最新のUc検出率 サイト TopPage

今週のUb、Uc型腺腫
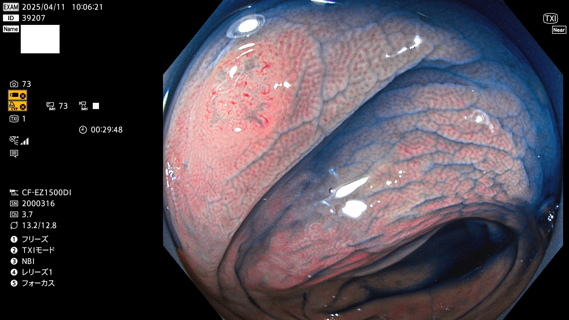
完全に平坦な物をUb、陥凹している物をUcと呼びます。Ubは認識が困難で、Ucはびらん(炎症)と紛らわしいために見落とされやすく、「内視鏡後・大腸癌」の原因になります。




専門的)何故、陥凹していると危険? 癌遺伝子の変異が蓄積すると細胞分裂が盛んになり隆起するのでは?と通常は思われるでしょう。しかし実際は逆です。これは2022年の記事にある「細胞はストレスに直面したら細胞分裂を止める(細胞老化に入り休眠する)という生命の基本的現象」によるものです(Oncogene Stress)。細胞老化を起こすのが癌抑制遺伝子で、この安全装置(ブレーキ)が壊れると癌になります(休眠からの覚醒)。ですから陥凹は「まだ癌では無いが癌化の直前」を意味します。特に「小サイズなのに陥凹している」病変は短期間に腫瘍進化(IntraTumor Heterogenity⇒2021年記事)が起きたことを意味します(=ゲノム不安定性
専門的)Uc=De Novo癌? 内視鏡の解像度が低かった時代、このような説もありました。しかし今日の高精度内視鏡では良性の微小なUc型腺腫が日常的に見つかります。私見ですが「Ucこそが多段階発癌(Adenoma-Carcinoma Sequence)のMain Route」と考えます。

毎週の検査(木・金・土・日)に発見されたUb、Uc型・腺腫を、その週の日曜の夜にUPし1週間、提示します。
以前は「腺腫発見率」を定期公開していましたが、UbUcの発見率は、より重要な指標になります。定期公開の目的は検査の精度管理ですが、写真の公開を希望されない方はメールで御連絡下さい。直ちに削除いたします。

 抽出の対象期間 2025年4月10日〜4月13日の4日間(48件の検査)11個 (4/48=23%)
 
  びらんと鑑別の困難なUc型腺腫
 
 
 
 
 
 
 
 
 
 
過去の資料 Ucの発見は非常に困難で「幻の癌」「頻度は1/800」とも言われていました。Uc発見率の定期公開は世界的にも前例のない当院の金字塔です
2025年4月3日〜4月6日の4日間(48件の検査)で4個 (4/48=8%)
2025年3月27日〜3月30日の4日間(48件の検査)で8個 (8/48=16%)
2025年3月20日〜3月23日の4日間(48件の検査)で10個 (10/48=21%)
2025年3月13日〜3月16日の4日間(48件の検査)で12個 (12/48=25%)
2025年3月6日〜3月9日の4日間(48件の検査)で5個 (5/48=10%)
2025年2月27日〜3月2日の4日間(48件の検査)で9個 (9/48=19%)
2025年2月20日〜2月23日の4日間(48件の検査)で8個 (8/48=16%)
2025年2月13日〜2月16日の4日間(48件の検査)で8個 (8/48=16%)
2025年2月6日〜2月9日の4日間(48件の検査)で7個 (7/48=14%)
2025年1月30日〜2月2日の4日間(48件の検査)で12個 (12/48=25%)
2025年1月23日〜1月26日の4日間(45件の検査)で3個 (3/45=6%)
2025年1月16日〜1月19日の4日間(45件の検査)で8個 (8/45=17%)
2025年1月9日〜1月12日の4日間(45件の検査)で5件 (5/45=11%)
2025年1月4日〜1月5日の2日間(21件の検査)で3件 (3/21=14%)
2024年12月26日〜12月29日の4日間(48件の検査)で3件 (3/48=6%)
2024年12月19日〜12月22日の4日間(48件の検査)で10件 (10/48=20%)
2024年12月12日〜12月16日の5日間(60件の検査)で13件 (13/60=21%)
2024年12月5日〜12月8日の4日間(48件の検査)で4件 (4/48=8%)
2024年11月28日〜12月2日の5日間(60件の検査)で9件 (9/60=15%)
2024年11月21日〜11月24日の4日間(48件の検査)で5件 (5/48=10%)
2024年11月14日〜11月17日の4日間(48件の検査)で7件 (7/48=14%)
2024年11月7日〜11月10日の4日間(48件の検査)で10件 (10/48=21%)
2024年10月31日〜11月3日の4日間(48件の検査)で7件 (7/48=15%)

2024年10月24日〜10月27日の4日間(48件の検査)で7件 (7/48=15%)
2024年10月17日〜10月20日の4日間(48件の検査)で8件 (8/48=16%)
2024年10月10日〜10月13日の4日間(48件の検査)で7件 (7/48=14%)
2024年10月3日〜10月6日の4日間(48件の検査)で9件 (9/48=18%)

2024年9月26日〜9月29日の4日間(48件の検査)で12件 (12/48=25%)
2024年9月19日〜9月22日の4日間(40件の検査)で4件 (4/40=10%)
2024年9月12日〜9月15日の4日間(45件の検査)で9件 (9/45=20%)
2024年9月5日〜9月8日の4日間(40件の検査)で4件 (4/40=10%)
2024年8月29日〜9月1の4日間(40件の検査)で5件 (5/40=13%)
2024年8月22日〜8月25の4日間(33件の検査)で7件 (7/33=21%)
2024年8月15日〜8月18の4日間(33件の検査)で7件 (7/33=21%)
2024年8月8日〜8月11の4日間(30件の検査)で11件 (11/30=35%)
2024年8月1日〜8月4の4日間(25件の検査)で2件 (2/25=8%)
2024年7月18日〜7月21の4日間(25件の検査)で6件 (6/25=24%)
2024年7月4日〜7月14の8日間(50件の検査)で4件 (4/50=8%)
2024年6月27日〜7月1の5日間(40件の検査)で6件 (6/40=15%)
2024年6月20日〜6月24の5日間(40件の検査)で6件 (6/40=15%)
2024年6月13日〜6月16の4日間(32件の検査)で4件 (4/32=12%)
2024年6月6日〜6月10の5日間(50件の検査)で7件 (7/50=14%)
2024年5月30日〜6月2の4日間(40件の検査)で7件 (7/40=18%)
2024年5月23日〜5月27の5日間(30件の検査)で9件 (9/50=18%)
2024年5月16日〜5月19の4日間(40件の検査)で10件 (10/40=25%)
2024年5月9日〜5月13の5日間(50件の検査)で6件 (6/50=12%)
2024年4月25日〜4月29の5日間(50件の検査)で7件 (7/50=14%)
2024年4月18日〜4月21の4日間(40件の検査)で3件 (3/40=8%)
2024年4月11日〜4月14の4日間(40件の検査)で3件 (3/40=8%)
2024年4月4日(木)〜4月8(月)の5日間(45件の検査)で4件 (4/45=8%)
2024年3月28日(木)〜3月31(日)の4日間(40件の検査)で3件 (3/40=8%)
2024年3月21日(木)〜3月24(日)の4日間(44件の検査)で7件 (8/44=18%)
2024年3月14日(木)〜3月18(月)の5日間(55件の検査)で12件 (12/55=22%)
2024年3月7日(木)〜3月10(日)の4日間(40件の検査)で6件 (6/40=13%)
2024年2月29日(木)〜3月4(日)の5日間(50件の検査)で4件 (4/50=8%)
2024年2月22日(木)〜2月25(日)の5日間(50件の検査)で5件 (5/50=10%)
2024年2月15日(木)〜2月18(日)の4日間(40件の検査)で10件 (10/40=25%)
2024年2月8日(木)〜2月12(日)の5日間(50件の検査)で11件 (11/50=22%)
2024年2月1日(木)〜2月4(日)の4日間(40件の検査)で12件 (12/40=30%)
2024年1月25日(木)〜1月28(日)の4日間(40件の検査)で9件 (9/40=22%)
2024年1月18日(木)〜1月22(月)の5日間(50件の検査)で7件 (7/50=14%)
2024年1月11日(木))〜1月14(日)の4日間(40件の検査)で9件 (9/40=20%)
2024年1月6日(土)〜1月8(月)の4日間(34件の検査)で7件 (7/34=20%)
2023年12月28日(木)〜12月31(日)の4日間(48件の検査)で7件 (7/48=14%)
2023年12月21日(木)〜12月24(日)の4日間(48件の検査)で6件 (6/48=13%)
2023年12月14日(木)〜12月18(日)の5日間(60件の検査)で7件 (7/60=12%)
2023年12月7日(木)〜12月10(日)の4日間(48件の検査)で12件 (12/48=25%)
2023年11月30日(木)〜12月4(月)の5日間(60件の検査)で6件 (6/60=10%)
2023年11月23日(木)〜11月26(日)の4日間(48件の検査)で8件 (8/48=16%)
2023年11月16日(木)〜11月20(日)の5日間(60件の検査)で11件(11/60=18%)
2023年11月9日(木)〜11月12(日)の4日間(48件の検査)で5件(5/48=10%)
2023年11月2日(木)〜11月6(月)の5日間(60件の検査)で11件(11/60=18%)
2023年10月26日(木)〜10月30(月)の5日間(60件の検査)で7件(7/60=12%)
2023年10月19日(木)〜10月22(日)の4日間(48件の検査)で5件(5/48=10%)
2023年10月12日(木)〜10月15(日)の5日間(48件の検査)で4件(4/48=8%)
2023年10月4日(木)〜10月9(月)の5日間(60件の検査)で8件(8/60=13%)
2023年9月28日(木)〜10月1(日)の4日間(48件の検査)で8件(8/48=17%)
2023年9月21日(木)〜9月25(月)の5日間(60件の検査)で8件(8/60=13%)
2023年9月14日(木)〜9月17(日)の4日間(48件の検査)で7件(7/48=15%)
2023年9月7日(木)〜9月11(月)の5日間(60件の検査)で10件(10/60=17%)
2023年8月31日(木)〜9月3(日)の4日間(48件の検査)で12件(12/48=25%)
2023年8月24日(木)〜8月27(日)の4日間(48件の検査)で9件(9/48=19%)
2023年8月17日(木)〜8月20(日)の4日間(48件の検査)で11件(11/48=23%)
2023年8月10日(木)〜8月13(日)の4日間(48件の検査)で11件(11/48=23%)
2023年8月3日(木)〜8月6(日)の4日間(48件の検査)で5件(5/48=10%)
2023年7月27日(木)〜7月30(日)の4日間(48件の検査)で11件(11/48=23%)
2023年7月20日(木)〜7月23(日)の4日間(48件の検査)で12件(12/48=25%)
2023年7月13日(木)〜7月16(日)の4日間(48件の検査)で8件(8/48=17%)
2023年7月6日(木)〜7月9(日)の4日間(48件の検査)で6件(6/48=13%)
2023年6月29日(木)〜7月2(日)の4日間(48件の検査)で8件(8/48=17%)
2023年6月22日(木)〜25(日)の4日間(48件の検査)で5件(5/48=10%)
2023年6月15日(木)〜18(日)の4日間(48件の検査)で4件(4/48=8%)
2023年6月8日(木)〜11(日)の4日間(48件の検査)で7件(7/48=15%)
2023年6月1日(木)〜4(日)の4日間(48件の検査)で3件(3/48=6%)
2023年5月25日(木)〜28(日)の4日間(48件の検査)で6件(6/48=13%)




大腸癌検診最新情報