対策になると思われます。